老年女性,咳嗽咳痰半月,发现肺占位2天。“隐匿”性肺结节一枚,易误诊---结果公布-
胡志勇HZY 等 2 位达人已点赞病例信息
【患者信息】:55岁/女
【主诉】:咳嗽咳痰半月,发现肺占位2天
【现病史及既往史】:患者半月前出现咳嗽咳痰,伴头晕胸闷、无发热气喘。于当地医院住院行抗感染治疗1周(具体药物不详),后咳嗽减轻,但仍未完全缓解,复查胸部CT示:左肺下叶1.8*1.2结节软组织影。为求进一步诊治来我院,门诊以“肺占位”收入院。 自患病以来,精神、饮食、睡眠尚可,大小便正常,体力体重无明显减少。
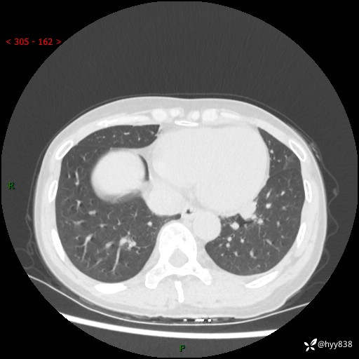
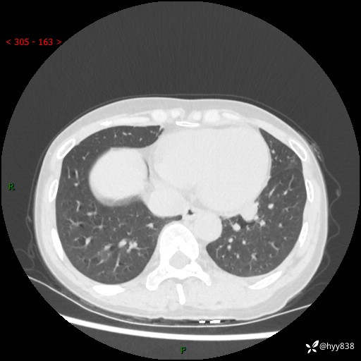
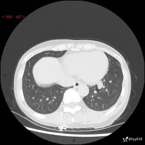
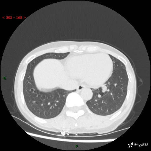
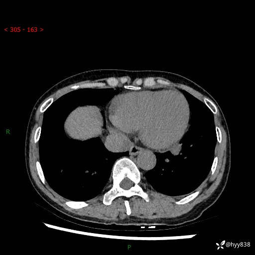
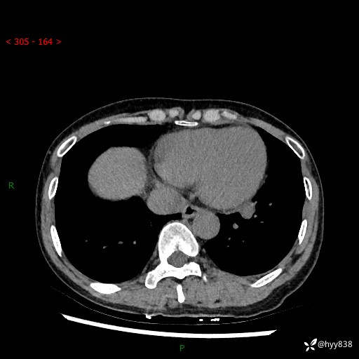
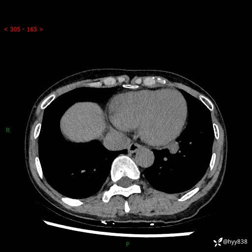
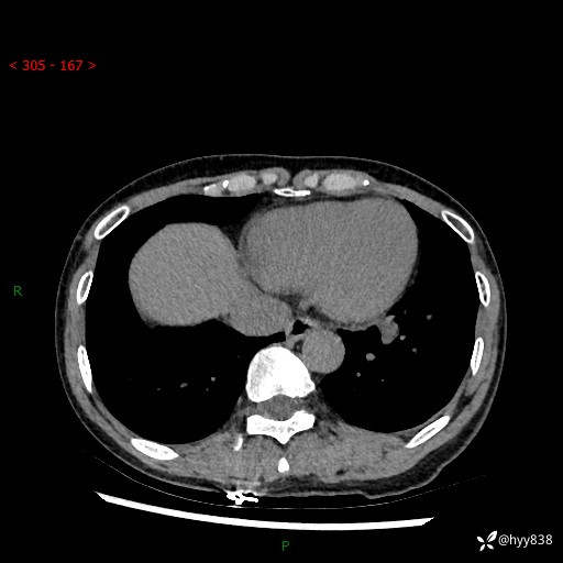
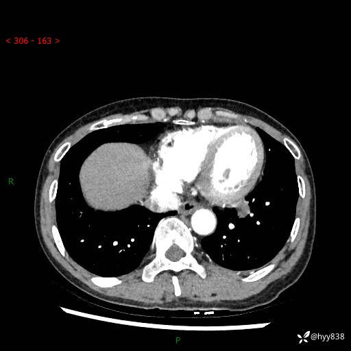
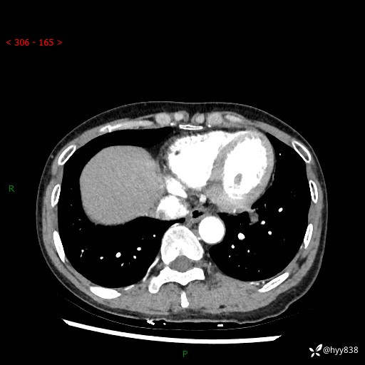
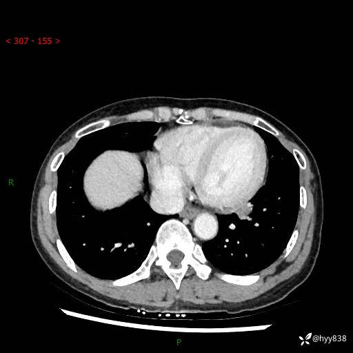
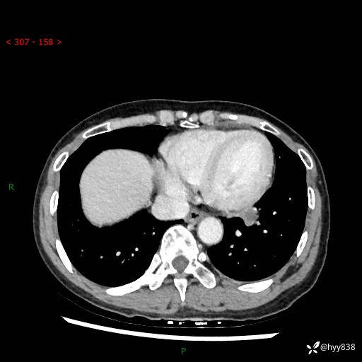
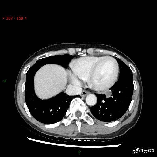
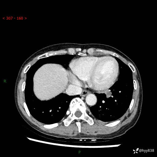
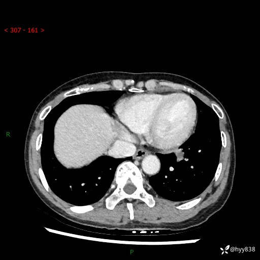
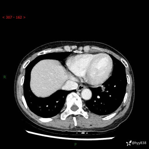
【检查】:胸部CT平扫+增强























各期CT值:40hu 57hu 49hu
【临床诊断】:
【治疗经过及结果】:















































