神经型布氏杆菌病一例分享
石南419 推荐患者丁XX,女,40岁,因“头痛、视物模糊半月”入院。
现病史:患者于入院半月前出现头痛,为左侧额部及眼球胀痛,伴有视物模糊,以左眼为主,自觉近处视物相对清楚,约50M外视物模糊,初始时症状呈发作性,每次症状持续约30分钟,每日发作3-4次,与入院1周前头痛症状较前加重,自觉视物模糊症状稍缓解,于入院4天前头痛症状呈持续性,觉晨起及上午时相对较轻,下午及夜间头痛明显,头痛明显时伴有恶心欲吐,头痛时自觉有头晕症状,自觉头晕时如坐舟车,发病以来自觉时有周身发热,未监测体温变化,无意识丧失,无抽搐,无大小便失禁。
既往史:近8年出现体重减轻,约减轻25Kg,约15Kg体重于近2年内减轻。
查体:T:39.2℃ P76次/分 R:20次/分 BP:117/67mmHg 神清,言语流利,两侧额纹对称,左眼球外展及右眼球外展差,双眼球内收、上视、下视未见异常,两侧瞳孔等大等圆,直径约3.0mm,均对光反射灵敏,两侧鼻唇沟对称,伸舌居中,颈强直,颏胸间距约3指,四肢肌力肌张力正常,两侧指鼻试验稳准,两侧霍夫曼征(+),两侧布鲁宾斯基征(+),两侧巴宾斯基征(-),深浅感觉查体未见异常。
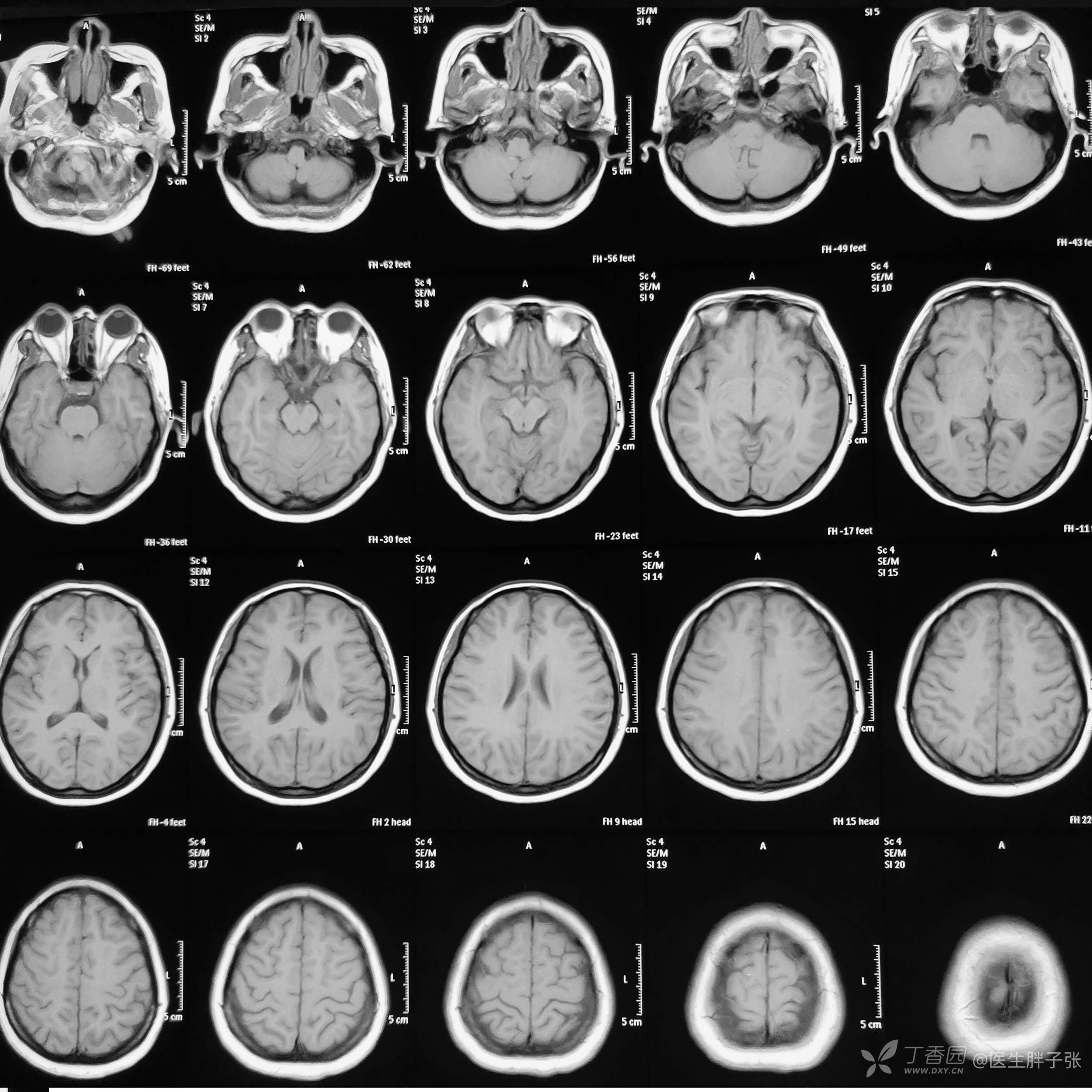
