54岁/女,发现肺占位1天。观其形态和强化,术前我信心十足,术后我---结果公布~
胡志勇HZY 等 2 位达人已点赞病例信息
【患者信息】:54岁/女
【主诉】:发现肺占位1天
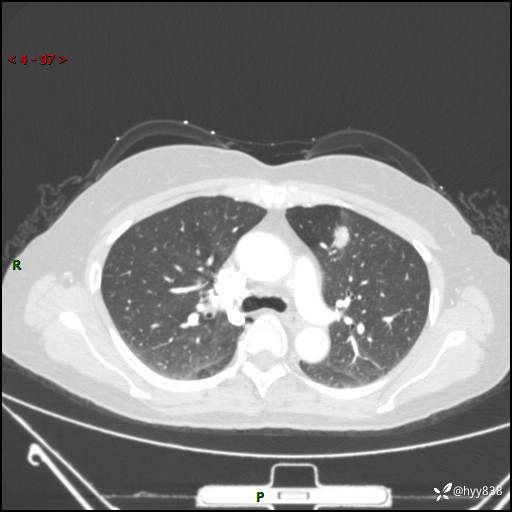
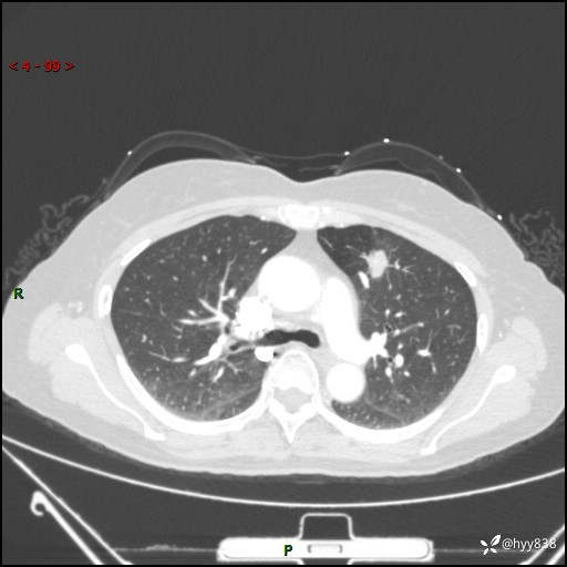
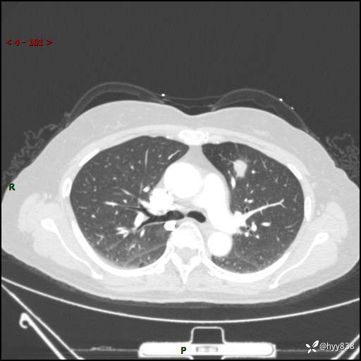
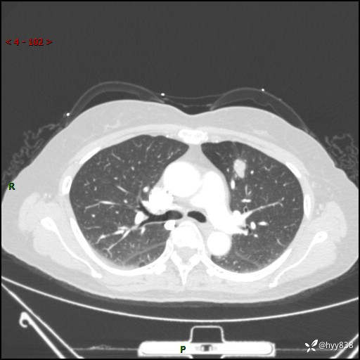
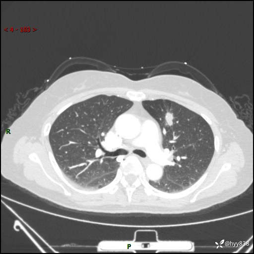
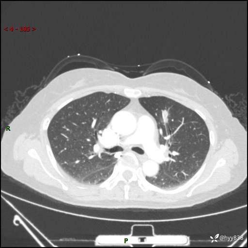
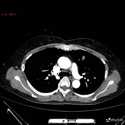
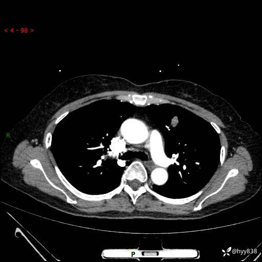
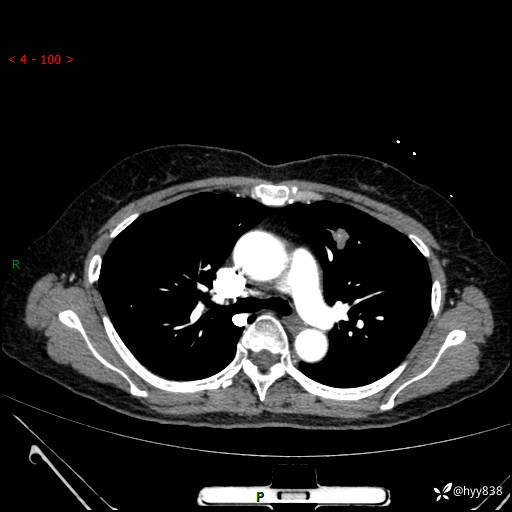
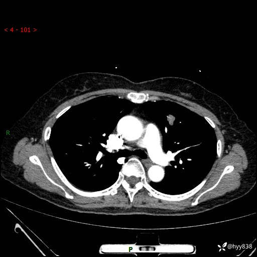
