【影诊笔记738】脾脏低密度影,请诊断分析~~
男,33岁 0201215 01
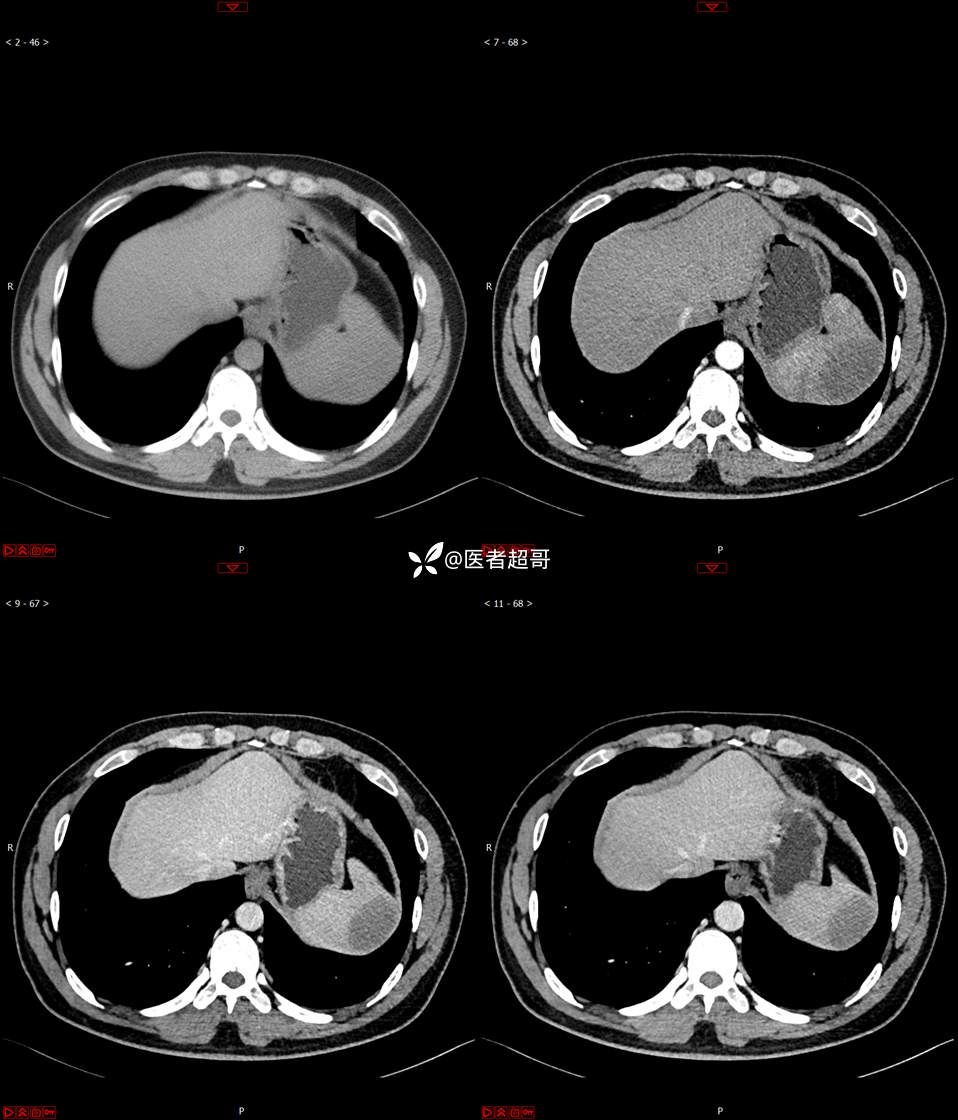
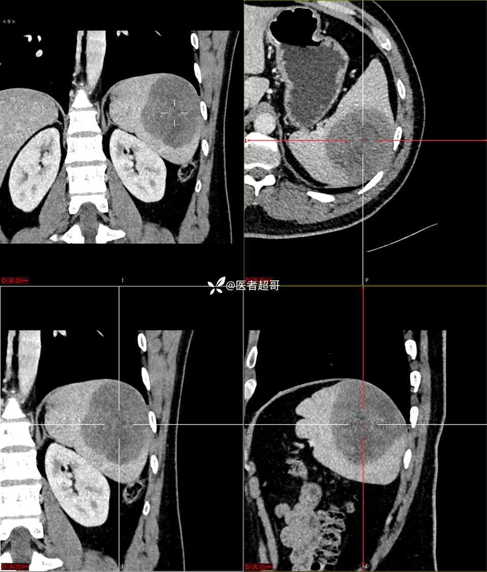
主 诉:发现脾占位2月余。
现病史:患者2月余前体检行肝胆胰脾肾彩超提示脾占位性病变,未予特殊诊治,1天前于区人民医院行肝胆胰脾MR平扫提示脾脏占位性病变,左肾小囊肿,现患者无腹胀、腹泻,无恶心呕吐,无胸闷憋气等症状,今为求进一步治疗,患者来我院就诊,门诊以“脾占位性病变”收入院。患者自发病以来,一般情况可,神志清,精神可,饮食、二便正常,睡眠可,体重体力无明显改变。









