dxy logo
首页丁香园病例库全部版块
搜索
登录

病例年轻小伙,反复高热头痛,结合头部CT考虑什么?

神经内外版版主 · 发布于 3 天前 · 来自 iOS · IP 辽宁辽宁
907 浏览
icon胡志勇HZY 达人已点赞

病例信息

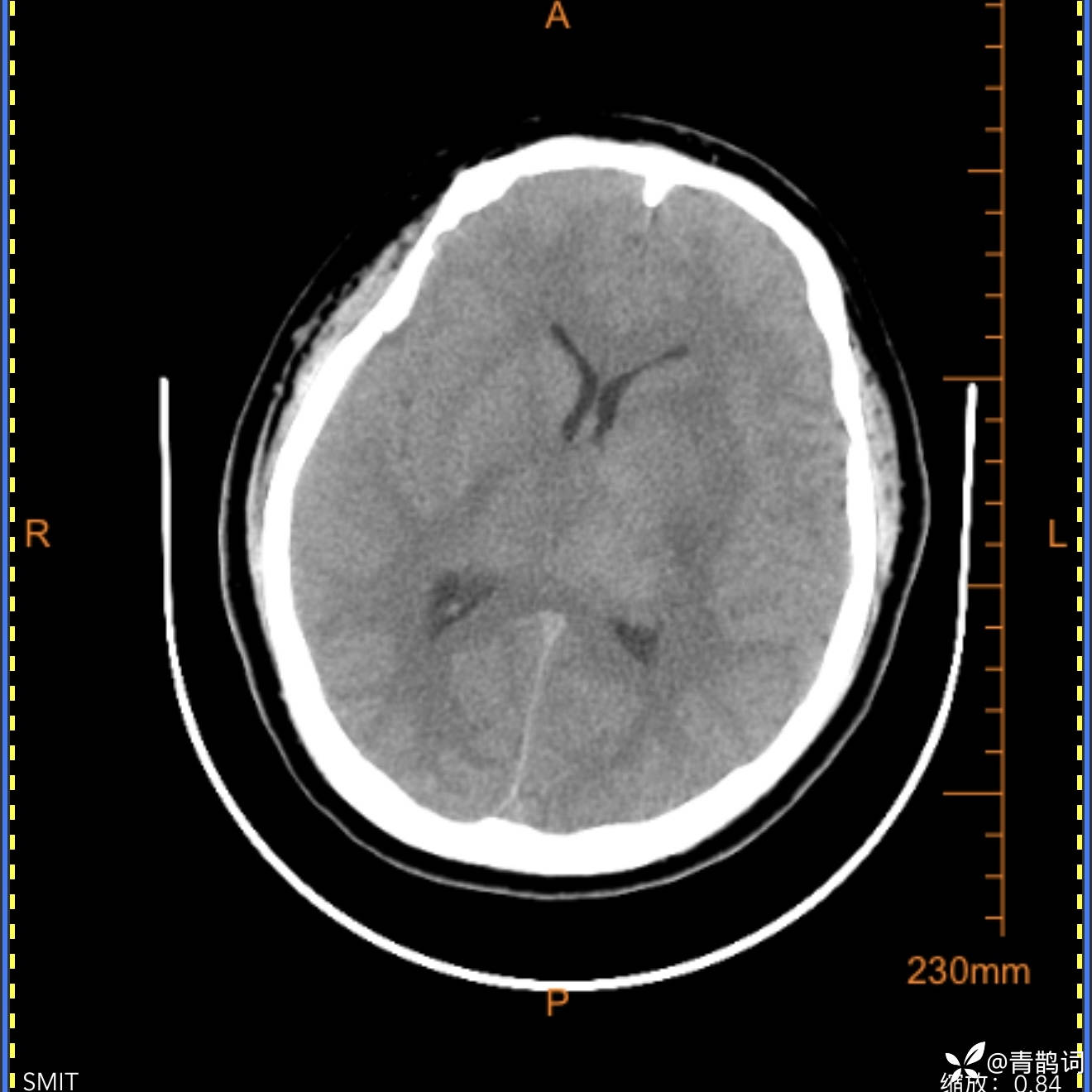
18岁男患,近期反复发热,体温最高达41摄氏度,自行口服退烧药物,效果欠佳,伴有头痛。无肢体无力,言语困难等症状。完善头部CT如下:

img


img


img


img


img


img


img


img


img


img


img


病例讨论

患者考虑哪些疾病可能?进一步完善哪些检查?

该帖还没有疾病标签去添加
11 收藏5
同行评议(0)
已评议
不开通精选
开通精选
精选已授权,待上线
评议结果暂未公布
参与评议
去邀请
NaN
病例完整NaN
临床实用NaN
诊疗科学NaN
学术价值NaN

全部讨论(0)

默认最新
avatar
11
分享帖子
share-weibo分享到微博
share-weibo分享到微信
认证
返回顶部