dxy logo
首页丁香园病例库全部版块
搜索
登录

病例病人胸痛,这图像竟然不是主动脉溃疡?

心血管版版主 · 发布于 2021-04-19 · 来自 iOS · IP 广东广东
2319 浏览
icon推荐
这个帖子发布于 4 年零 216 天前,其中的信息可能已发生改变或有所发展。

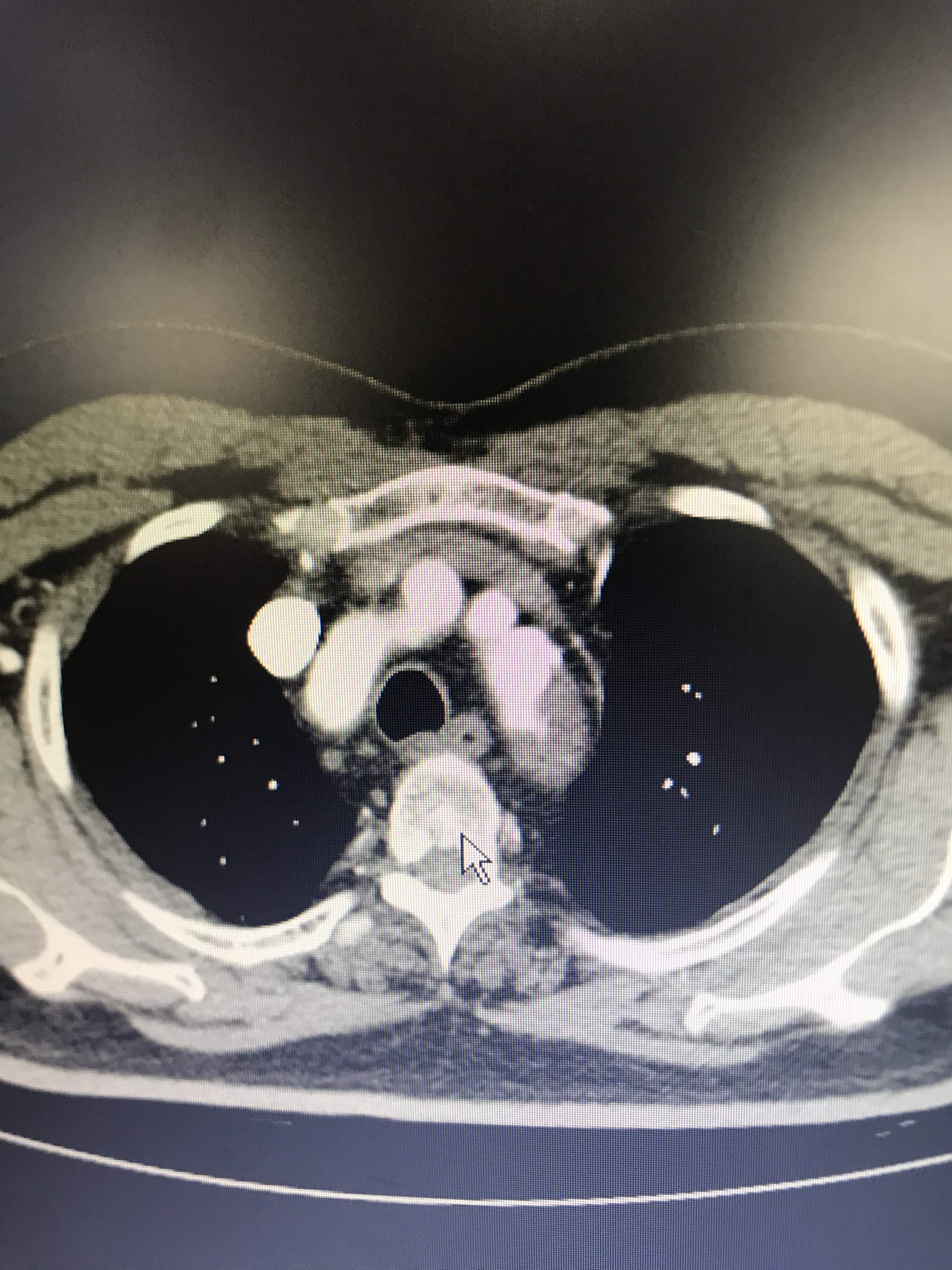
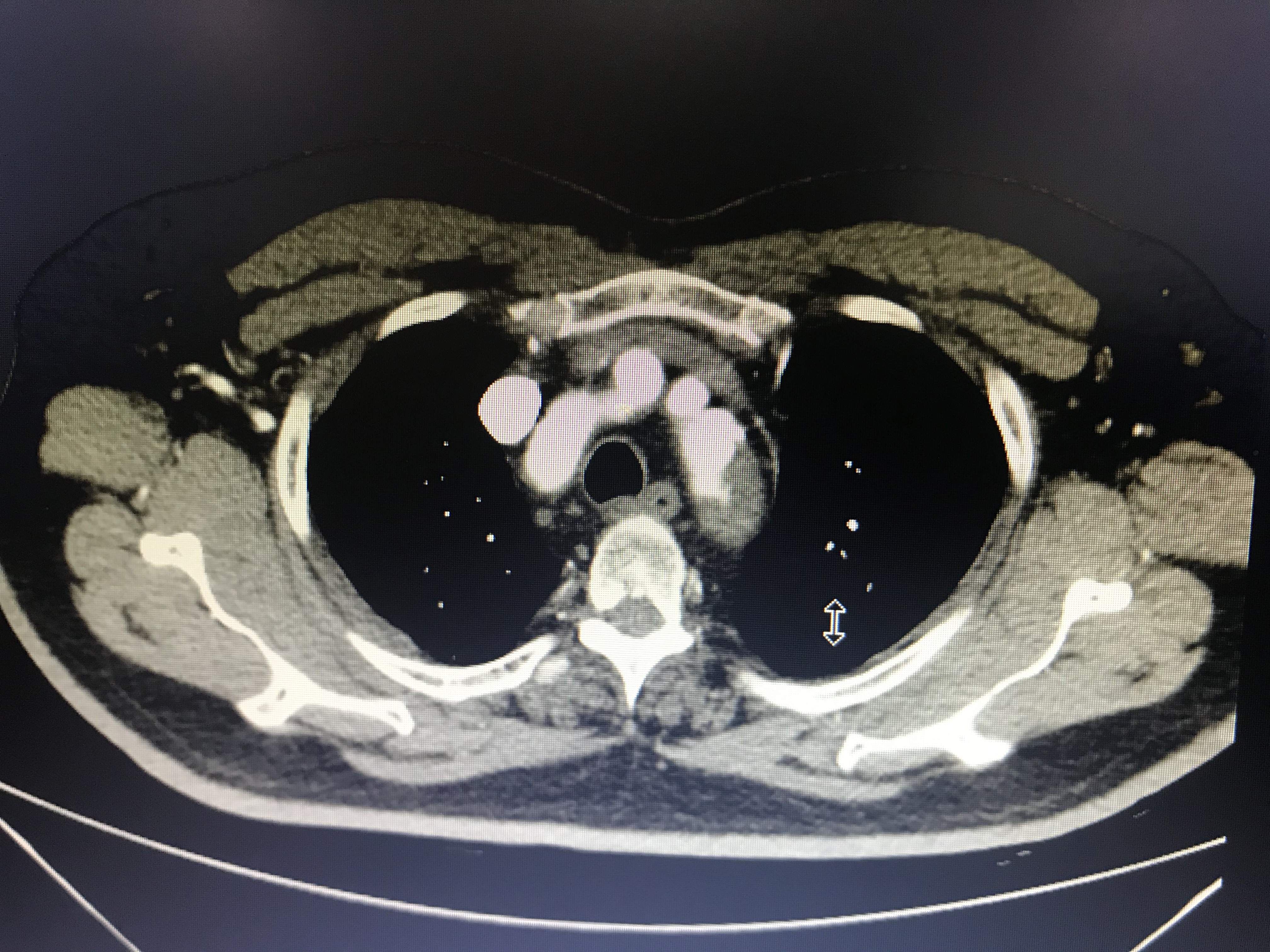
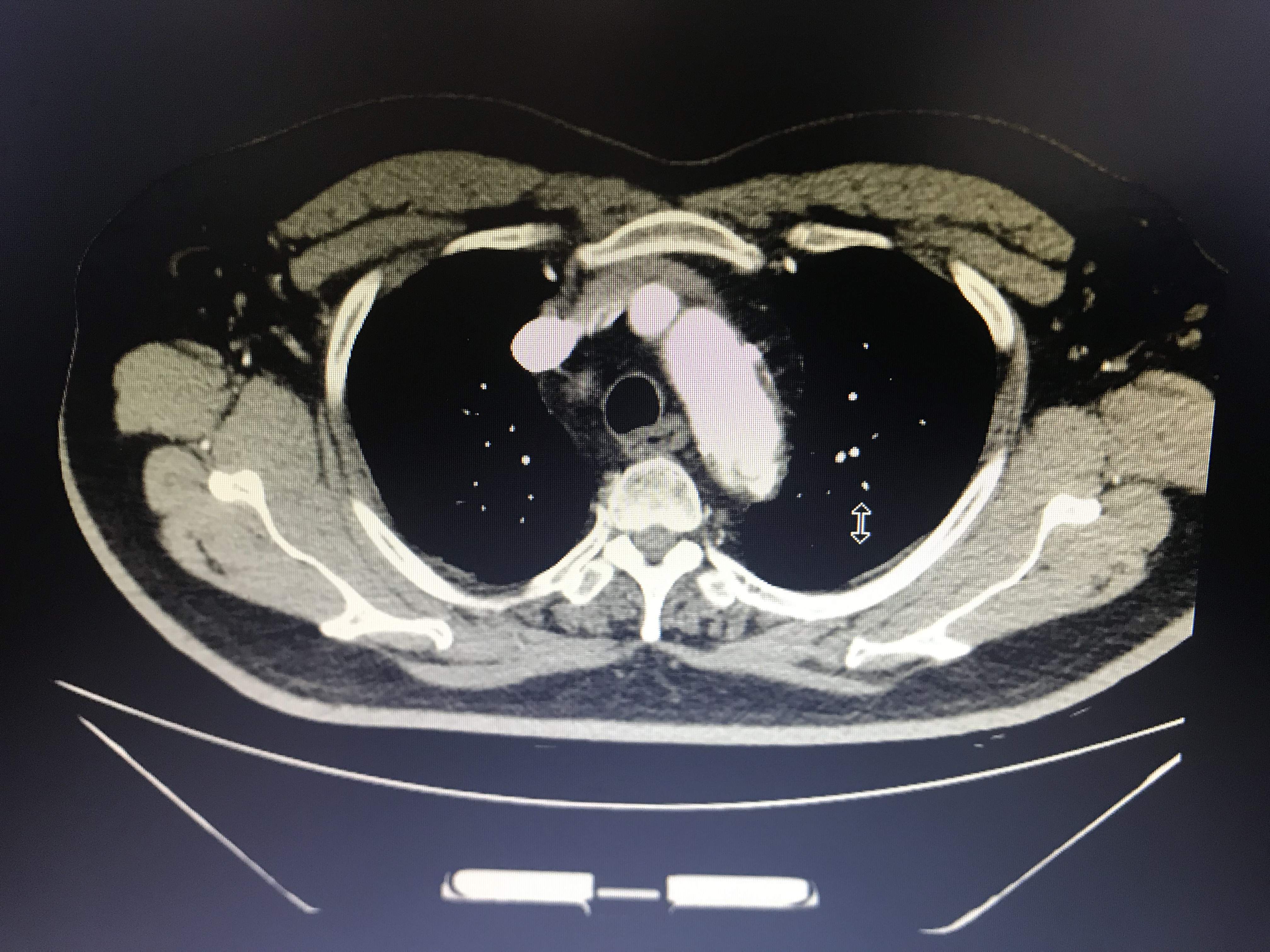
