晨读少见病例分享。术前诊断有难度,回顾分析还是蛮符合滴---结果公布~
患者性别:女
患者年龄:64岁
主诉:间断咳嗽咳痰1月余,加重5天
简要病史:患者1月余前无明显诱因出现咳嗽咳痰,痰液以黄色脓痰为主,无发热、头痛头晕、胸闷气喘、腹胀腹泻等不适,于当地卫生院行输液治疗1周后症状缓解,5天前再发咳嗽咳痰,于当地卫生院输液2天,症状稍缓解,3天前突发头晕、呕吐,遂于2023-11-08在当地第五人民医院就诊,行胸部CT提示右下肺占位性病变。患者现为求进一步诊治来我院就诊,门诊以“肺肿物”收住我科。 患者自起病来精神、食欲、睡眠尚可,大小便正常,体力、体重无明显变化。
体格检查:(-)
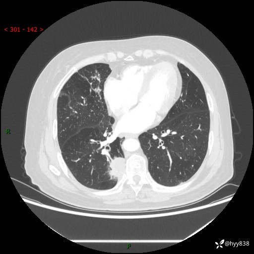
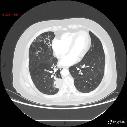
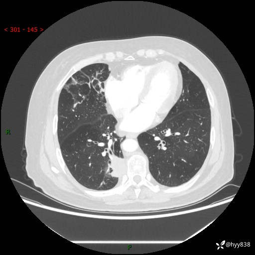
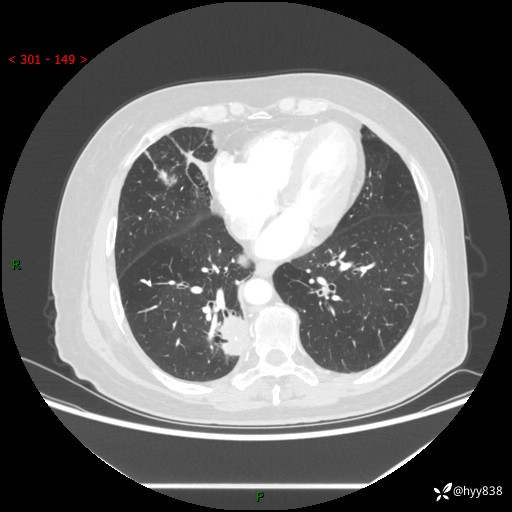
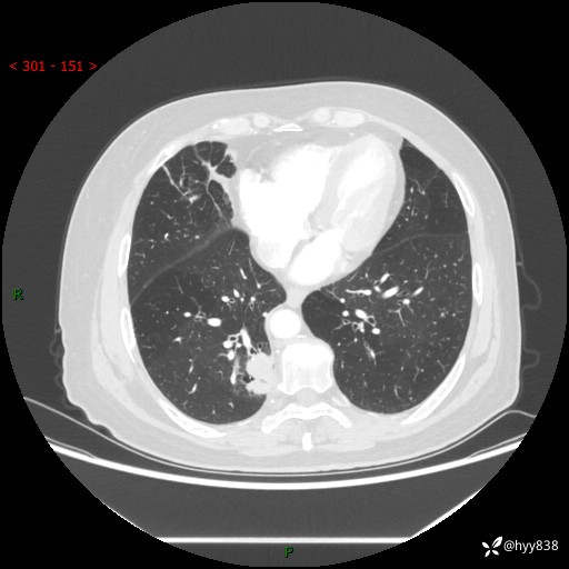
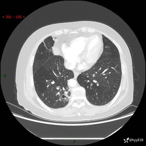
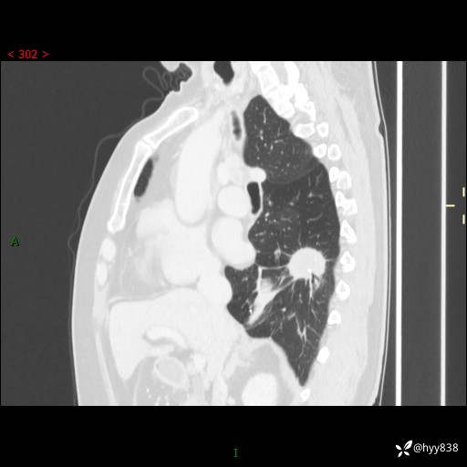
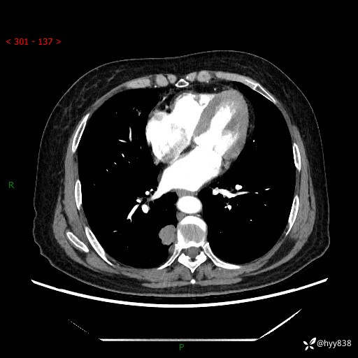
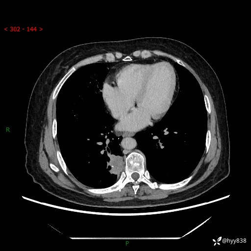
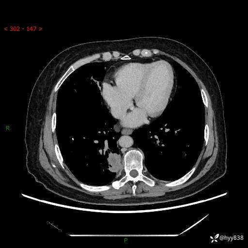
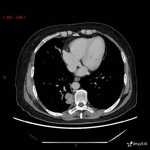
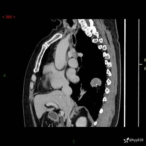
辅助检查:CT
临床诊断:肺肿物
治疗经过:---
讨论:病变性质?