男,33岁 0201215 01
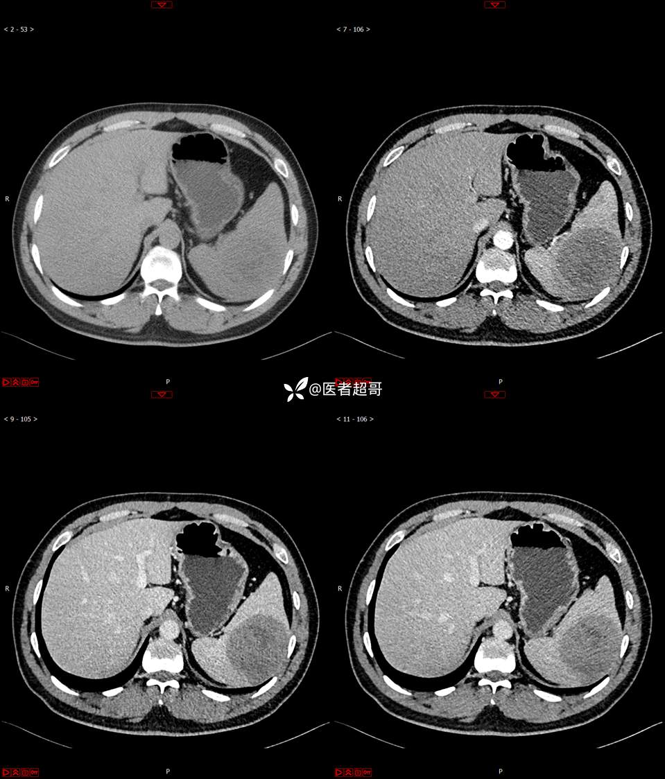
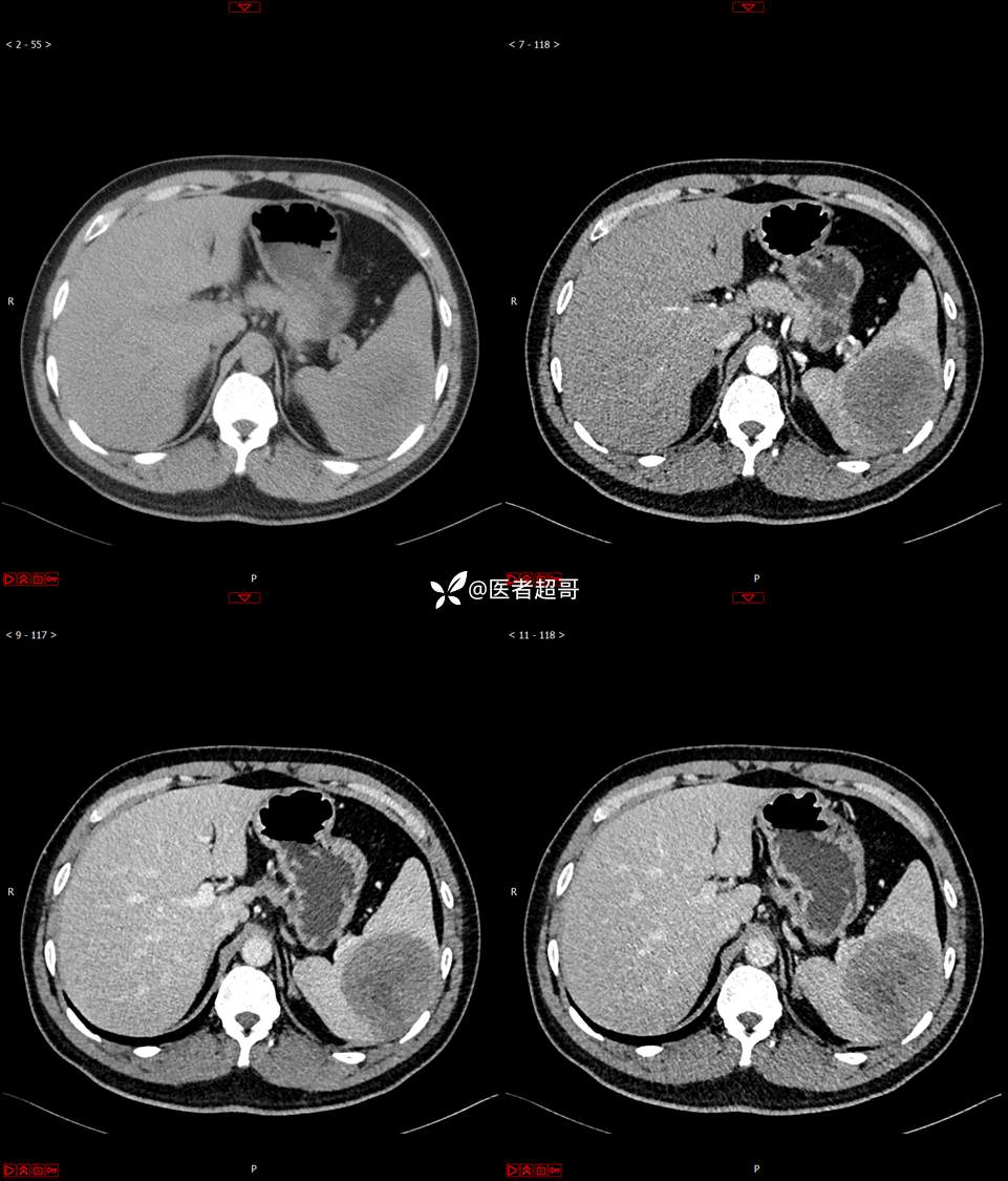
主 诉:发现脾占位2月余。
现病史:患者2月余前体检行肝胆胰脾肾彩超提示脾占位性病变,未予特殊诊治,1天前于区人民医院行肝胆胰脾MR平扫提示脾脏占位性病变,左肾小囊肿,现患者无腹胀、腹泻,无恶心呕吐,无胸闷憋气等症状,今为求进一步治疗,患者来我院就诊,门诊以“脾占位性病变”收入院。患者自发病以来,一般情况可,神志清,精神可,饮食、二便正常,睡眠可,体重体力无明显改变。









