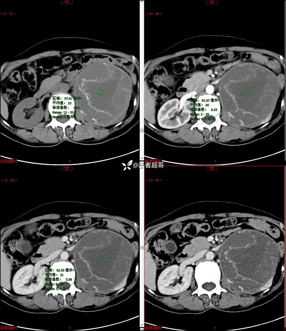
【影诊笔记768】肾脏肿瘤?肾上腺肿瘤?请诊断分析!
欢迎大家为病例三投上您宝贵的一票!感谢!https://3g.dxy.cn/newh5/view/voteActivity/45?from=tiezi&sf=1&sr=1
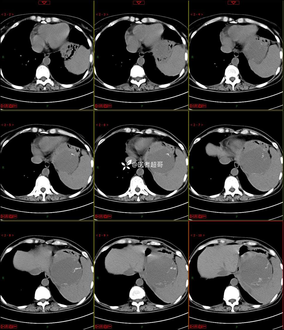
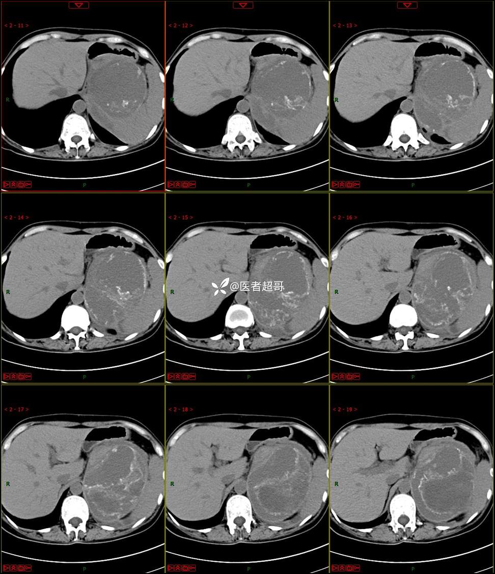
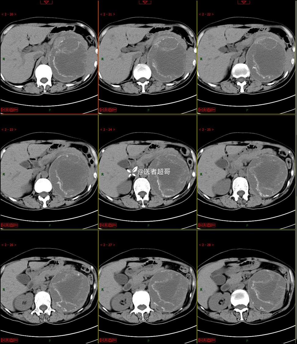
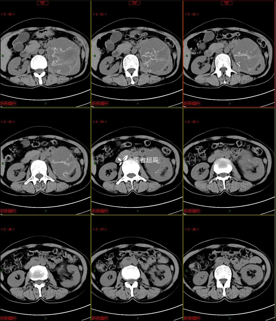
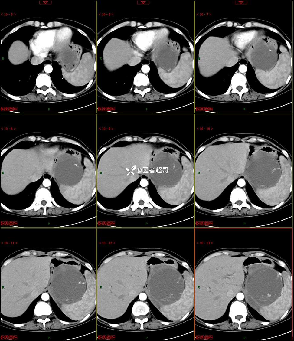