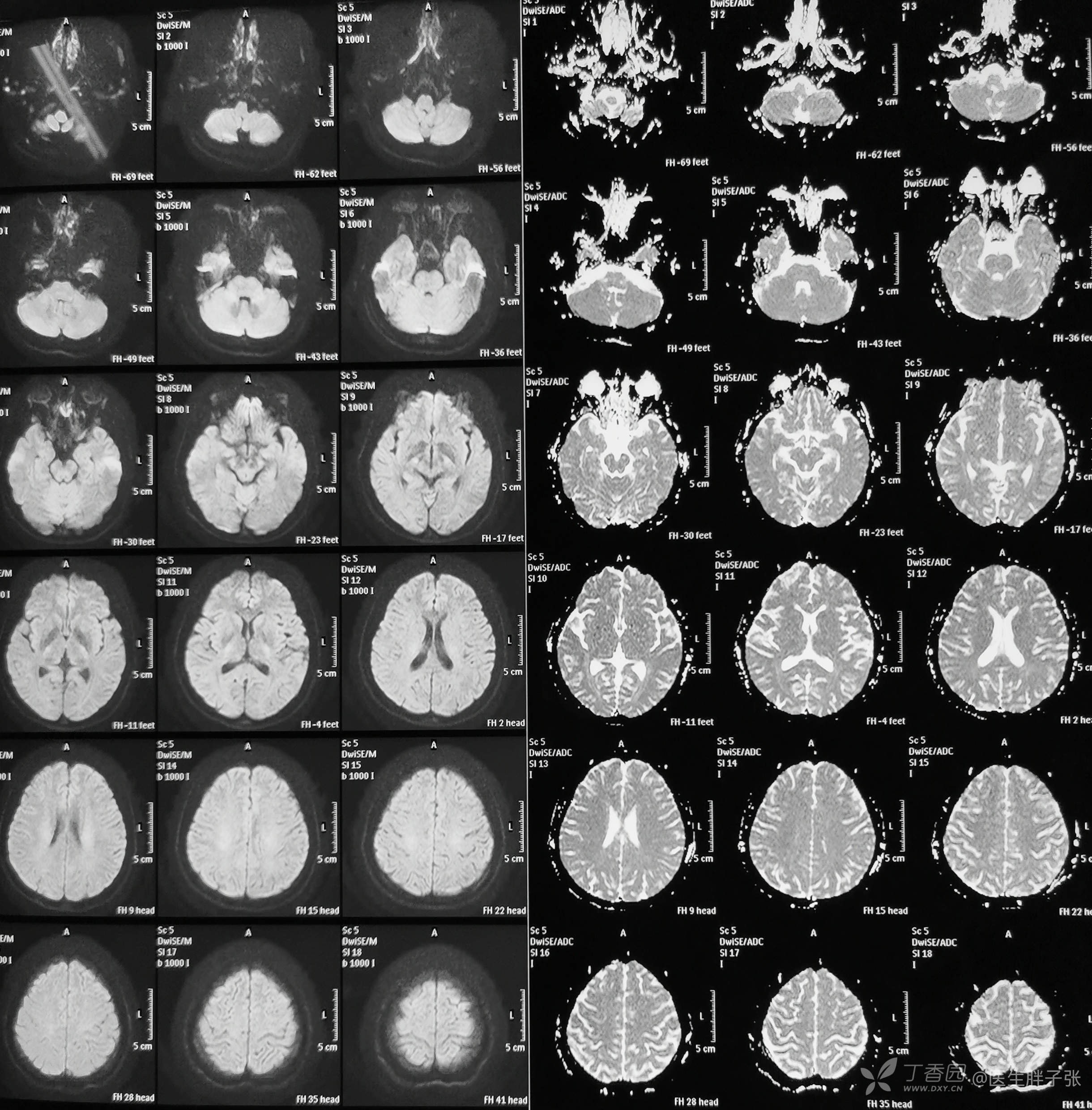
辅助检查:心电图示冠状静脉窦心率,V4、V5 T波改变。颅脑核磁:MRI平扫及MRA未见异常。右侧横窦、上矢状窦局部官腔充盈缺损,考虑静脉窦血栓可能性大,直窦、下矢状窦未见显示,先天发育异常可能性大。








初步诊断:头痛、视物模糊原因待查:颅内静脉窦血栓形成?颅内感染性病变?自身免疫性病变?
初步治疗:甘露醇注射液脱水降颅压,头孢曲松钠静点抗炎,低分子量肝素钙抗凝,临时应用地塞米松注射液10mg,补液治疗。
入院第2日、第3日检查回报:
血细胞分析:中性粒细胞比率:79.2%
CA50:27.38IU/ml CA199:38.82IU/ML
红细胞沉降率:23mm/h
D-2聚体:0.58ug/ml
尿液分析、肝功能、肾功能、血脂、血糖、电解质、凝血四项、甲功五项、CRP、降钙素原、梅毒、艾滋大致正常。
胸部正侧位DR片:未见异常。
肝胆胰脾超声:肝内高信号(考虑血管瘤),胆囊内胆汁淤积。
泌尿系统超声:双肾、输尿管、膀胱未见异常。
妇科脏器超声:宫内节育器位置下移。
心脏超声:三尖瓣少量返流,左室舒张功能减低。
入院第4日
DSA引导下全脑血管造影术:下矢状窦、直窦未见显示。


入院第5日
