当妊娠遇上阑尾黏液性肿瘤会发生什么?
皎儿皎儿 推荐病例信息
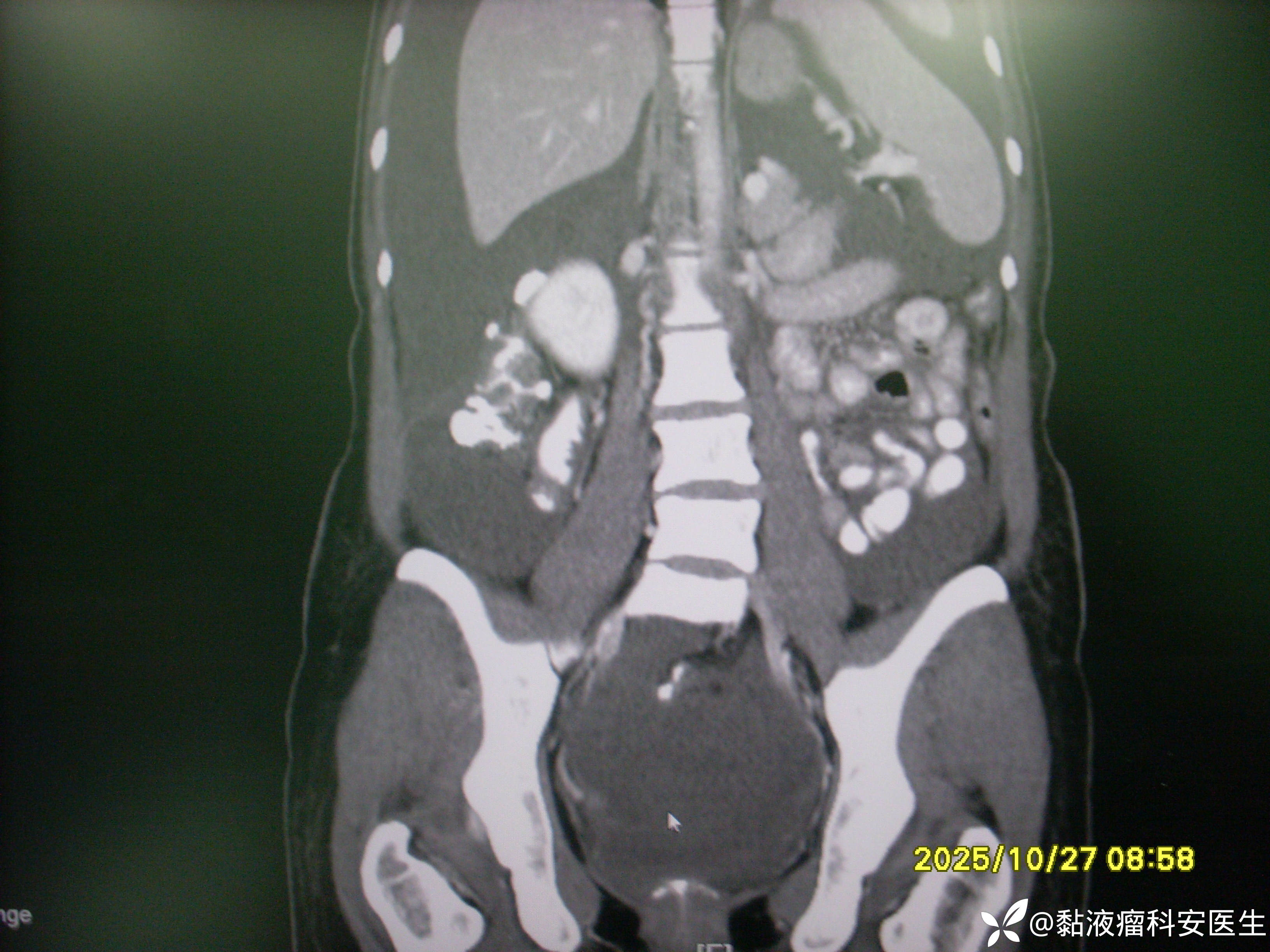
患者女性,34岁,2024-07-30主因“停经14+5周,转移性右下腹痛1天”就诊于当地医院,诊断为“妊娠合并阑尾炎”。 于2024-07-31 行“开腹阑尾切除”,术中见网膜包裹于盲肠及阑尾表面,局部形成脓苔,阑尾位于盲肠外位,约5cm × 1.5cm ×1.5cm,尖端穿孔,水肿明显。未描述其他部位及异常情况。遂行阑尾切除术。术后病理诊断为阑尾低分化黏液腺癌,侵及浆膜层。2024-08-08我院病理会诊:阑尾黏液腺癌,侵及浆膜下层,可辨浆膜层未见累及,断端情况请参考原单位报告。患者诉2025年8月下旬开始出现腹胀、腹围增大,逐渐加重,伴饮食减少,无恶心、呕吐,无发热。大小便基本正常。
入院腹型


术前CT






病例讨论
腹腔巨大占位是什么?
















