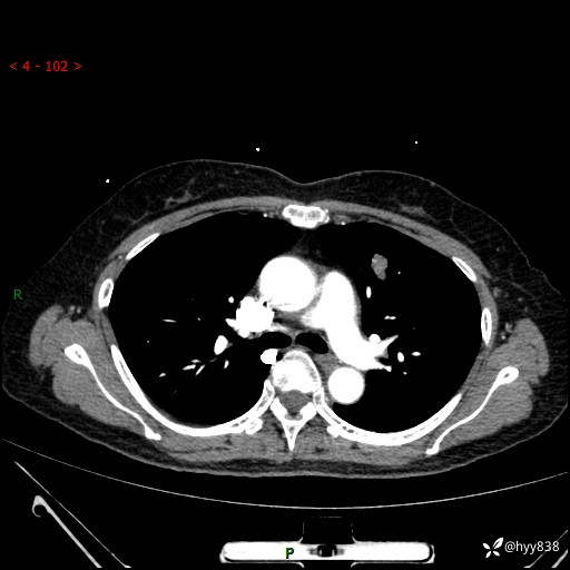
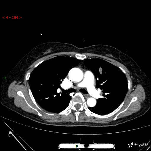
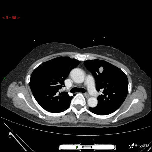
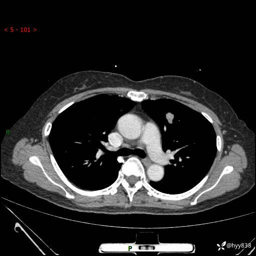
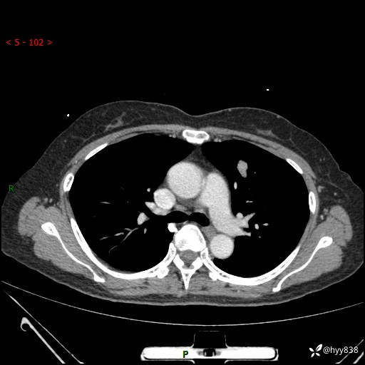
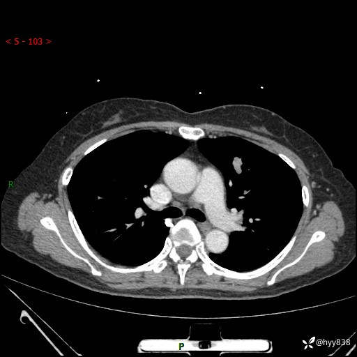
【现病史及既往史】:患者2023.10.23体检发现肺占位:,2023.10.23当地区中心卫生院胸腹部CT:1.左肺上叶结节,考虑为占位可能;2.肝脏小囊肿灶;3.子宫左侧附件区畸胎瘤;无咳嗽咳痰,无恶心呕吐,无发热,无胸闷胸痛等不适;现患者为求进一步诊治来我院,门诊以“肺占位”收入我科。 患者自起病以来,精神饮食睡眠一般,大小便正常,体力体重无明显下降。
【检查】:胸部CT增强(外院平扫)

























【临床诊断】:
【治疗经过及结果】:















































