看似不典型,却又有典型的地方,万变不离其宗(病理已公布)
胡志勇HZY 达人已点赞女 56岁 主 诉:头沉1周,加重3小时
现病史:1周前患者无明显诱因出现头沉,伴头顶部禁锢感,伴轻微恶心,无视物旋转,无头晕、头痛、呕吐,无心慌、胸闷胸痛、呼吸困难,无发热、抽搐、意识丧失,无肢体麻木、肢体功能障碍,无言语不利、饮水呛咳、吞咽困难,1周来上述症状持续不缓解,3小时前自觉上述症状较前加重,伴浑身乏力,张口费力,续不缓解,为求诊治急来我院,急诊以“头沉查因”为诊断收入我科。发病来,神志清,精神差,饮食尚可,睡眠差,二便正常。近1年体重下降5kg
既往史:既往有“高血压病”病史5余年,血压最高160/90mmHg,平时口服“硝苯地平缓释片”降压,血压控制在140/90mmHg左右;有“浅表性胃炎”4年余。否认“糖尿病、冠心病、脑血管病”病史,无肝炎、结核等传染病病史及密切接触史。否认外伤,否认手术史,否认输血史,否认药物及食物过敏史。预防接种史随当地。
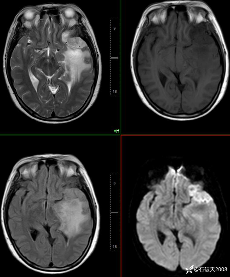
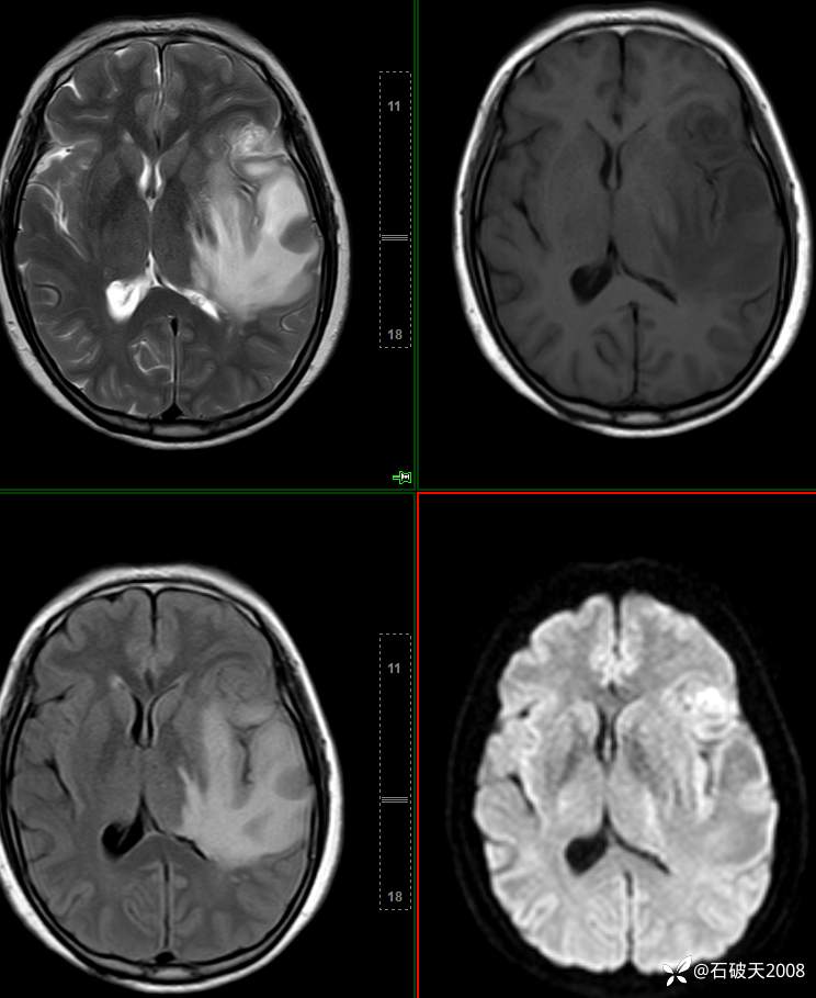
平扫


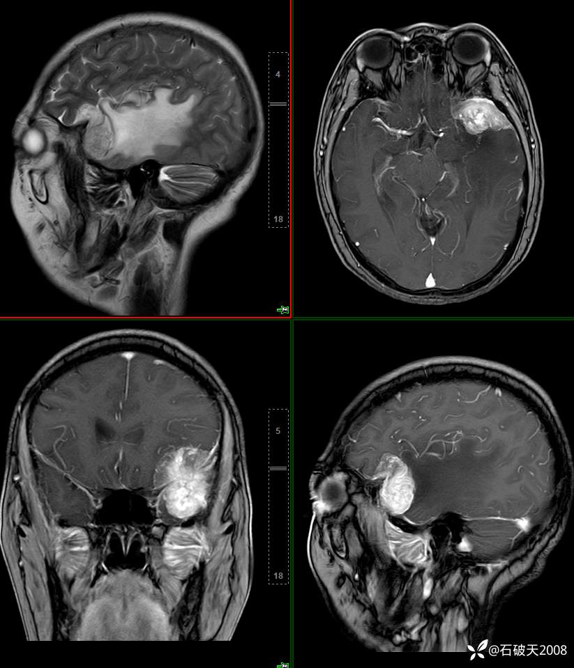
矢状位及增强

















