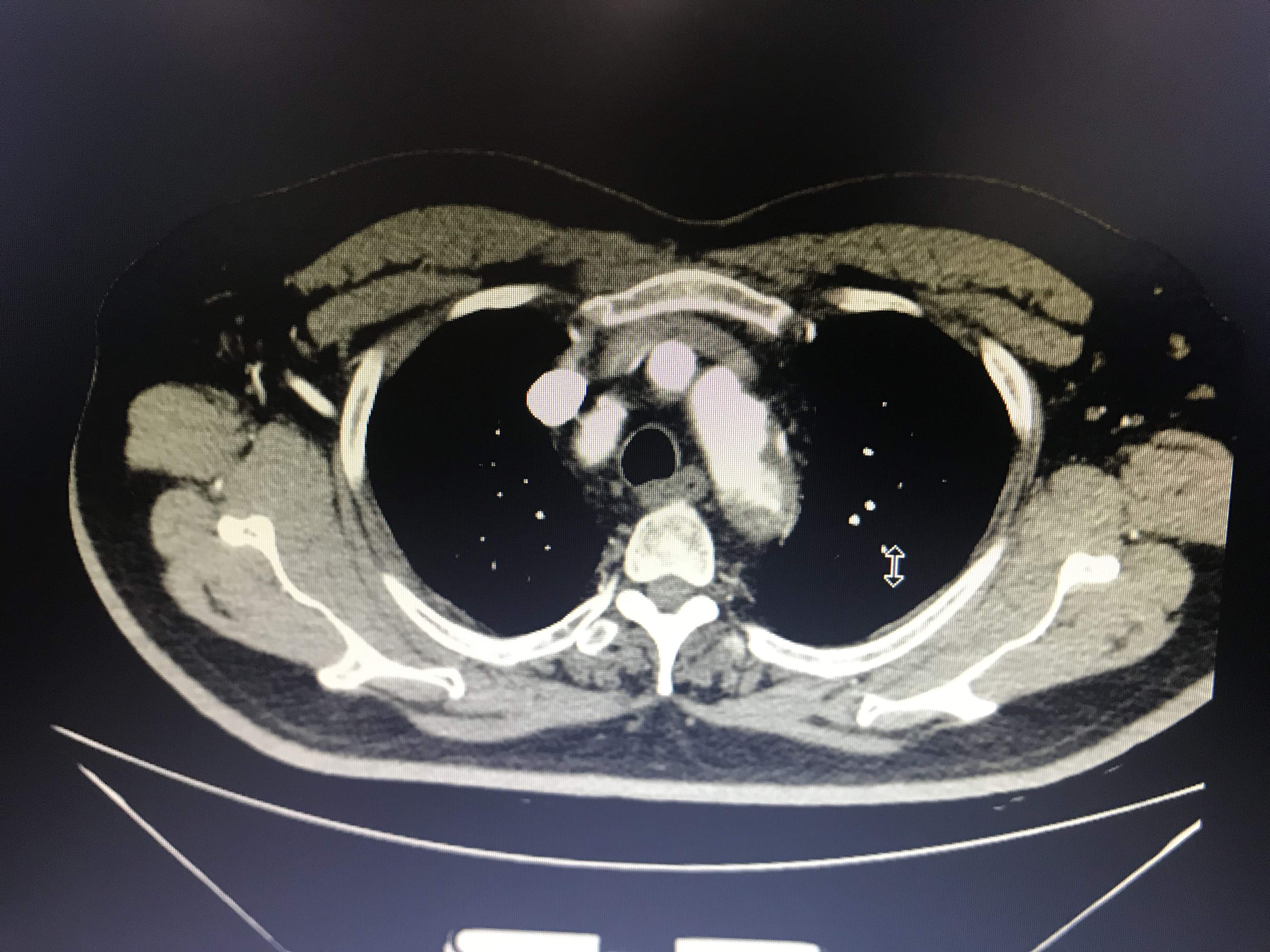
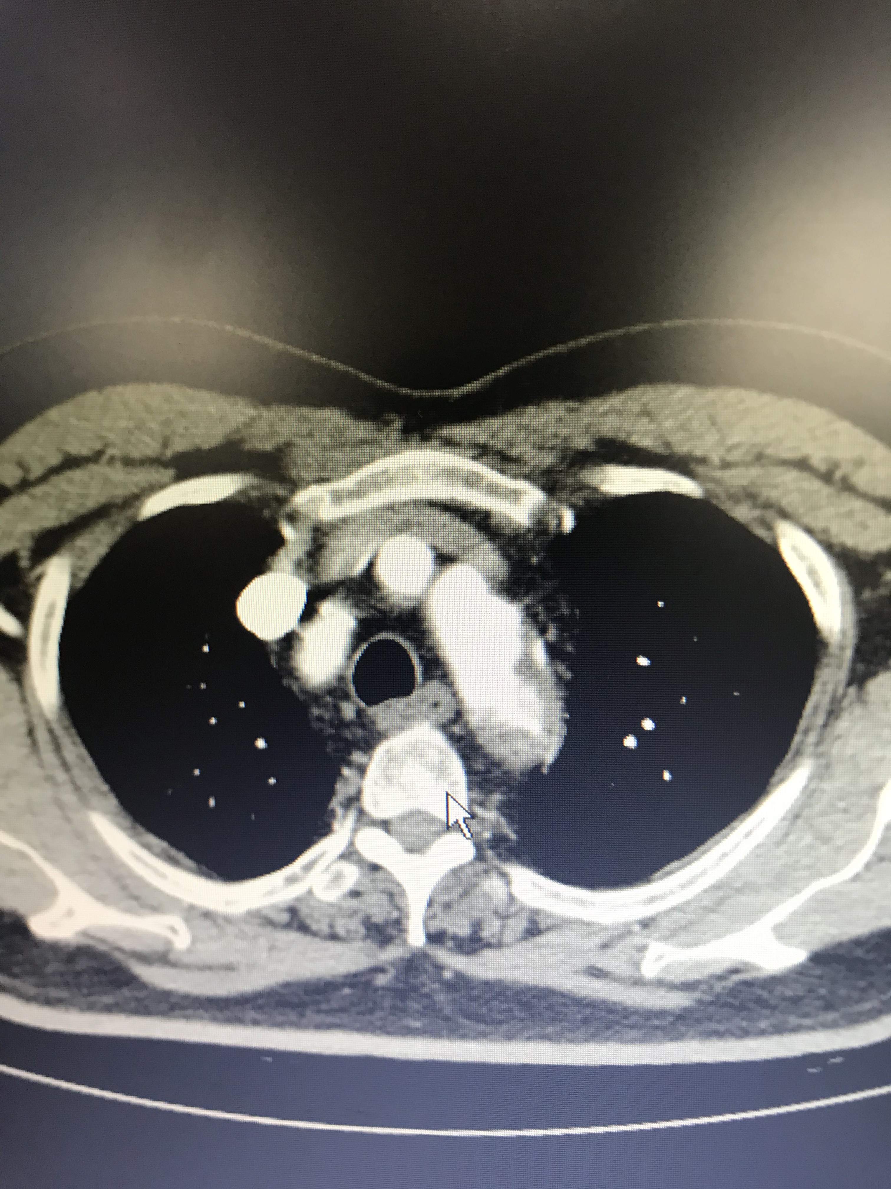
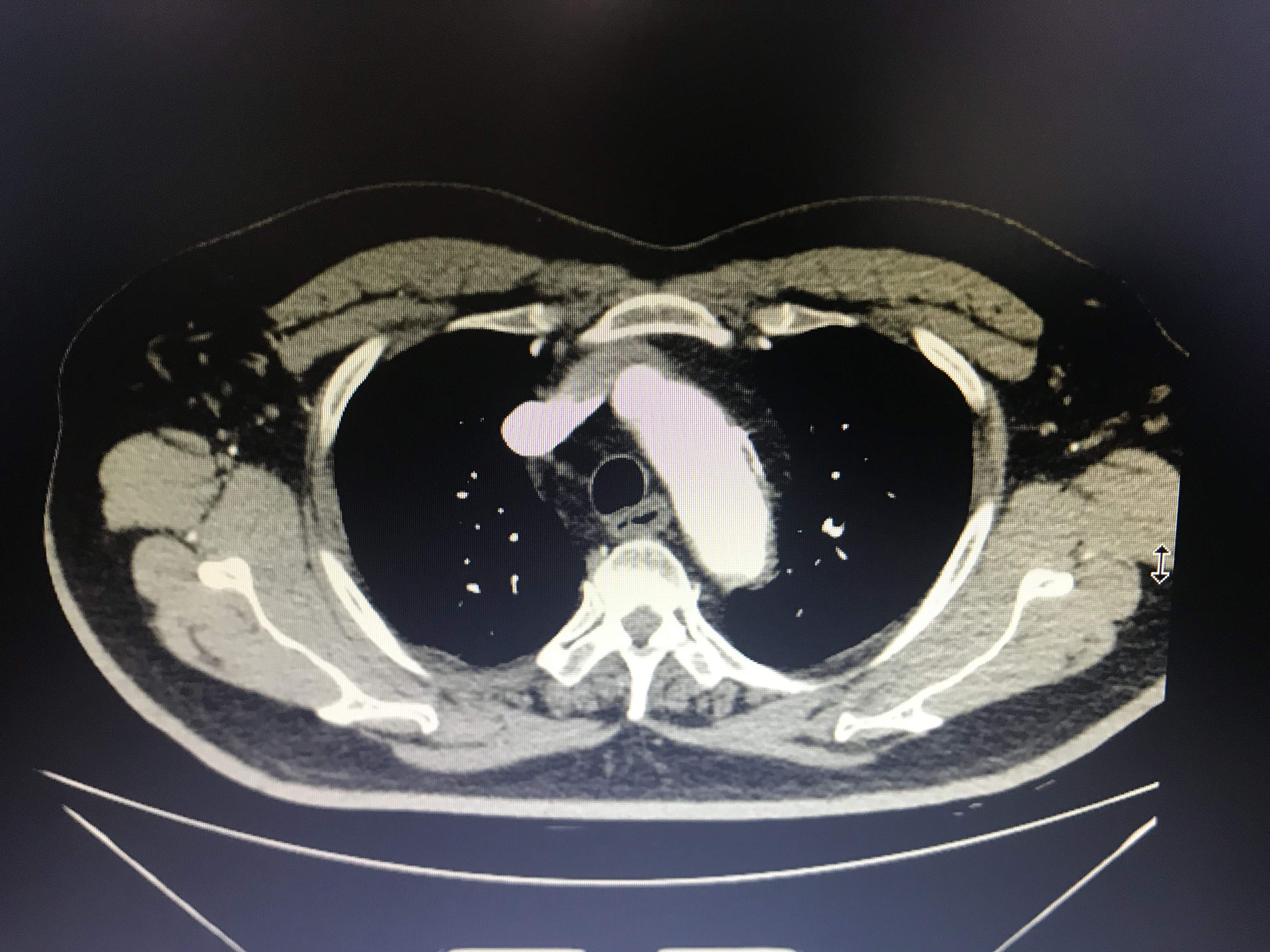
病人胸痛,这图像竟然不是主动脉溃疡?

img


img


img


img


img


img



previewplay video

大家帮我忙看看,到底是不是主动脉溃疡?

该帖还没有疾病标签去添加
6 6 3

全部讨论(0)

默认最新
avatar
6
分享帖子
share-weibo分享到微博
share-weibo分享到微信
认证
返回顶部