dxy logo
首页丁香园病例库全部版块
搜索
登录

病例考虑什么病?

普外科医师 · 发布于 11-10 · 来自 iOS · IP 四川四川
420 浏览

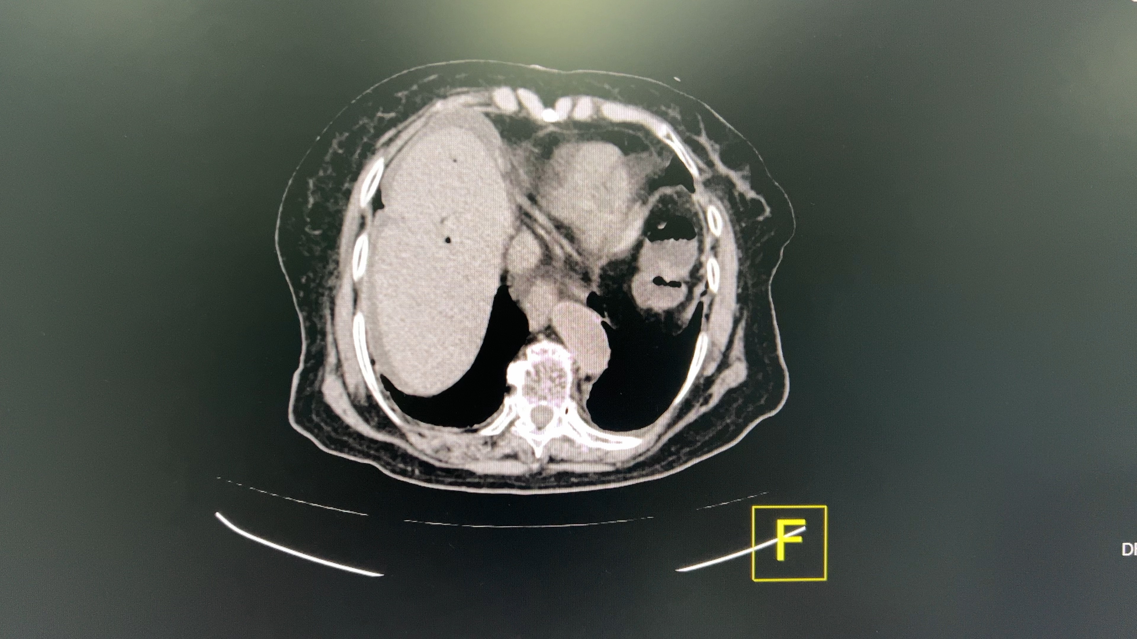
病例信息

患者94岁老年女性,腹部胀痛伴呕吐2天入院,查体腹部彭隆,肚周压痛,伴有轻微反跳痛,院外腹部平片提示肠梗阻。

previewplay video


病例讨论

考虑什么诊断,该如何处理?

上传患者超声影像图
419 讨论
肠梗阻 (362)
纠错
2 收藏2
同行评议(0)
已评议
不开通精选
开通精选
精选已授权,待上线
评议结果暂未公布
参与评议
去邀请
NaN
病例完整NaN
临床实用NaN
诊疗科学NaN
学术价值NaN

全部讨论(0)

默认最新
avatar
2
分享帖子
share-weibo分享到微博
share-weibo分享到微信
认证
返回顶部