典型基本病变分析10:基本病变有变化吗?
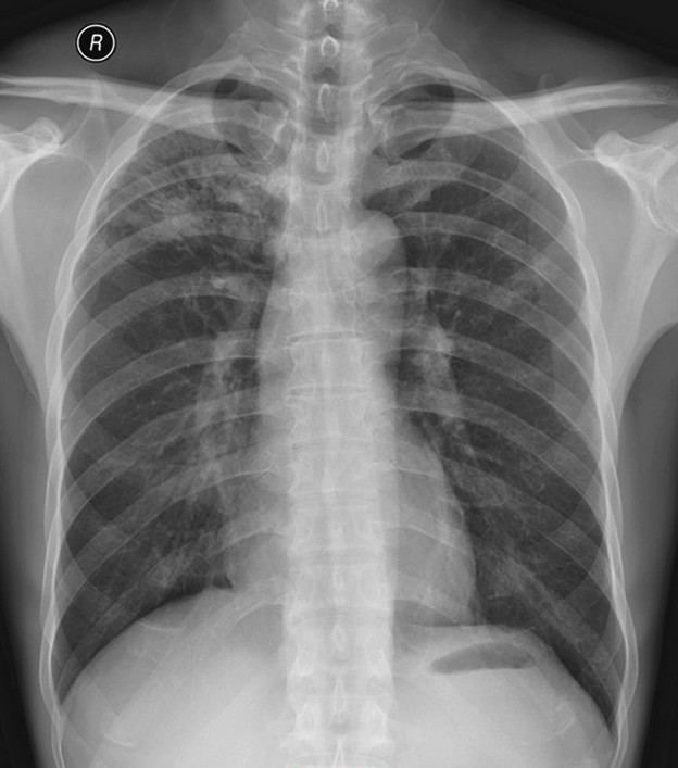
华夏览雄 达人已点赞患者,男46岁,病史已不详,乡镇卫生院胸片发现肺结核而转来本院检查。然后按结核治疗复查系列胸片,前后胸片相隔一个多月,其所见的是基本病变是否有变化呢?请分别描述一下应该是什么病变?
图(一)、第一次就诊拍的正位胸片:

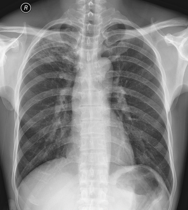
图(二)、抗结核治疗一个多月后复查正位胸片:

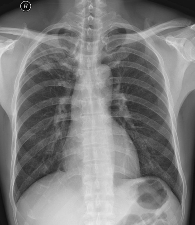
图(三)、继续抗结核治疗一个多月后复查的正位胸片:

华夏览雄 达人已点赞患者,男46岁,病史已不详,乡镇卫生院胸片发现肺结核而转来本院检查。然后按结核治疗复查系列胸片,前后胸片相隔一个多月,其所见的是基本病变是否有变化呢?请分别描述一下应该是什么病变?
图(一)、第一次就诊拍的正位胸片:

图(二)、抗结核治疗一个多月后复查正位胸片:

图(三)、继续抗结核治疗一个多月后复查的正位胸片:

