dxy logo
首页丁香园病例库全部版块
搜索
登录

胸痛三天,加重三小时(CT是心包高密度影是什么)

心血管内科医师 · 发布于 2016-07-25 · IP 四川四川
1.7 万 浏览
这个帖子发布于 9 年零 125 天前,其中的信息可能已发生改变或有所发展。

患者性别:男
患者年龄:64岁
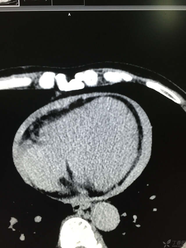
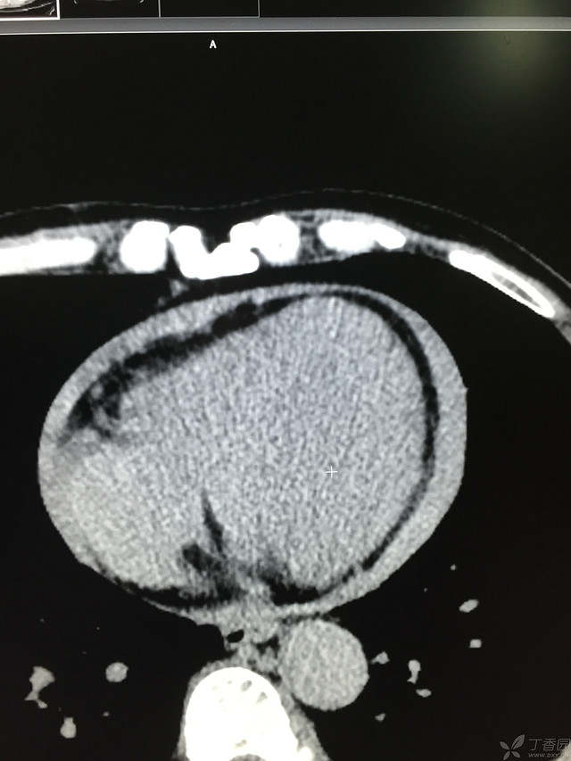
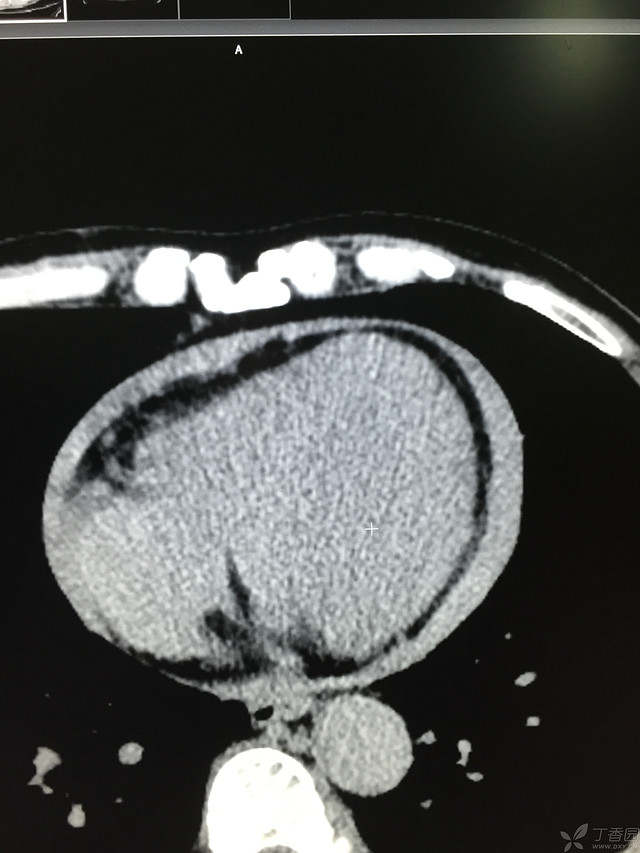
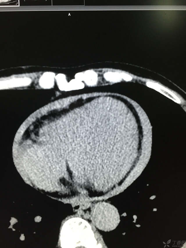
简要病史:三天前休息时突发胸前区疼痛伴大汗,到当地医院输液治疗后缓解,3小时前情绪激动后再次出现胸痛伴大汗,胸部压迫感,持续不缓解入院,到当地医院测血压180/?mmHg泵入硝酸甘油转入我院。

