入院24h死亡病例,怀疑感染性休克。后续
患者80岁,老年女性,因腹痛伴恶心、呕吐11小时入院。
既往冠心病病史20年,口服“欣康、心宁片”治疗,平素活动可;10天前不慎摔伤,起初未在意,饮食起居可,2天前因腰部疼痛就诊当地医院,诊断腰椎压缩性骨折,输液治疗两天(具体不详),治疗期间饮食明显不佳。
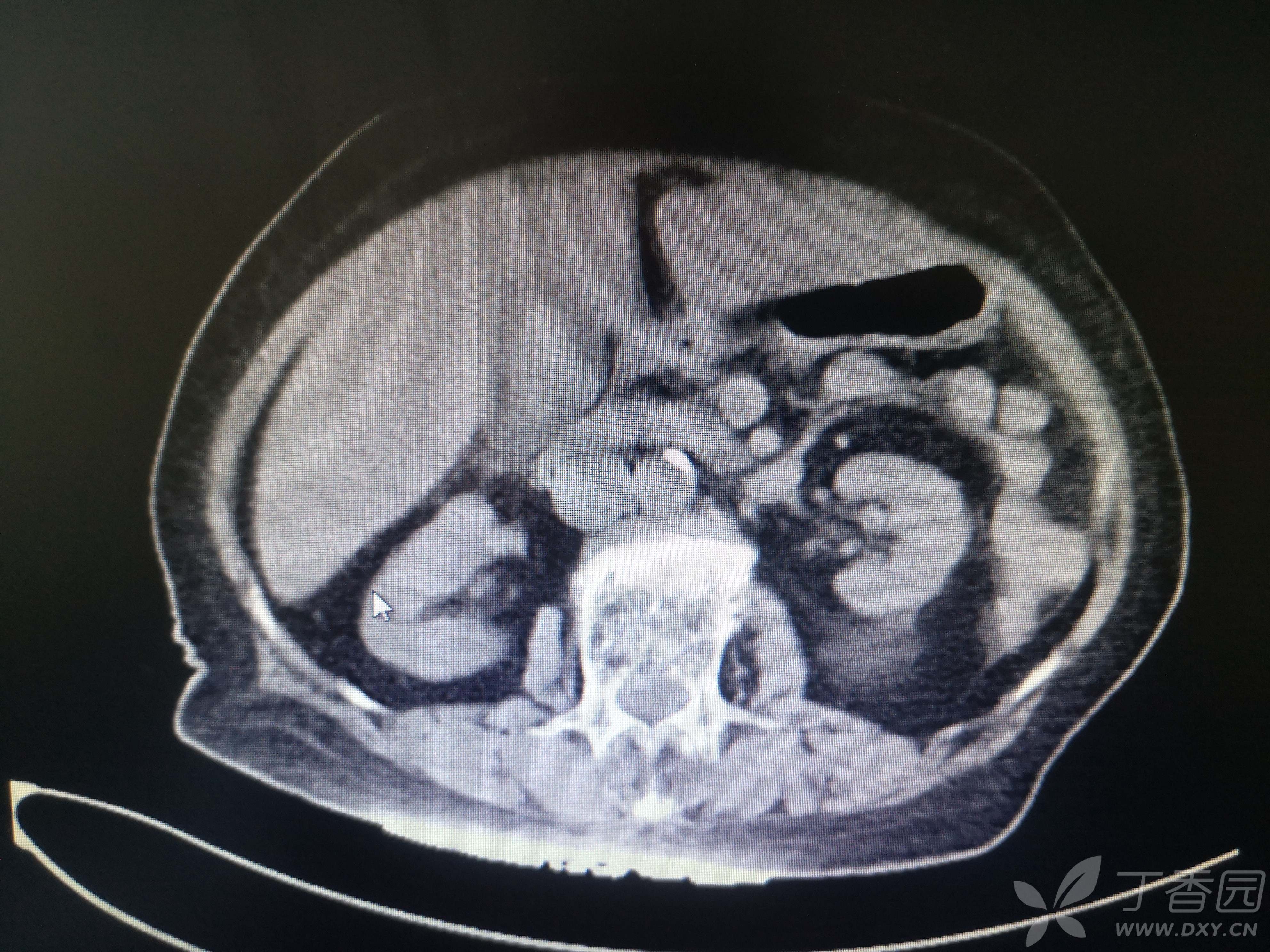
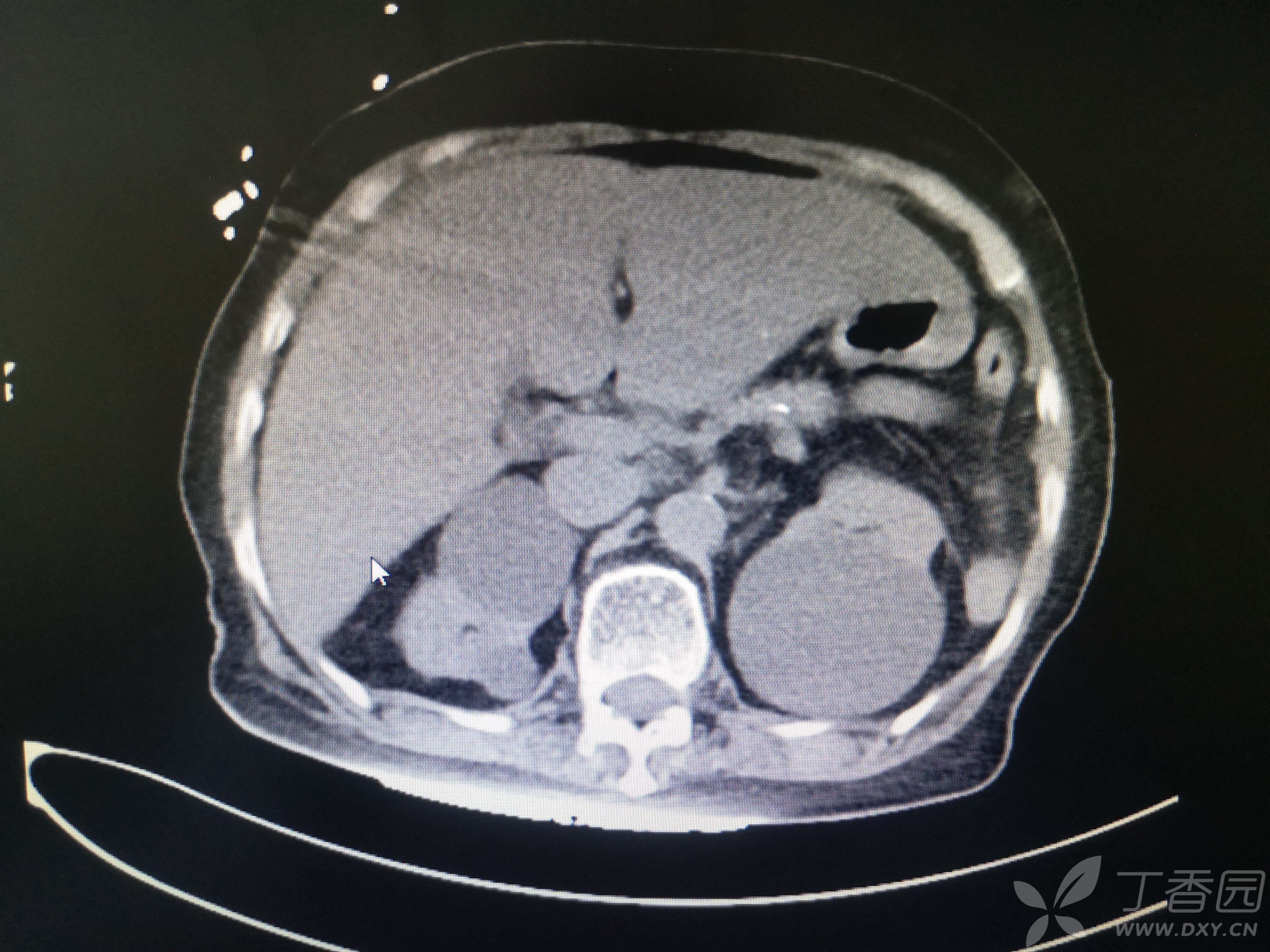
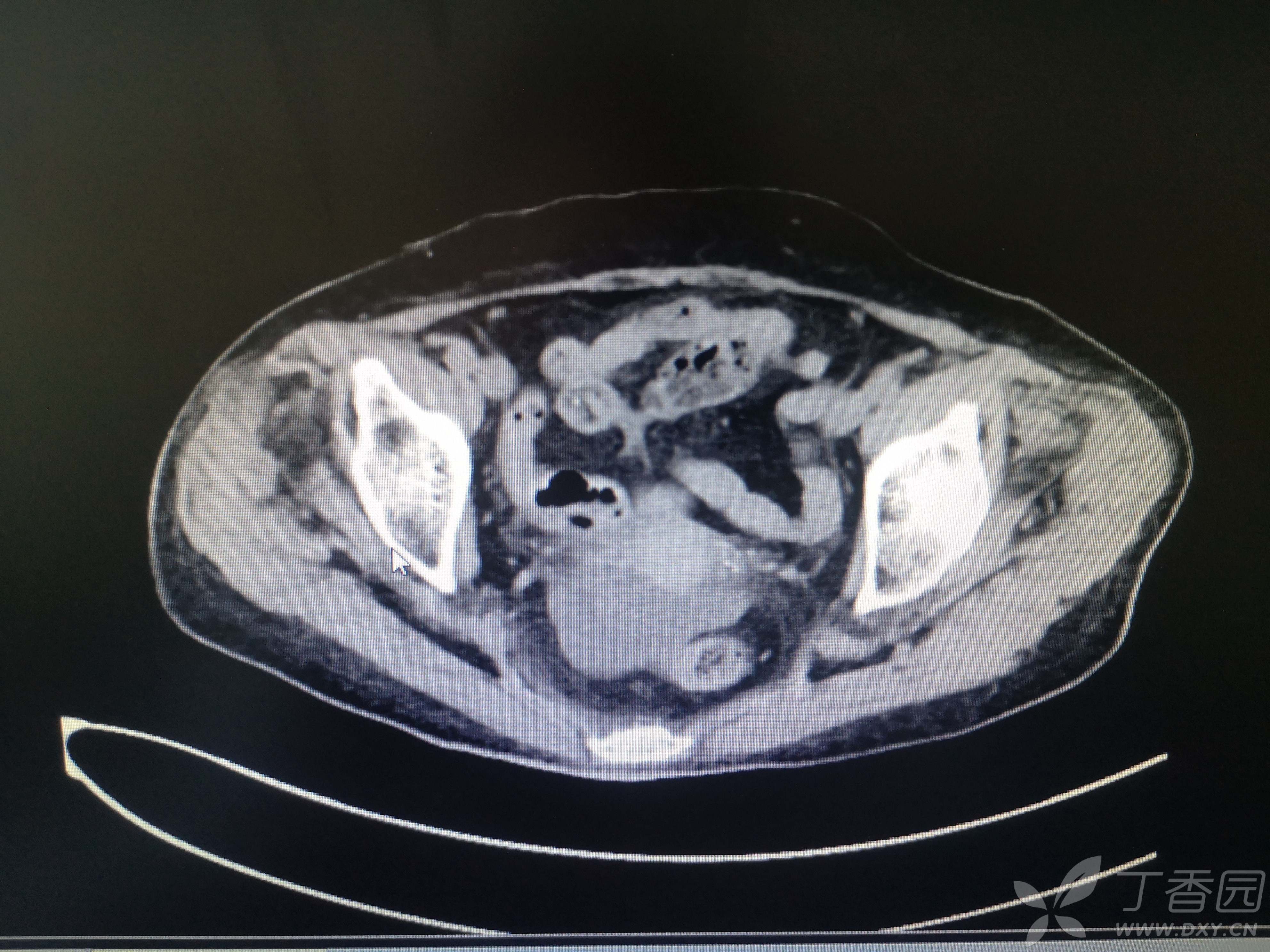
11小时前无明显诱因出现右腹部疼痛,伴恶心、呕吐,呕吐物清稀黏液,急至我院就诊,患者在家属搀扶下步入急诊室,神志清,言语费力,呼吸浅快,口唇、手足皮肤青紫,心电图示快速房颤,血压低至68/48mmHg,脉氧测不出,动脉血气分析PH 