dxy logo
首页丁香园病例库全部版块
搜索
登录

一波三折,术前确诊,术后肝脏广泛爆发,原因在何?让我们一探究竟!欢迎留言分析~~~

影像核医学版版主 · 发布于 2023-08-06 · 来自 Android · IP 山东山东
1860 浏览
推荐、达人点赞 2 项荣誉
这个帖子发布于 2 年零 110 天前,其中的信息可能已发生改变或有所发展。

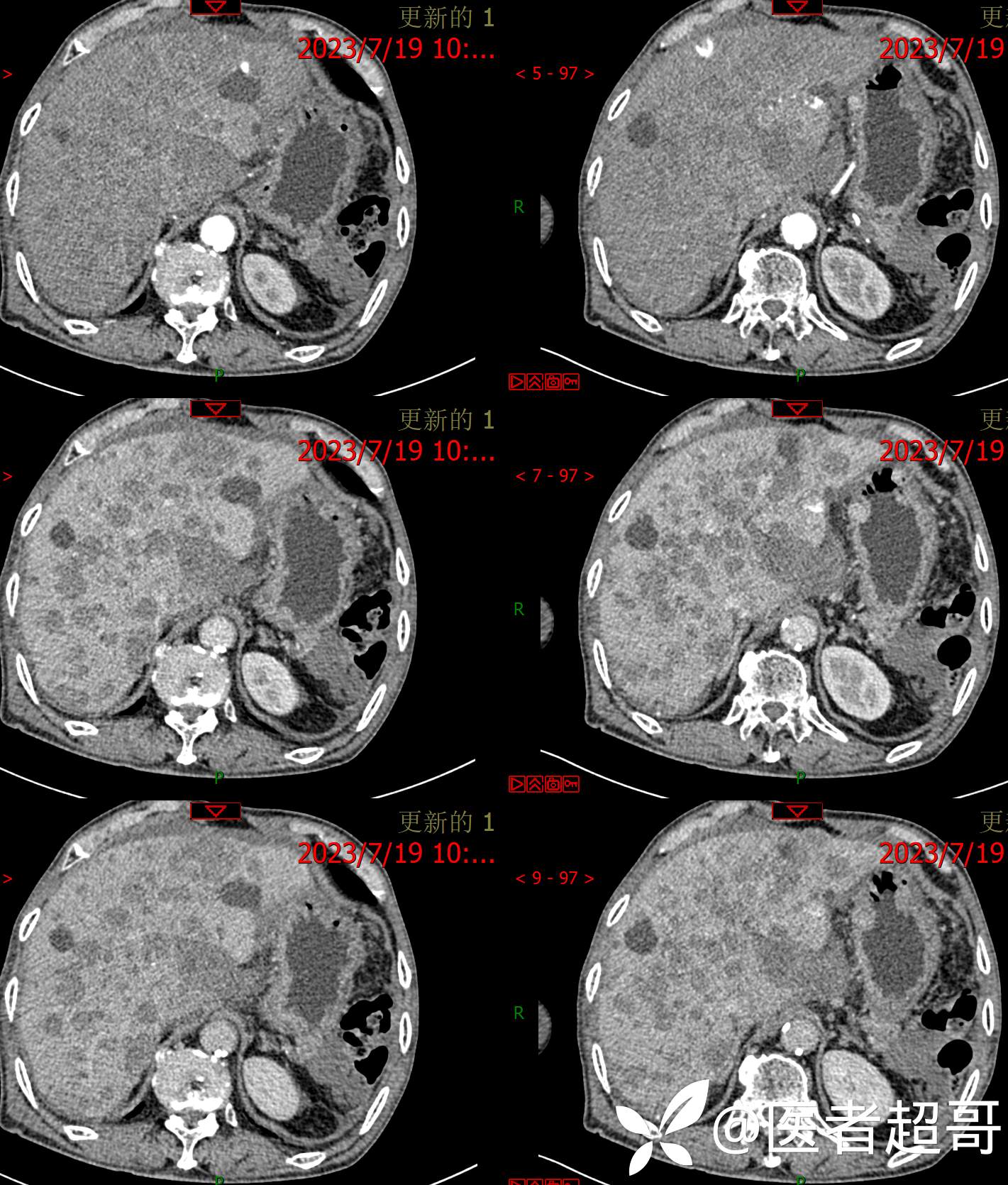
