【影诊笔记789】如此典型,教科书也就如此了吧!请赏析!
中年男性,0191209 03
主 诉:左上腹部疼痛1月,加重1周。
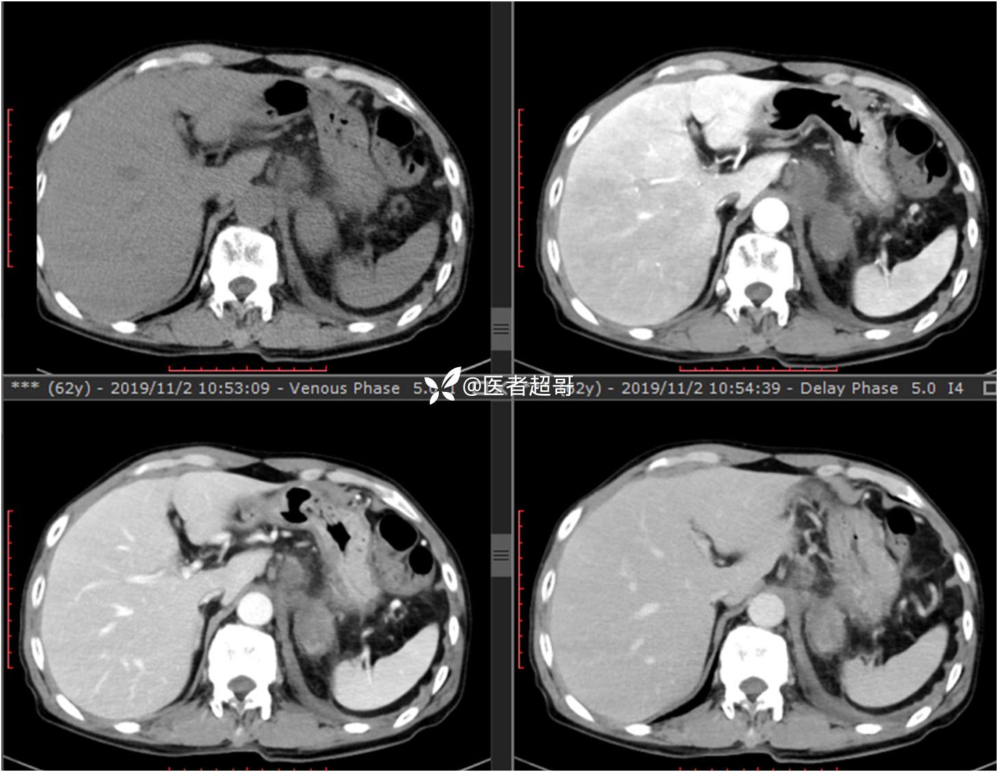