7.1,PCO2 13.6mmHg,PO2 135mmHg,Lac15.1mmol/L,HCO3 4.1mmol/L,K 6.11mmol/L。CT、血常规、血凝、生化等结果见图 。

患者CT图像如下






完善CT检查以后收入重症医学科治疗。
这个患者大家怎么考虑呐?
后续的治疗及病人发生的情况,整理好后我会继续发布。
后续:
入院诊断1.感染性休克2.多器官功能衰竭(急性肝功能不全 急性肾功能不全 心功能不全 凝血功能障碍)3.急性胆囊炎4.电解质代谢紊乱5.代谢性酸中毒6.肺部感染7.心房颤动8.多发性肾囊肿9.冠心病10.盆腔积液。
入院后第一时间留取血培养,应用亚胺培南西司他丁0.5g q6h+莫西沙星0.5g qd抗感染治疗,并及时输注血浆400ml+冷沉淀10U改善凝血治疗,小剂量去甲肾上腺素提升血压,并积极补液治疗(入院4小时总液体量2050ml,家属拒绝深静脉置管)
经积极治疗,患者血压维持在120/70mmHg左右,意识清,自述周身不适、乏力、憋喘,双侧瞳孔等大,直径3mm,对光反应灵敏,双肺呼吸音粗未闻及干湿性啰音,心音强弱不等,持续房颤心律,心室率维持在170次/分,右腹部压痛,移动性浊音阴性。入院2小时复查动脉血气分析如下图

患者于入院5小时时,突发意识不清,脉氧难以维持,心率逐渐降至50次/分,颈动脉搏动未触及,心音未闻及,双侧瞳孔散大,立即胸外按压,并应用肾上腺素1mg静推,紧急气管插管接呼吸机辅助通气,持续抢救13分钟,共应用肾上腺素3mg,抢救成功,恢复自主心律。并急查动脉血气分析

后续情况明后天继续更新
















