患者性别:男

患者年龄:76岁

主诉:左侧胸部疼痛不适5天就诊

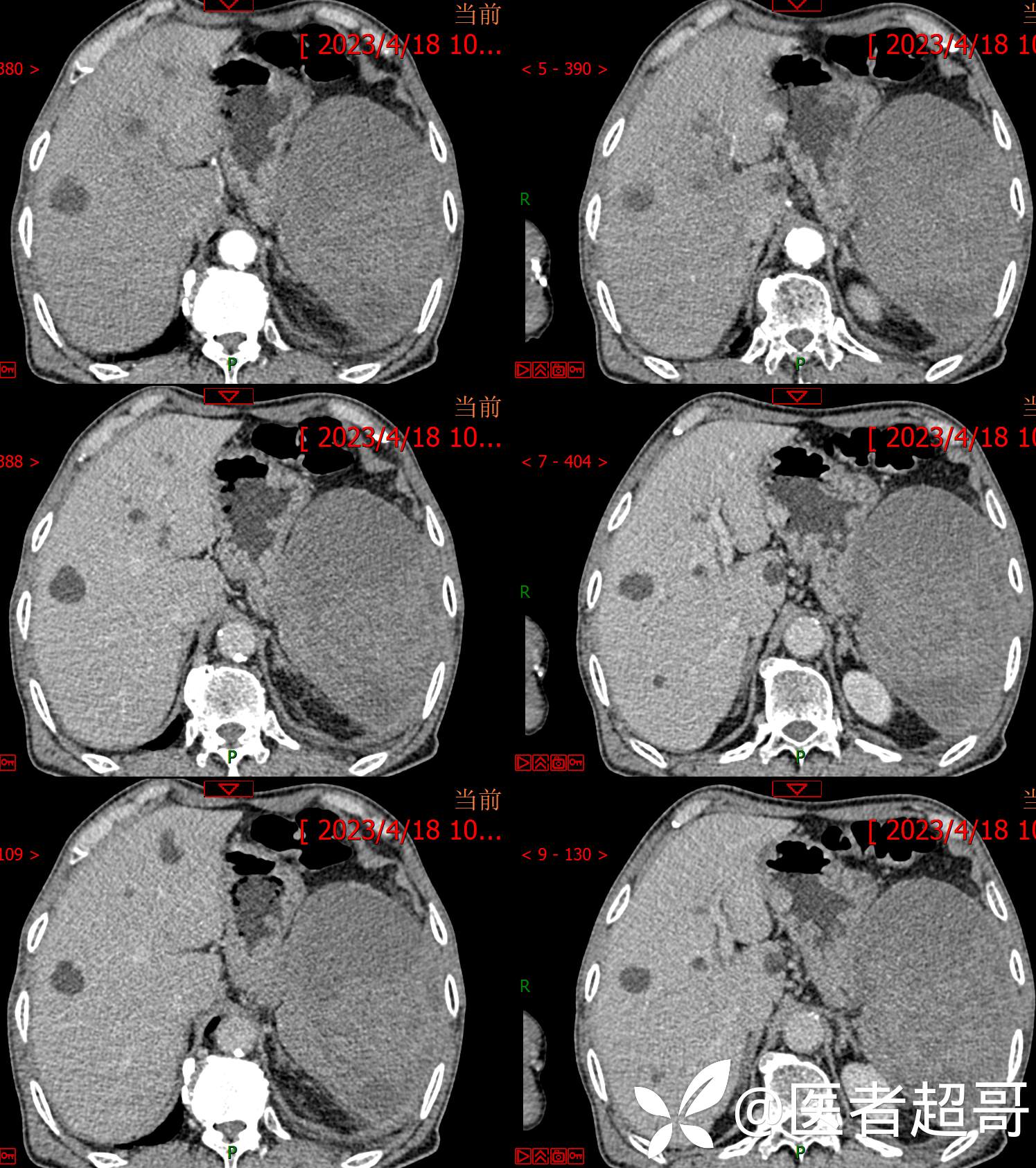