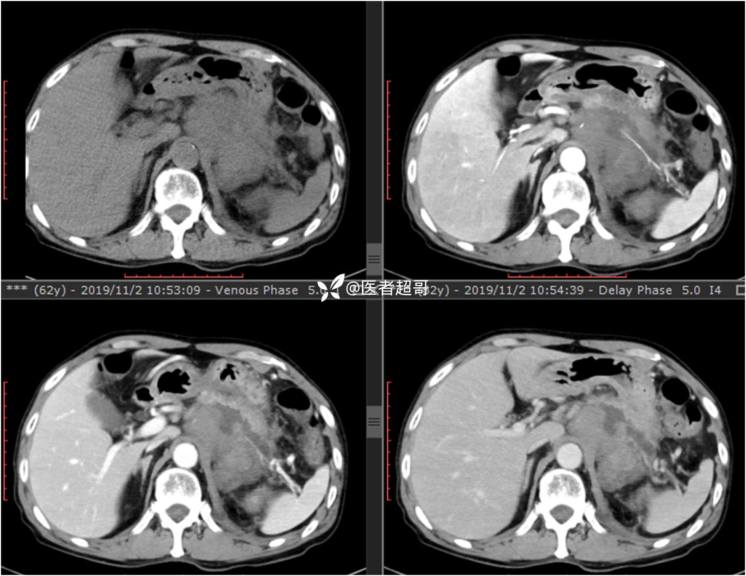
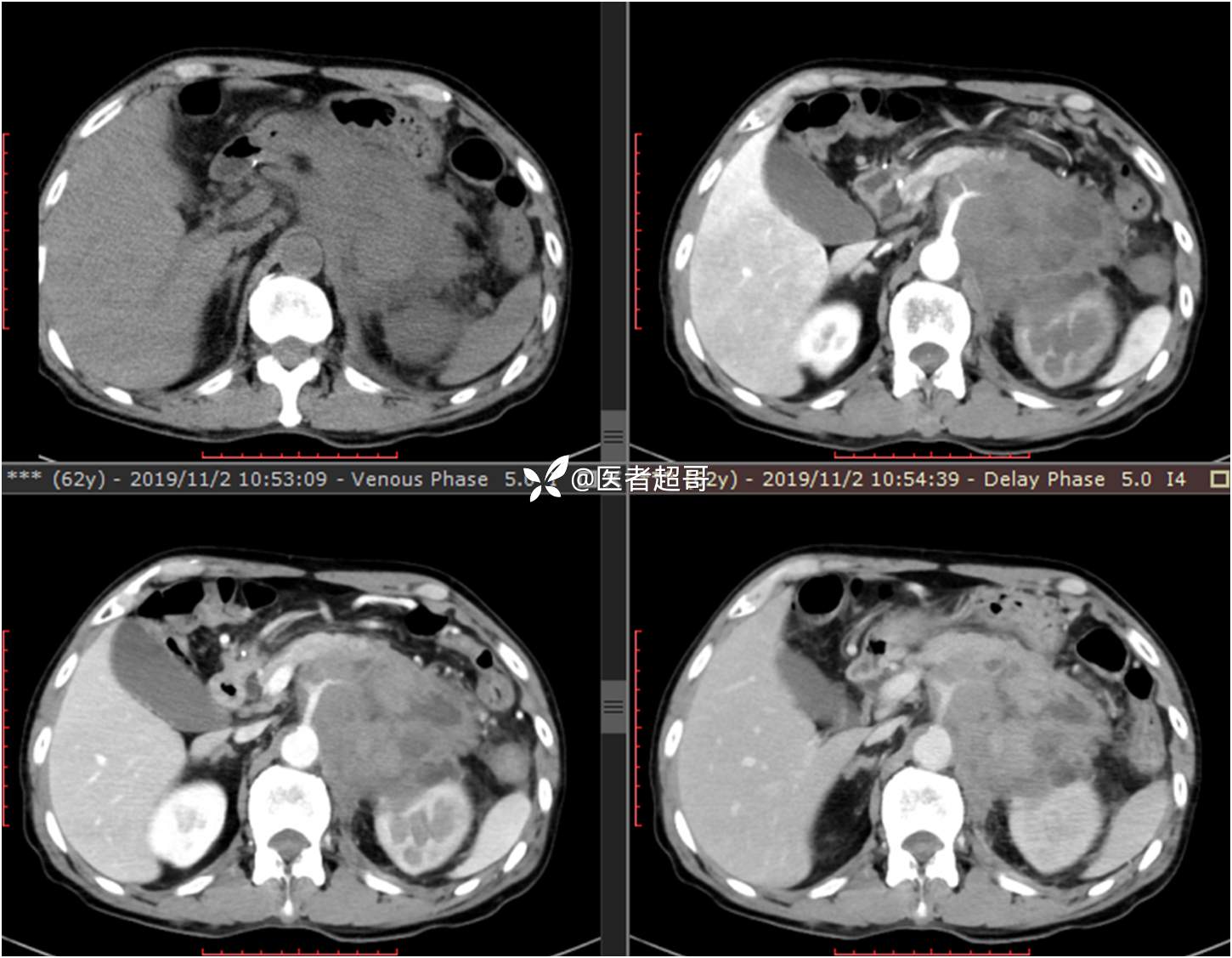
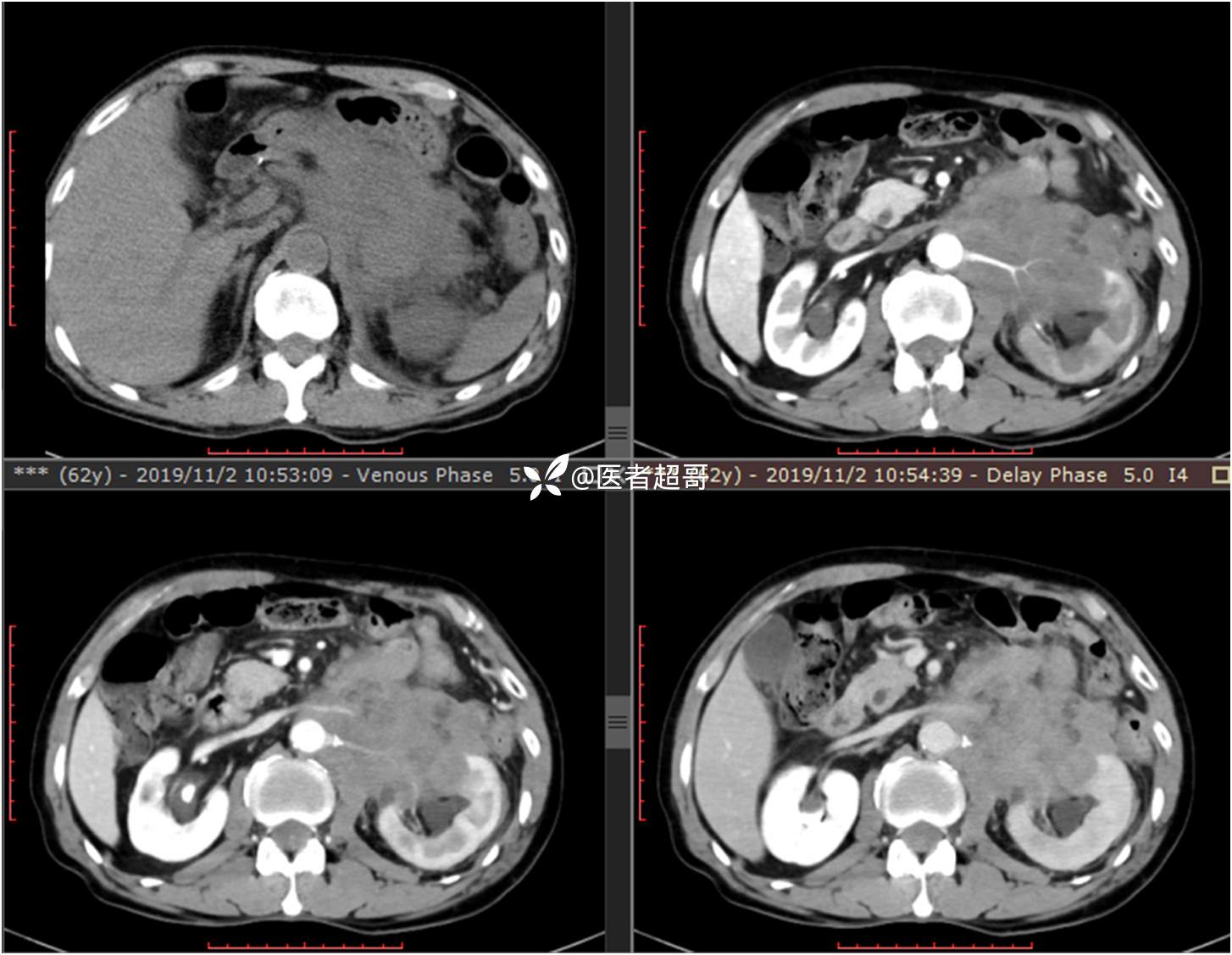
