脂肪组织肿瘤:初学者笔记
推荐我老师说,软组织肿瘤是病理的难点,工作中一旦遇到,一般难度的必须翻书,再难一点,那就是惊动科室的大事情。然后,她看了看我,无奈地说:“要不,你先看看别的简单的?”
我花了一上午积攒的勇气一下子就泄了大半……
后来,我想了想,对于初学者而言,不过是想要找到一个突破口,一个可以让我们入门的突破口,于是就有了这篇文章。
一、脂肪瘤:
脂肪瘤的定义是:成熟的白色脂肪细胞构成的良性肿瘤,是成年人常见的间叶性软组织肿瘤。
根据定义,已经很明了了,诊断的大前提是:成熟的脂肪细胞。换言之,如果脂肪细胞不成熟的,那么就不是“瘤”,就要考虑到“肉瘤”。


脂肪瘤有很多特殊类型,具体大家可以去翻相关教材,在此我只介绍以下四个:
1、梭形细胞脂肪瘤
选择它是因为CD34。
刚刚那个大前提不变的基础上+良性的梭形细胞(是CD34阳性的原因)+粗大的胶原纤维(绳索样胶原纤维)=本病,镜下如图:


2、多形性脂肪瘤
选择它是因为花环状的多核瘤巨细胞。
诊断公式=梭形细胞脂肪瘤+花环状的多核瘤巨细胞,镜下如图:


3、良性成脂肪细胞脂肪瘤(良性脂肪母细胞瘤)
选它是因为它会考!
要点:儿童、头颈部、不同分化程度的脂肪细胞无异型无病理性核分裂象。如图:


4、髓性脂肪瘤
也是因为会考!
考点:好发于肾上腺,考试逻辑:发生于深部脂肪组织的良性肿瘤(一般深层脂肪组织往往是肉瘤)。如图:



二、脂肪肉瘤
脂肪肉瘤的诊断逻辑:
1、大小:一般>5cm
2、部位:位于四肢的,还是位于后腹膜的。
3、根据形态学特征对号入座
4、免疫组化和分子病理
这个诊断逻辑是我老师说的,因为它的难度无极限,所以,下面我只讲一点皮毛(比较理想化的知识点):
(一)、非典型性脂肪瘤(ALT)/高分化脂肪肉瘤和去分化脂肪肉瘤
它们被归到一起是因为ALT和高分化脂肪肉瘤本来就是一个病,理论上没有任何区别,而去分化脂肪肉瘤只因在ALT的基础上找到了异形性的核。
先说ALT/高分化脂肪肉瘤:它的组织形态是大小不等的脂肪细胞,如图:


在工作过程中,发生在四肢比较表浅的肿块,医生们更倾向于诊断为ALT;而发生在后腹膜的肿块,医生们更倾向于诊断为高分化脂肪肉瘤。当然,这有很大的主观性,所以给一个ALT/高分化脂肪肉瘤的诊断是一样的。
再说去分化脂肪肉瘤:它是在ALT/高分化脂肪肉瘤的基础上,增加了异形性的脂肪细胞。而这些异形性的脂肪细胞在纤维组织中更容易被找到,所以,在取材时,质硬的部分应充分取材。如图:

当然“编席状排列”是考试中的关键词。
这一组疾病还有一个共同特点:免疫组化MDM2阳性。听网课时,有位老师,特别推崇MDM2,但事实上,MDM2在良性脂肪瘤和其他恶性脂肪肉瘤中都有表达,所以目前只能当成参考依据。
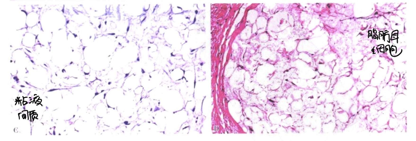
(二)、黏液性脂肪肉瘤和圆形细胞脂肪瘤
它俩被归在一起是因为它们是肿瘤的进展过程。
之所以写它,是因为在脂肪肉瘤里面,它算是比较有组织学特点的,如下:
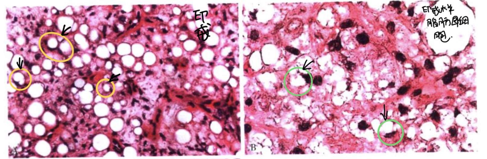
1.黏液的基质(肺水肿样黏液湖)
2.印戒样脂肪母细胞
3.分支状的毛细血管网(鸡爪样)
如图:



圆细胞脂肪肉瘤是一种分化差的脂肪肉瘤,由向太较为一致的增生性小圆细胞组成,与黏液脂肪肉瘤区域之间可有移形。在日常工作中,我们需要根据圆细胞成分在肿瘤内所占的比例将黏液脂肪肉瘤分为3级:
I级:<10%,黏液脂肪肉瘤
II级:10%-25%,混合性黏液性/圆细胞脂肪肉瘤
III级:>25%,圆细胞脂肪肉瘤
写在最后的
这篇短文我只翻了两本书,听了一堂课,所以它漏洞百出,也只不过是站在一个初学者的角度,提供了一个诊断的逻辑,是禁不住深挖的,所以,想深度学习的朋友可以去翻翻文献。
















