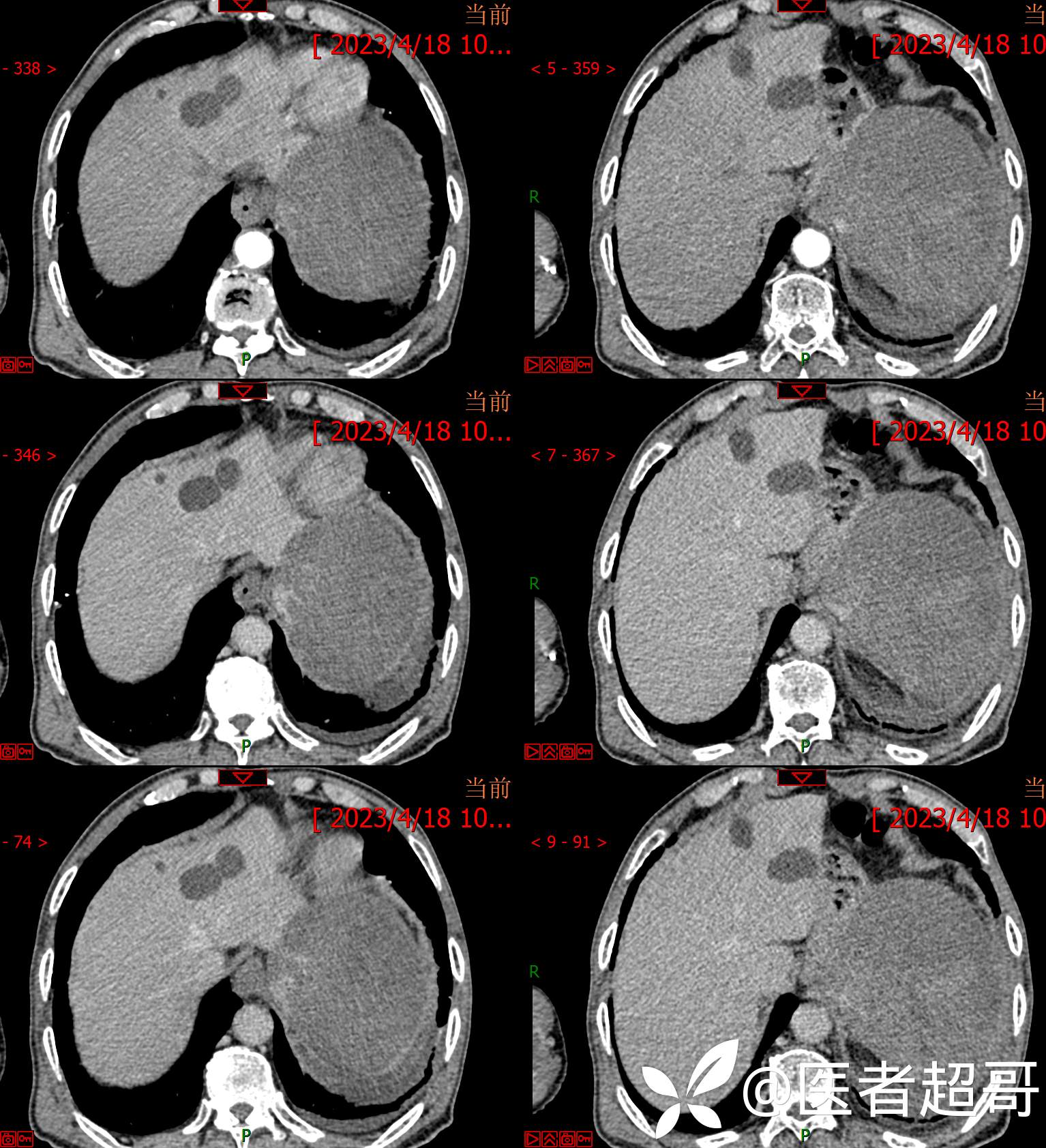
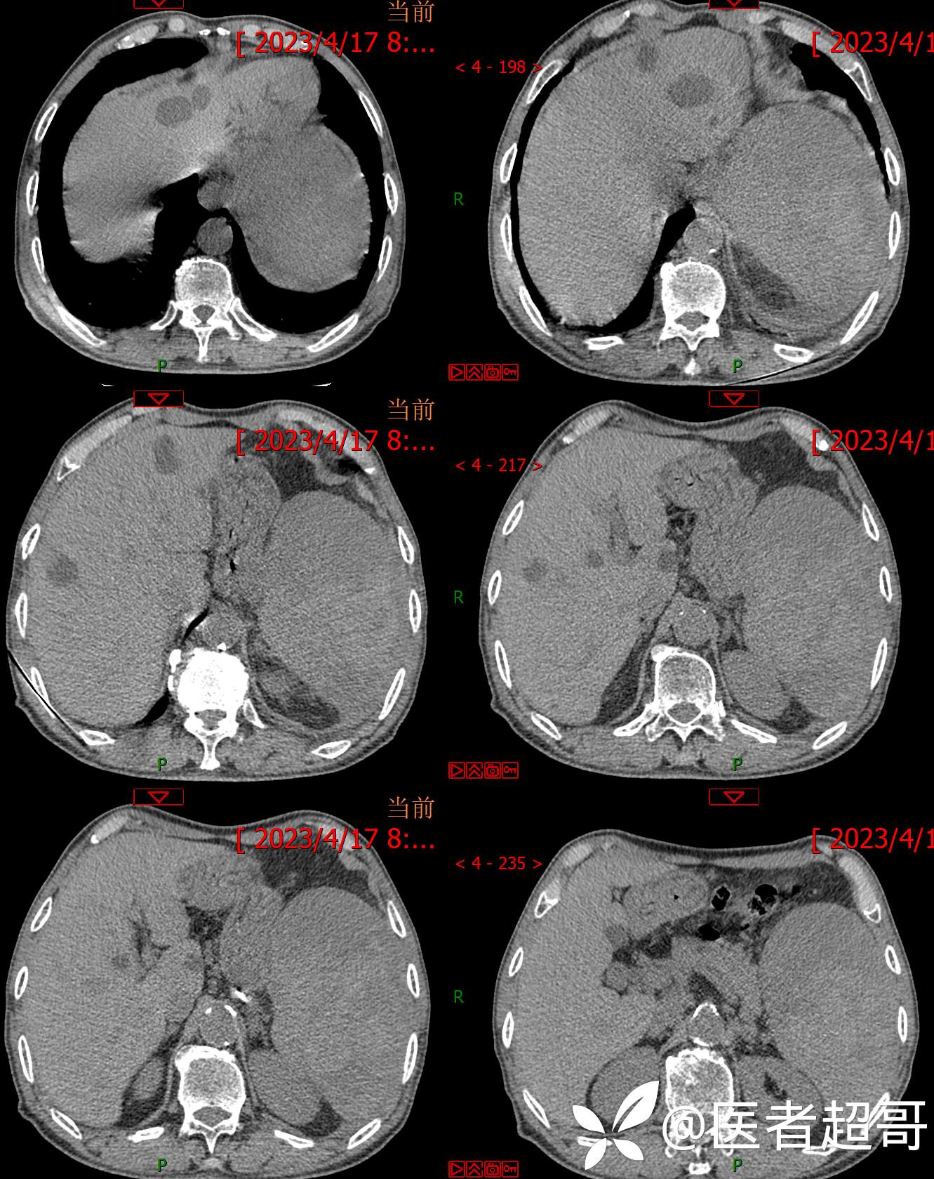
简要病史:左侧胸部疼痛不适5天就诊,临床初步诊断“肋软骨炎”。

