胸组50:老年男性,发现肺占位一天,(结果公布)
患者性别:男
患者年龄:73
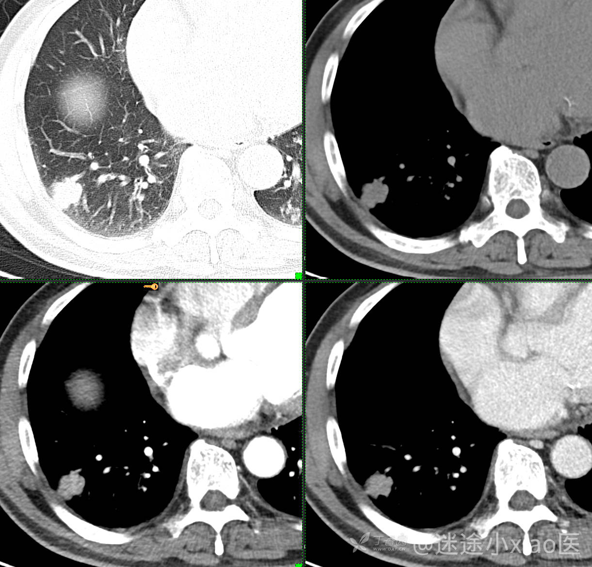
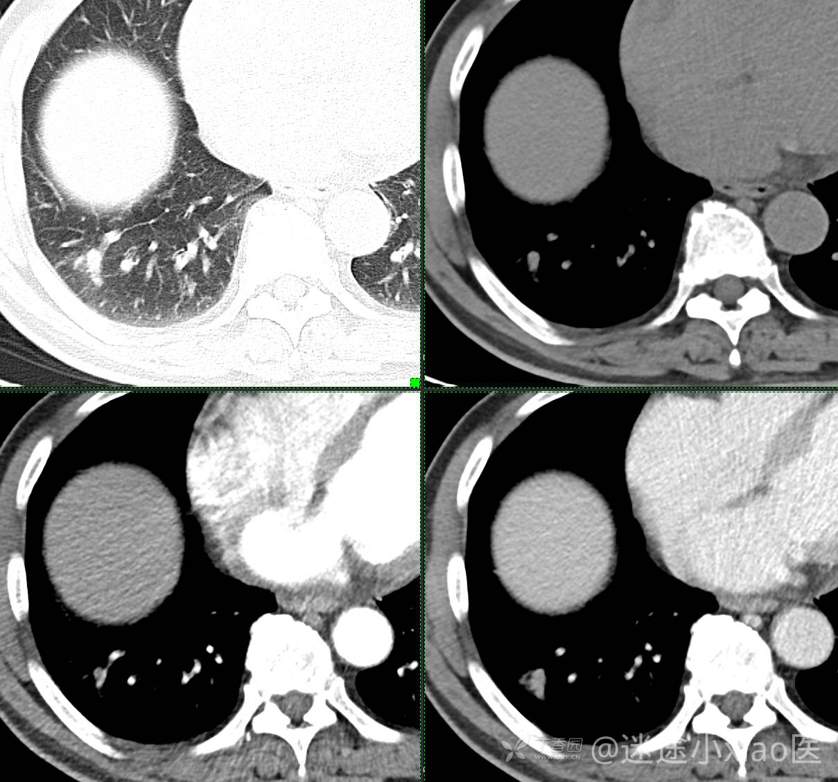
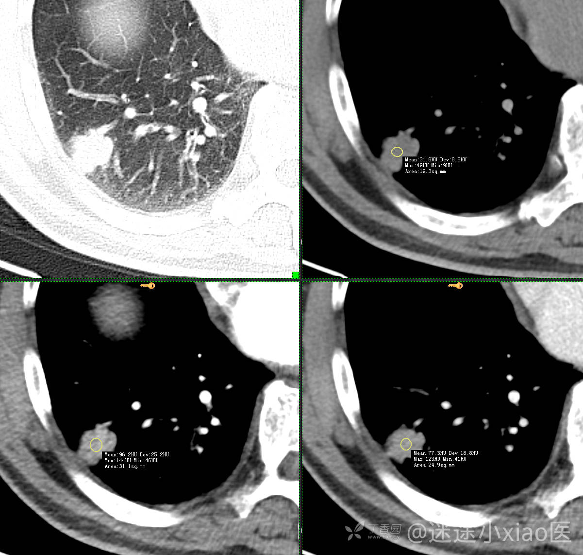
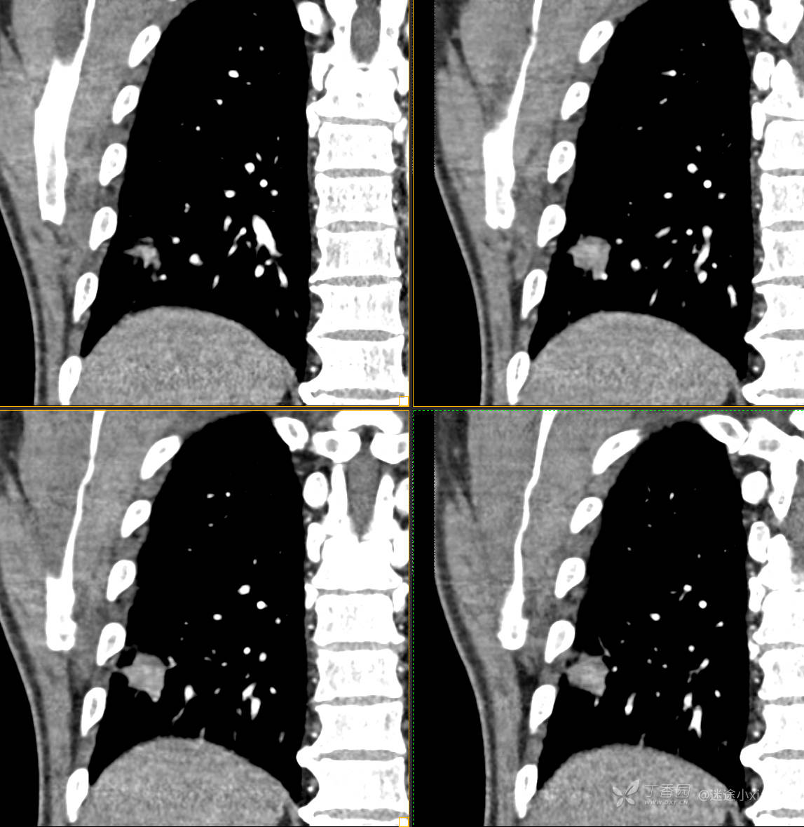
主诉: 发现右肺占位1天
现病史: 患者诉1日前在当地医院检查时胸部CT示;肺结节(具体不详),当时无胸闷气急。 无咳嗽咳痰,无胸痛,无恶心呕吐等。今为求进一步治疗,门诊拟“肺结节”收治入院。病来,患者神志清,精神可,胃纳睡眠可,二便无殊,体重无明显增减。









患者性别:男
患者年龄:73
主诉: 发现右肺占位1天
现病史: 患者诉1日前在当地医院检查时胸部CT示;肺结节(具体不详),当时无胸闷气急。 无咳嗽咳痰,无胸痛,无恶心呕吐等。今为求进一步治疗,门诊拟“肺结节”收治入院。病来,患者神志清,精神可,胃纳睡眠可,二便无殊,体重无明显增减。