体格检查:血压94/72mmHg(右侧)96/74mmHg(左侧),心率78此/分,其他未见阳性体征

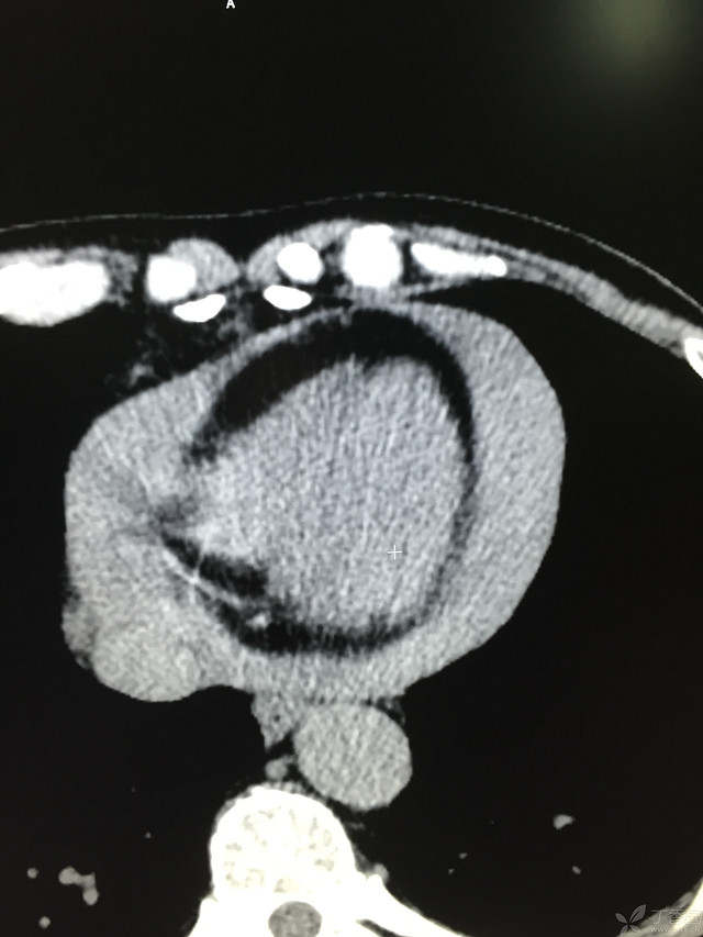
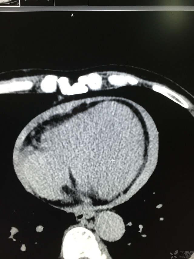
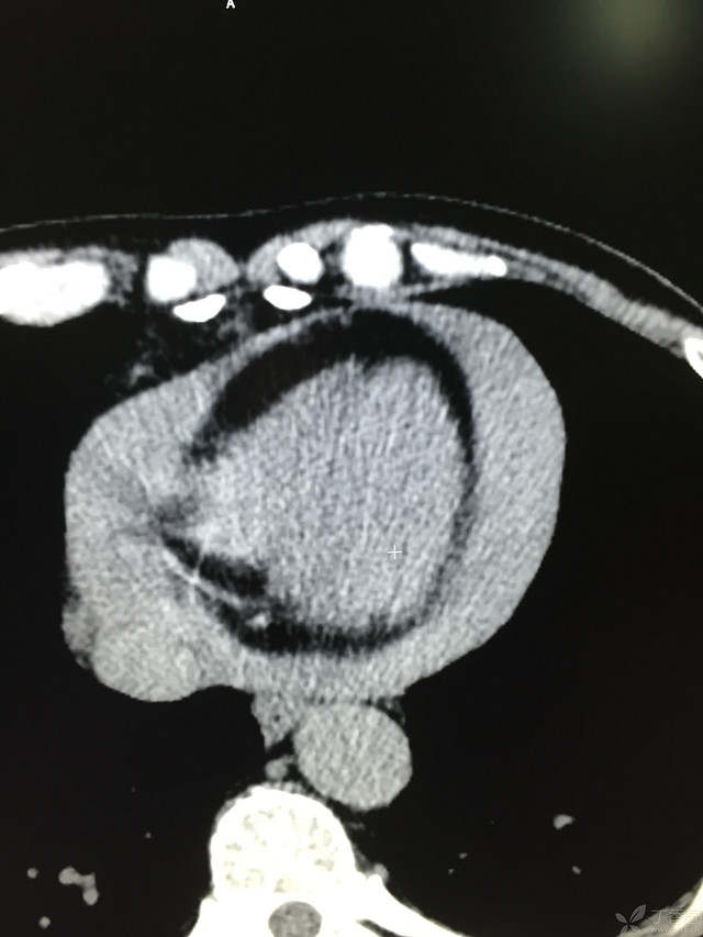
辅助检查:





img

img

img

img

img

img

img

img

img

img

img

img

img

img

img

img

img

img

img

img

img

img

img

img

img

img

img

img

img

img

img

img

img

img

img

img

img

img

img

img

img

img

img

img

img

img

img

img

img

img

临床诊断:
治疗经过:





该帖还没有疾病标签去添加
76 154 21
同行评议(0)
已评议
不开通精选
开通精选
精选已授权,待上线
评议结果暂未公布
参与评议
去邀请
NaN
病例完整NaN
临床实用NaN
诊疗科学NaN
学术价值NaN

全部讨论(0)

默认最新
avatar
76
分享帖子
share-weibo分享到微博
share-weibo分享到微信
认证
返回顶部