dxy logo
首页丁香园病例库全部版块
搜索
登录

腹大能容5000液;术后腹部好轻松。妙手回春有结果。公布结果。

影像核医学版达人 · 最后编辑于 2023-11-07 · IP 安徽安徽
1.9 万 浏览
icon胡志勇HZY 达人已点赞
这个帖子发布于 1 年零 337 天前,其中的信息可能已发生改变或有所发展。

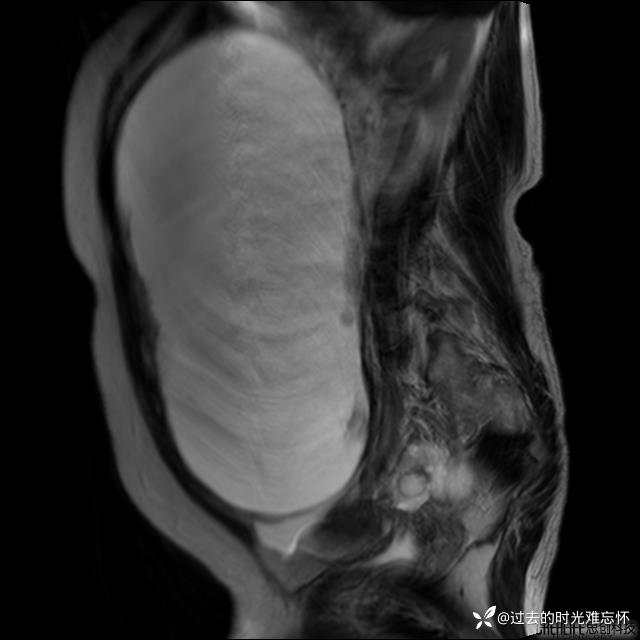
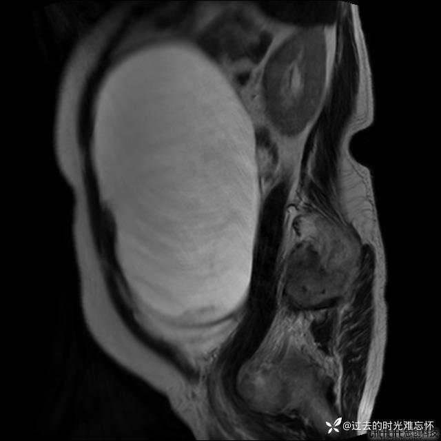
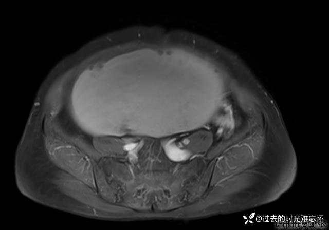
患者性别:女

患者年龄:65岁

主诉: 发现腹部隆起半年余。无其他明显不适。

img

仅专业人士可见

img

仅专业人士可见

img
img
img
img
img
img
img
img
img
img
img
img
img
img
img
img
img
img
img
img
img
img
img
img
img
img
img
img
img
img
img
img
img
img
img

预扫

img
img

增强

img
img
img
img
img
img
img
img
img
img
img
img
img
img
img
img
img
img
img
img
浆液性囊腺瘤 (22)
纠错
61 5 15
同行评议(0)
已评议
不开通精选
开通精选
精选已授权,待上线
评议结果暂未公布
参与评议
去邀请
NaN
病例完整NaN
临床实用NaN
诊疗科学NaN
学术价值NaN

全部讨论(0)

默认最新
avatar
61
分享帖子
share-weibo分享到微博
share-weibo分享到微信
认证
返回顶部