腰椎穿刺:脑脊液压力300mmH2O,初始脑脊液为浅红色,流出3ML后颜色转清,呈无色透明。脑脊液白细胞数目:171X106/L 中性粒细胞:42.00 淋巴细胞:58.00 脑脊液葡萄糖测定:1.93mmol/l(同期血糖:5.59mmol/l)脑脊液氯化物测定:111.4mmol/l(同期血氯化物:100.2mmol/l),脑脊液抗酸染色阴性,脑脊液墨汁染色阴性。
入院第6日
患者头痛症状加重,为前额部搏动样胀痛,恶心呕吐1次,呈非喷射状,呕吐物为胃内容物,自觉头晕明显,困倦思睡。查体:呈嗜睡状态,查体部分合作,左眼球外展不能,内收、上视、下视正常,右眼球外展不能,内收、上视、下视正常,两侧瞳孔等大等圆,直径约3.0mm,均对光反射灵敏,颈强直,颏胸间距约3指,四肢肌力肌张力正常,两侧巴宾斯基征(-)。给予甘露醇注射液、呋塞米注射液脱水降颅压,左氧氟沙星注射液静点抗炎,地塞米松磷酸钠注射液20mg静脉推注,止痛对症治疗。
入院第7日
布氏杆菌抗体检测:1:200 ++ 给予多西环素、利福霉素、左氧氟沙星、头孢曲松联合抗炎治疗。
入院第9日
脑脊液基因二代测序:检出布鲁菌属细菌,相对丰度1.8%,序列数24。未见真菌、DNA病毒、寄生虫、结核分枝杆菌、非结核分枝杆菌、支原体、衣原体。

















