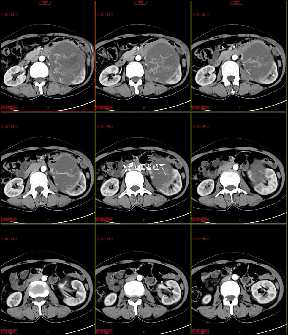
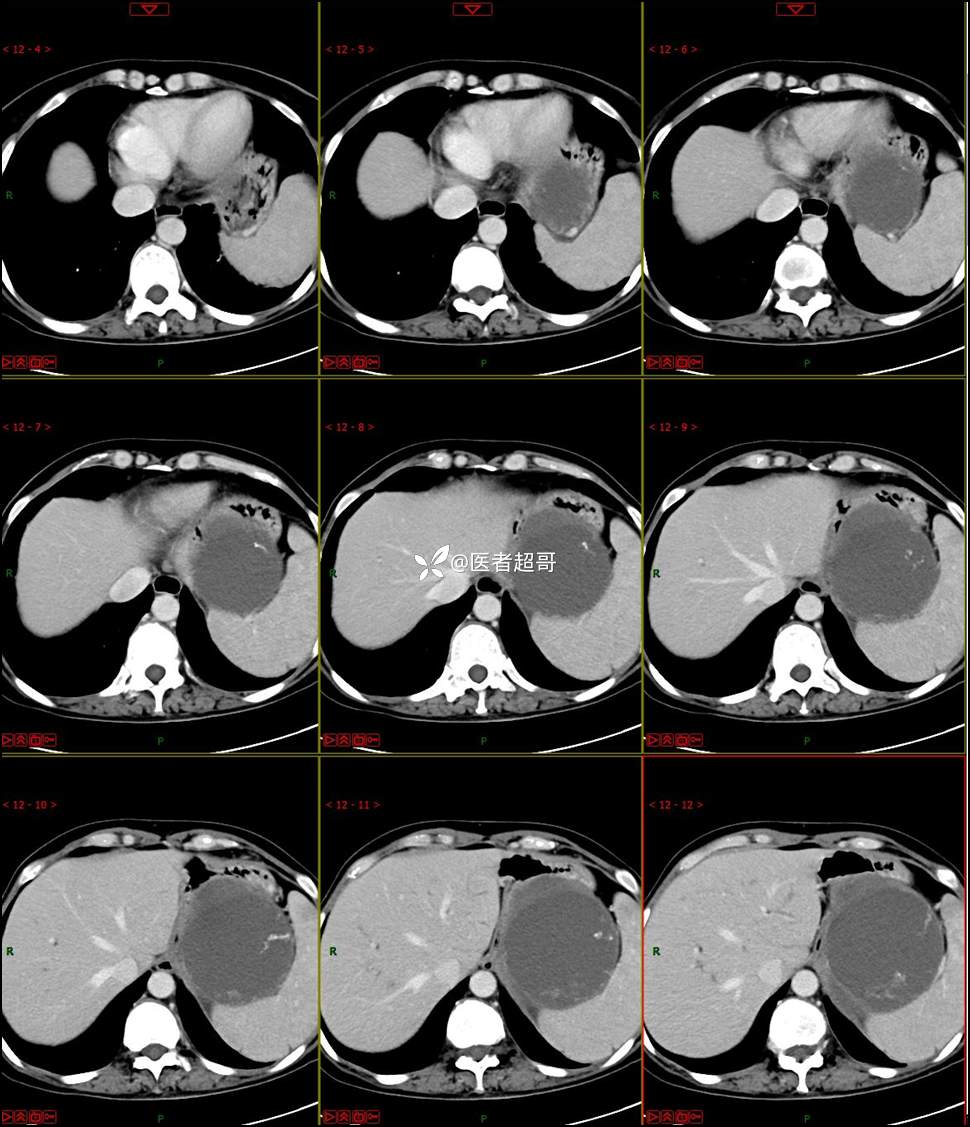
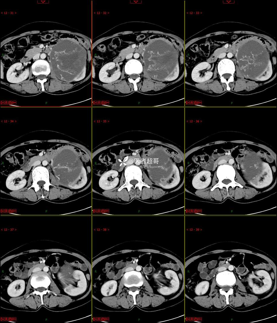
女 57岁 0200908 01
主 诉:发现左肾肿物7月余
现病史:患者7月前因左侧腹部疼痛不适,就诊市人民医院,行CT平扫:左侧肾上腺区混杂密度肿块,考虑肿瘤合并出血,行保守治疗后症状缓解出院,左侧下腹部及左侧髋部疼痛不适,无尿频、尿急、尿痛,无肉眼血尿,无寒战、发热,今患者为求进一步诊治,就诊我院,门诊以“左肾肿物”为诊断收入院,患者自发病以来,神志清,精神可,饮食睡眠可,小便如上述,大便正常,体重未见明显改变。





























