img


img


img


img


img


img


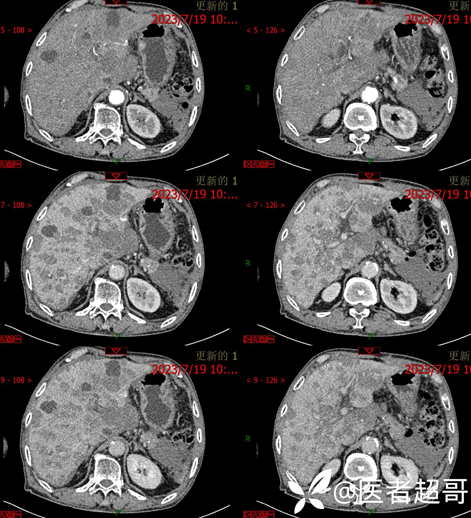
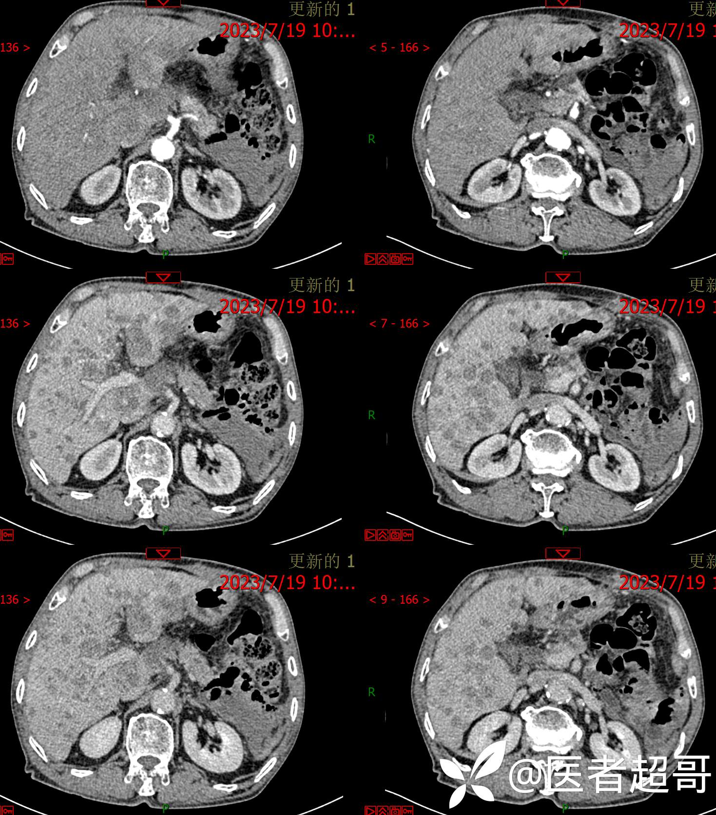
术后三个月复查CT、MRI表现:

img


img


img


img


img


img


img


两次穿刺显示阴性。

previewplay video


previewplay video


previewplay video
转移性肝癌 (39)
纠错
38 7 13
同行评议(0)
已评议
不开通精选
开通精选
精选已授权,待上线
评议结果暂未公布
参与评议
去邀请
NaN
病例完整NaN
临床实用NaN
诊疗科学NaN
学术价值NaN

全部讨论(0)

默认最新
avatar
38
分享帖子
share-weibo分享到微博
share-weibo分享到微信
认证
返回顶部