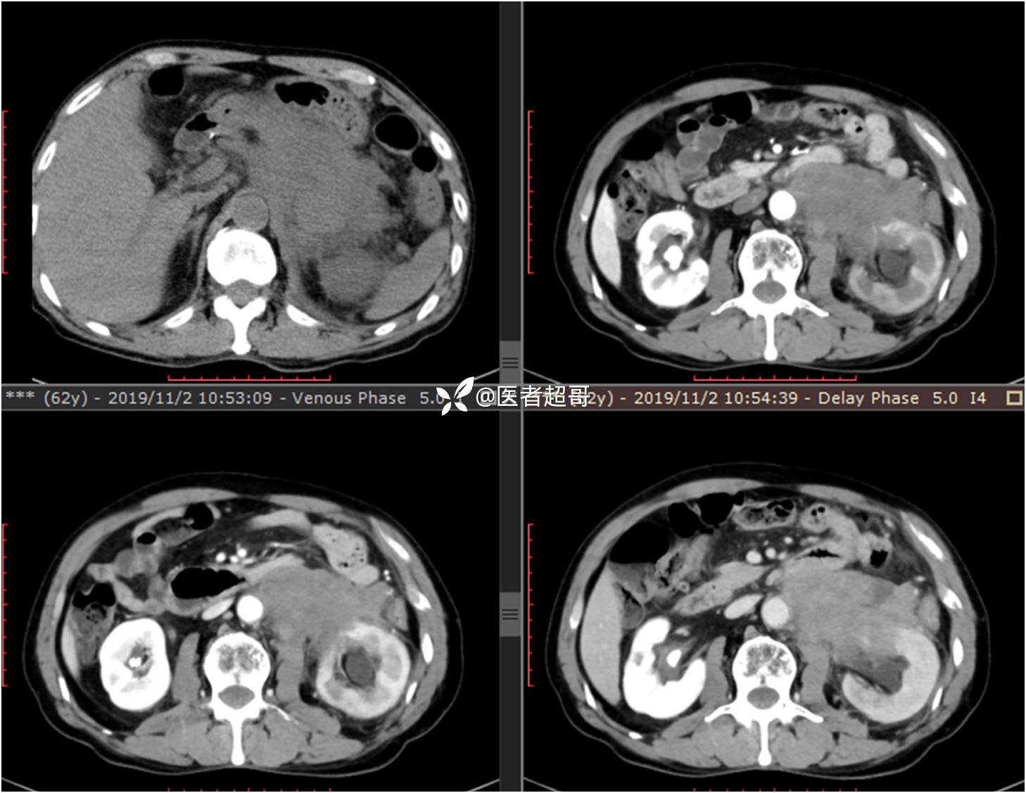
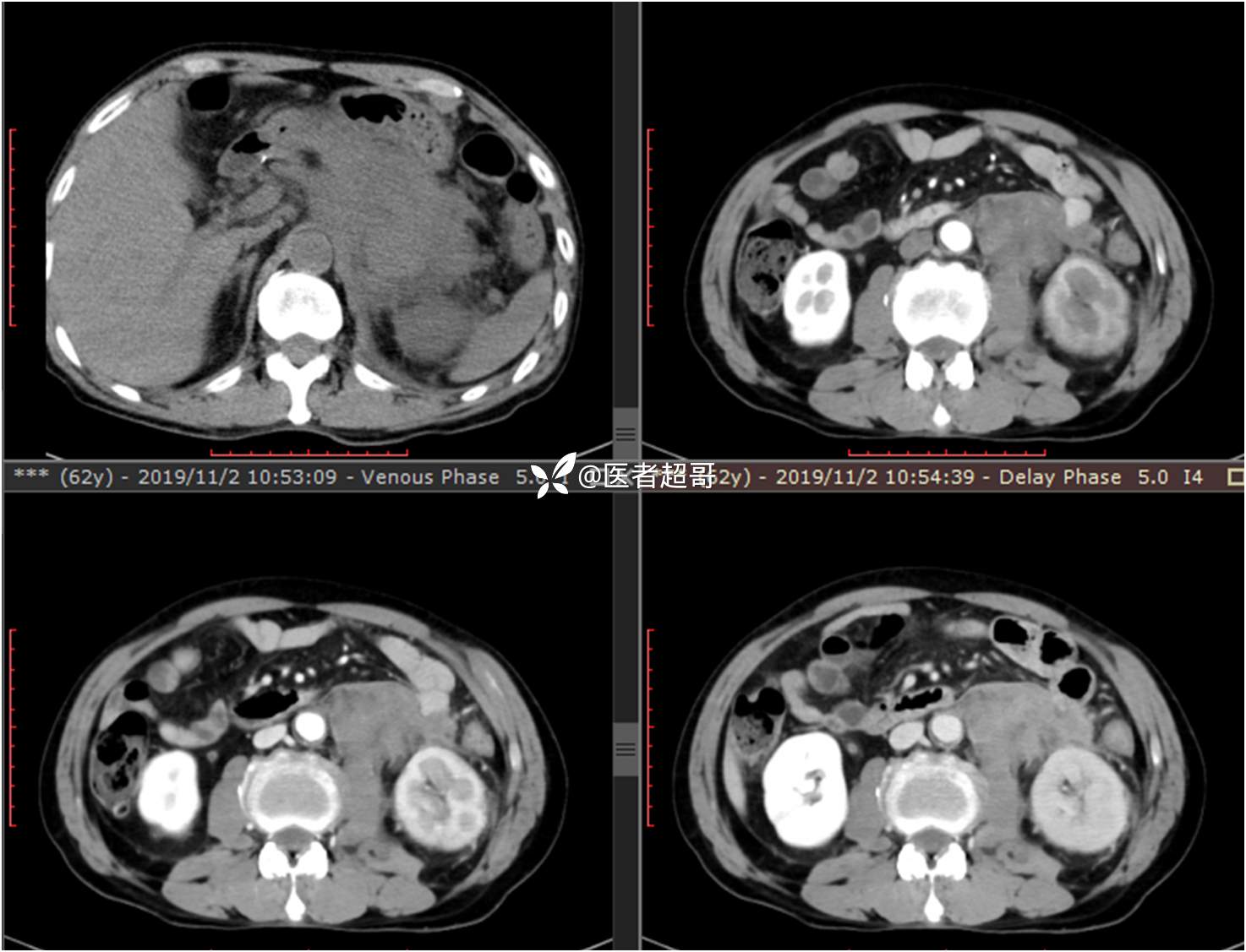
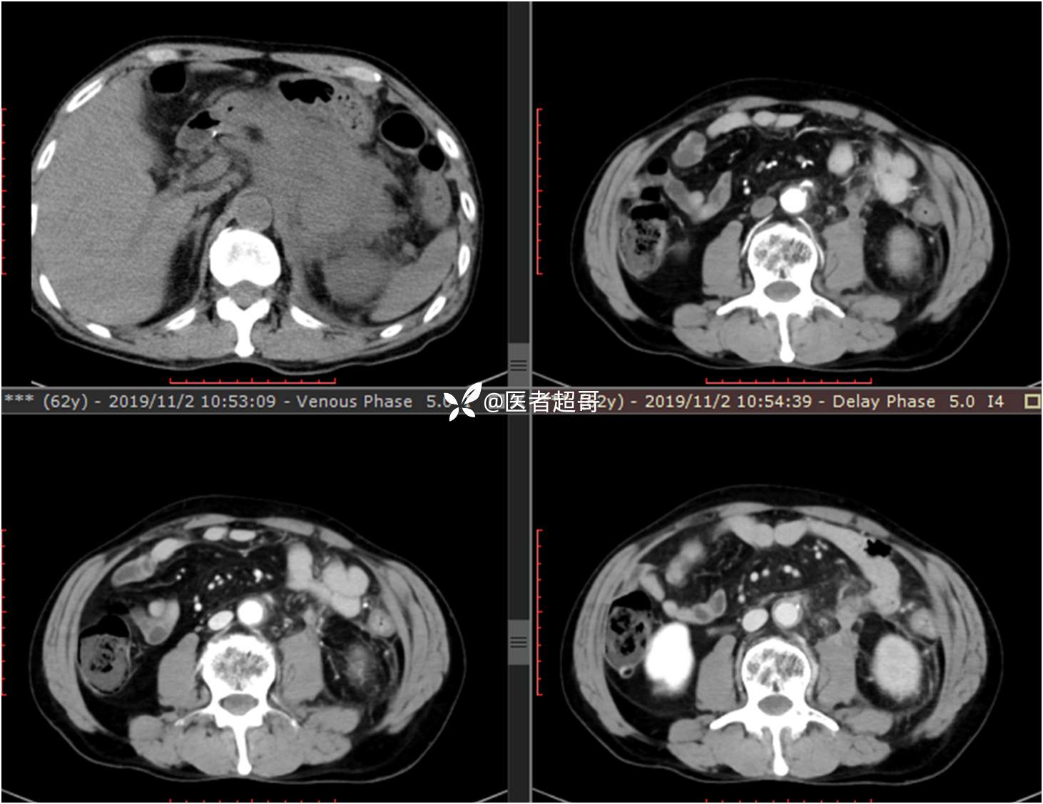
