69岁/女,发现肺占位3天余。精彩好病例,请慧诊---(有结果)
胡志勇HZY 达人已点赞病例信息
【患者信息】:69岁/女
【主诉】:发现肺占位3天余
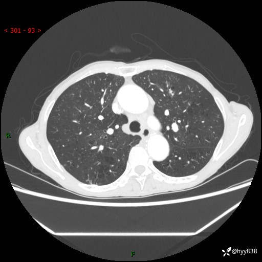
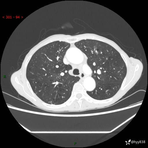
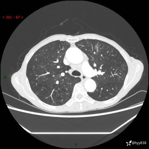
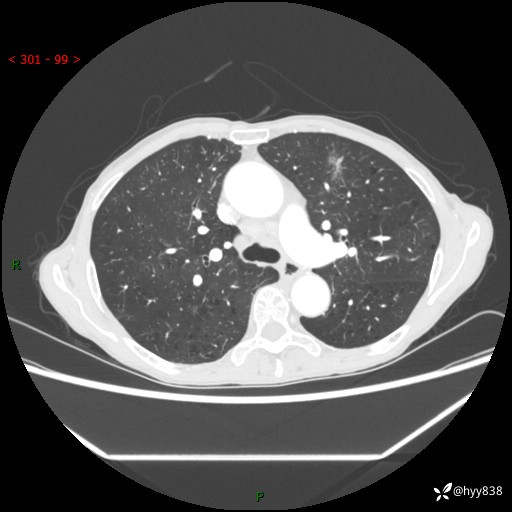
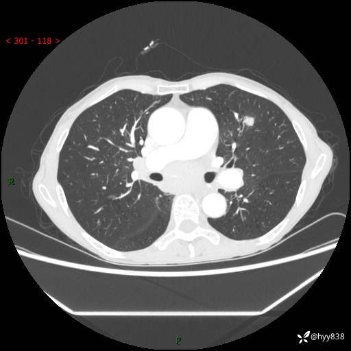
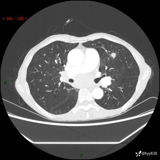
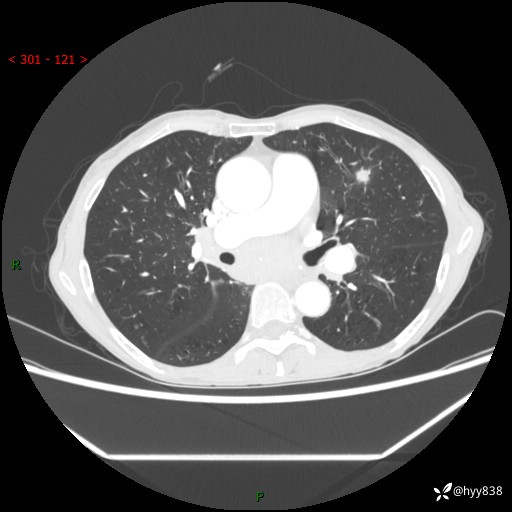
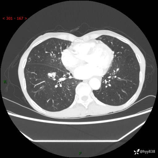
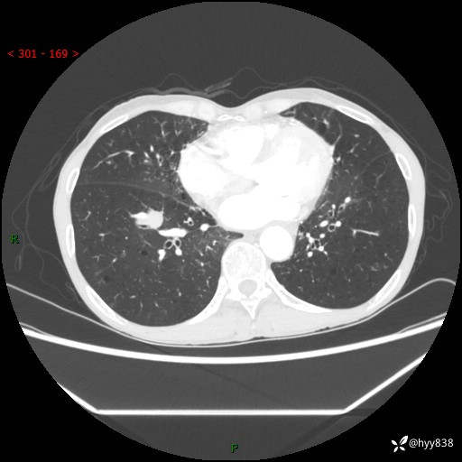
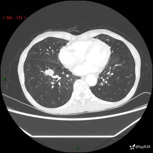
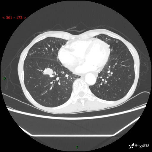
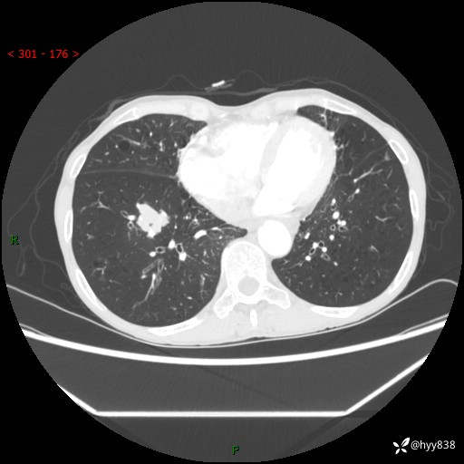
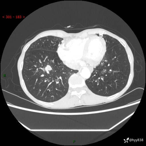
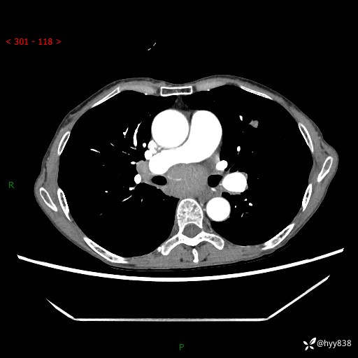
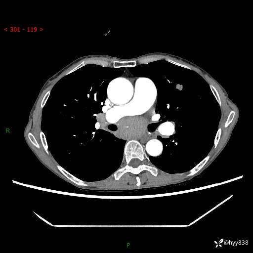
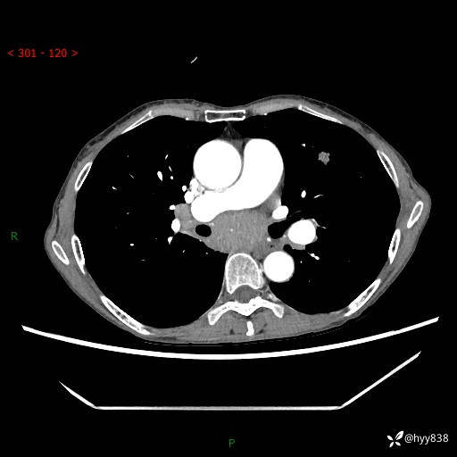