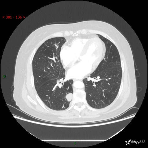
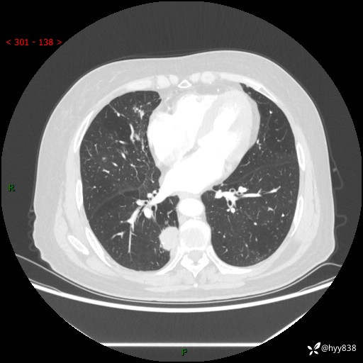
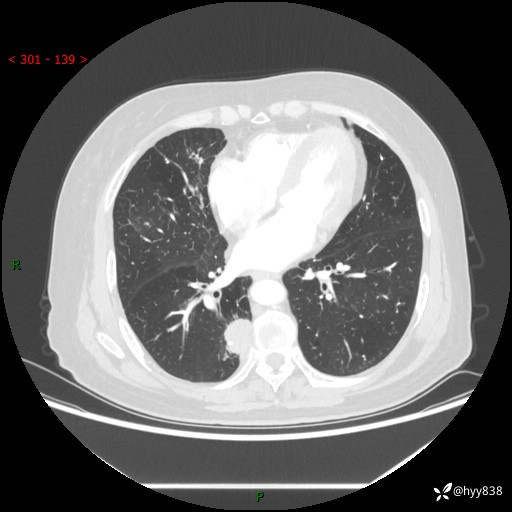
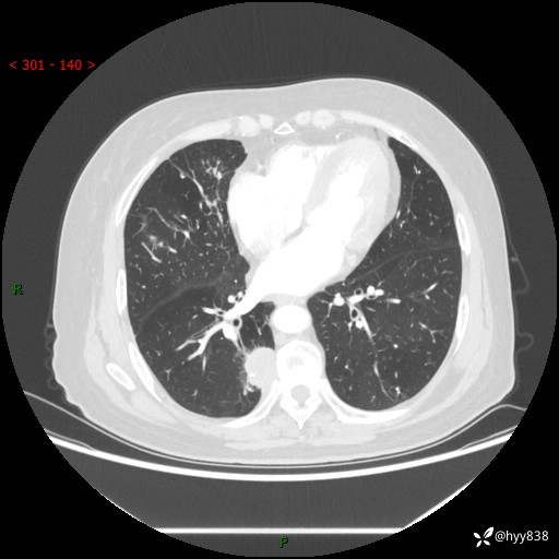
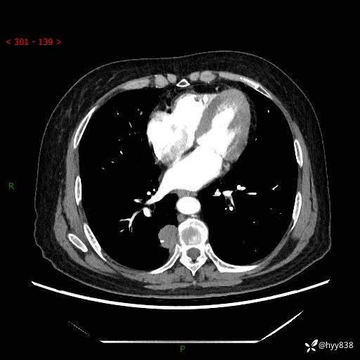
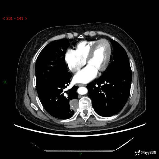
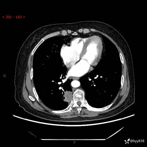
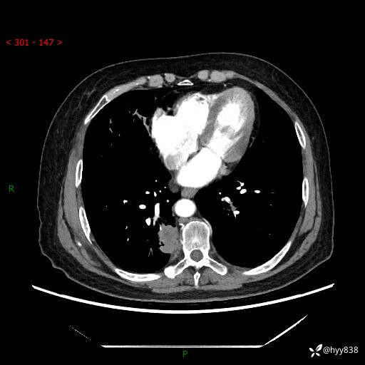
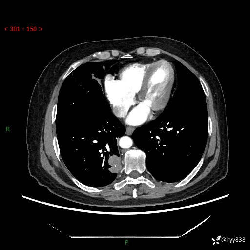
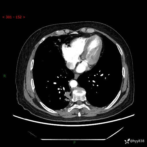
胸部CT肺窗(平扫外院)












增强动脉期+静脉期













两期CT值:55Hu 53hu















