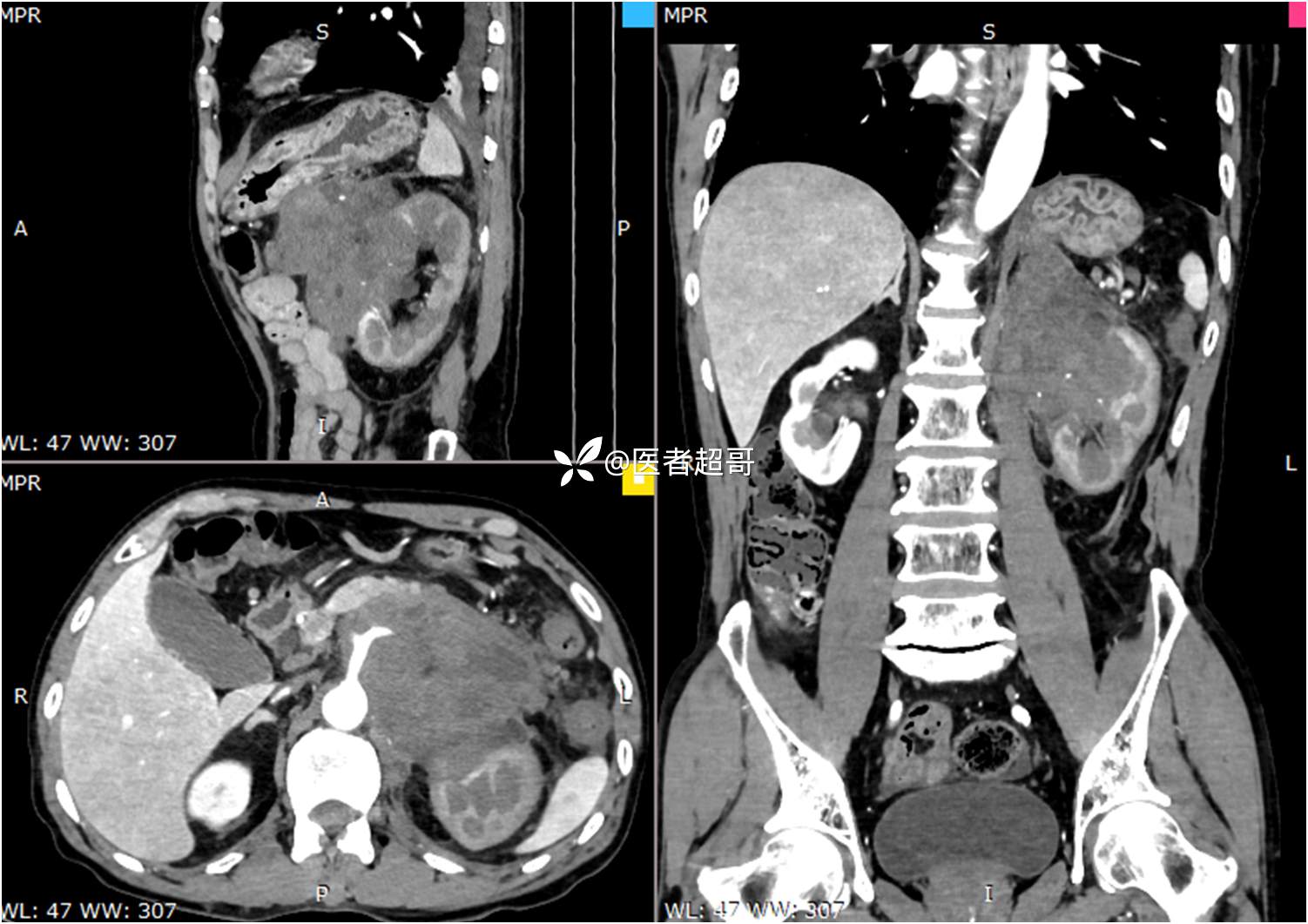
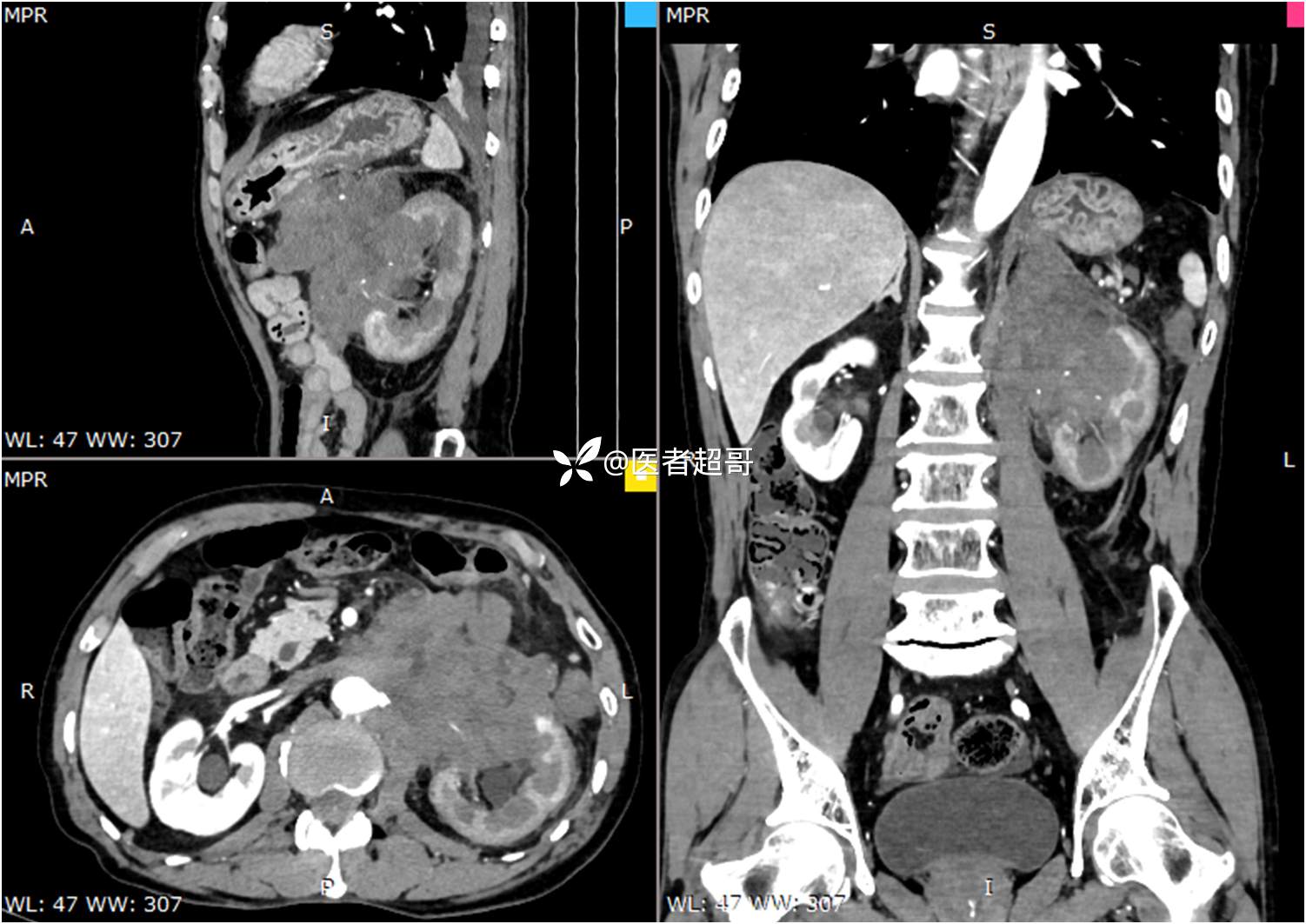
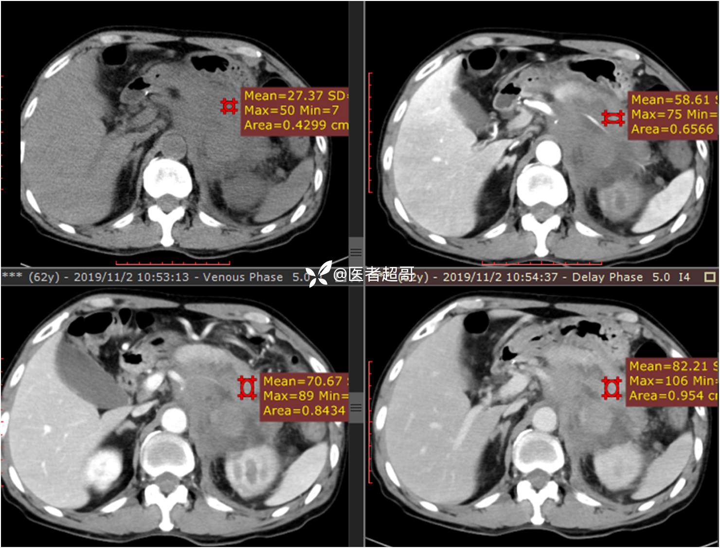
现病史:患者于1月前无明显原因及诱因出现左上腹部疼痛,为间断性疼痛,无恶心、呕吐,无寒战、高热,无腹胀、腹泻等伴随症状,在外未行特殊处理,患者于1周前自觉疼痛加重,为求诊治患者曾就诊于市东城医院,行全腹部强化CT提示:左肾上腺区肿块,符合恶性肿瘤侵犯左肾、胰腺及腹膜后大血管CT表现,行保守治疗,症状缓解,今患者为求进一步诊治,来我院就诊,行腹膜后占位穿刺活检病理提示:(腹膜后占位穿刺)小细胞背景内见细胞浆红染的神经节样细胞,建议到病理科加做免疫组化进一步明确诊断,遂以“腹膜后肿物”收入院,患者自发病以来,神志清,精神可,饮食、睡眠差,大小便正常,体重未见明显改变。
既往史:既往高血压病史20年,160/100mmHg,自服硝苯地平治疗,血压控制可,否认糖尿病、心脑血管病等疾病史,否认肝炎、结核或其他传染病史及密切接触史,预防接种史不详,否认药物及食物过敏史,12年前因髌骨骨折行手术治疗,否认输血史,其它无特殊。



























