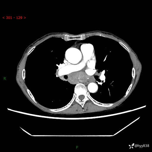
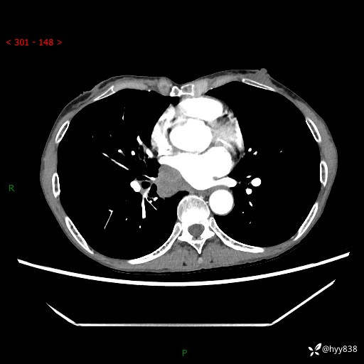
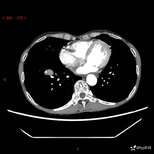
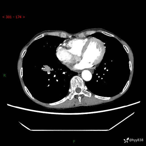
【现病史及既往史】:患者3天余前因既往肺气肿复查胸部CT发现“右肺下叶结节、双肺多发结节、双肺门及纵膈淋巴结增大”,平素偶有咳白色粘液痰,下肢乏力,无明显低热、盗汗、咯血、胸痛、喘气等不适,今为求明显结节性质遂来我院门诊就诊,门诊以“孤立性肺结节”收治入院。 起病以来,患者精神饮食睡眠一般,大小便正常,体力无明细变化,体重近年来较前下降。
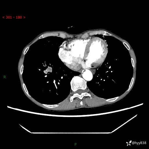
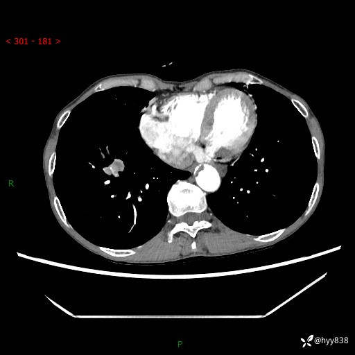
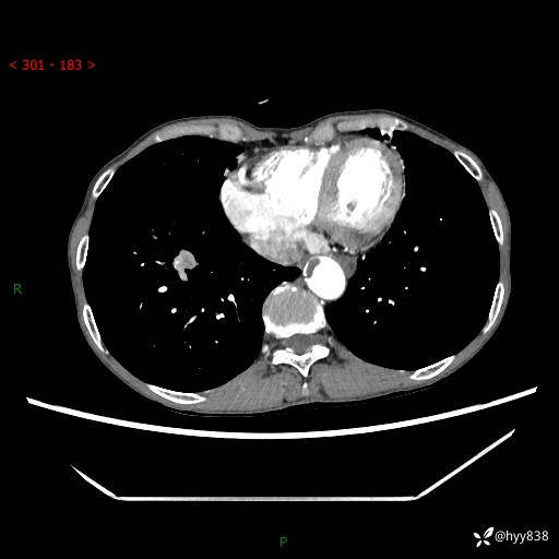
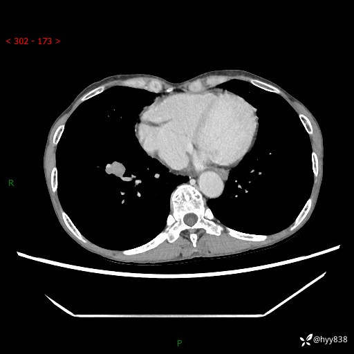
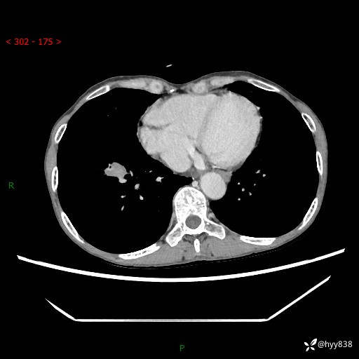
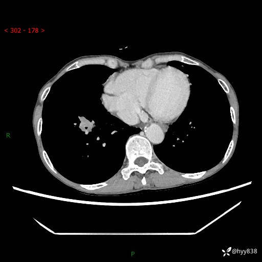
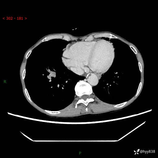
【检查】:胸部CT增强































【临床诊断】:
【治疗经过及结果】:















































