【腹部】典型病例,发现肝占位20天余。
呱呱叫了 等 2 位达人已点赞病例信息
患者男,50岁。
主诉:发现肝占位性病变20余天。
病史:2023-10-18于某体检中心发现肝占位性病变,现要求进一步检查。现检查发现乙肝肝硬化,**(这是答案)建议住院进一步治疗。体格检查:神志清楚,皮肤巩膜未见明显黄染,未见肝掌及蜘蛛痣。
门诊完善上腹部CT平扫+增强。
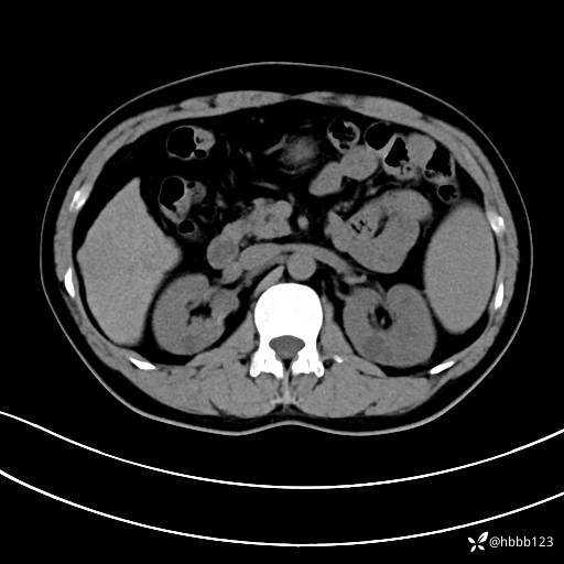
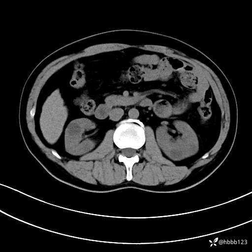
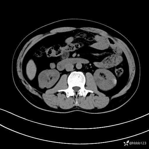
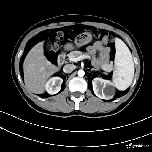
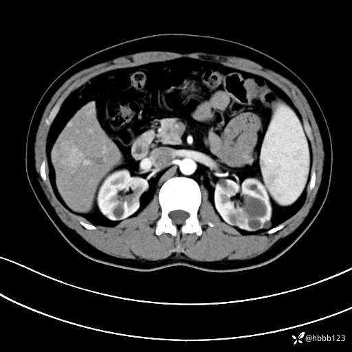
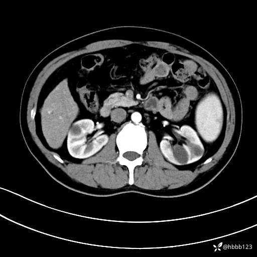
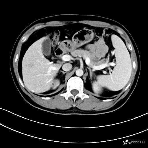
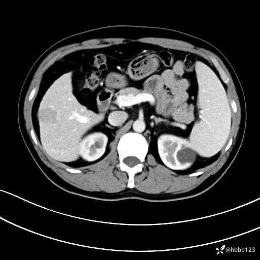
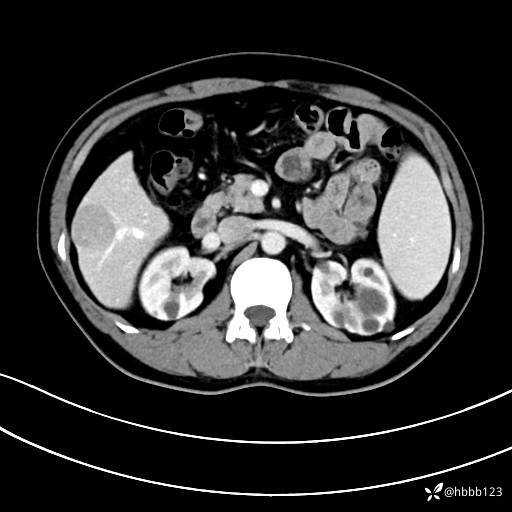
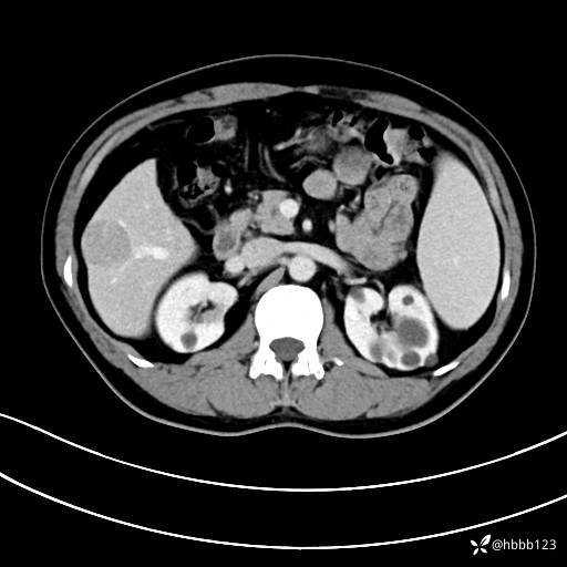
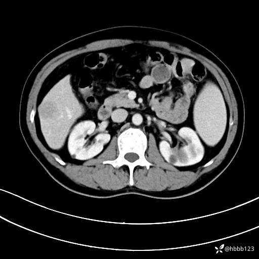
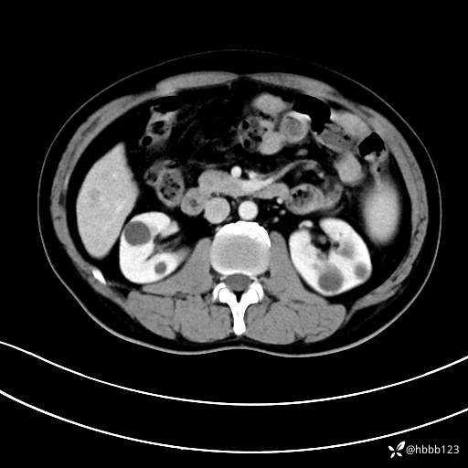
平扫:




动脉期:




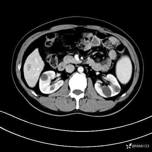
静脉期:






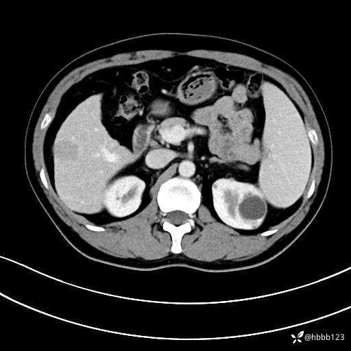
延迟期:




典型的”****“特征!你能秒杀吗?
呱呱叫了 等 2 位达人已点赞病例信息
患者男,50岁。
主诉:发现肝占位性病变20余天。
病史:2023-10-18于某体检中心发现肝占位性病变,现要求进一步检查。现检查发现乙肝肝硬化,**(这是答案)建议住院进一步治疗。体格检查:神志清楚,皮肤巩膜未见明显黄染,未见肝掌及蜘蛛痣。
门诊完善上腹部CT平扫+增强。
平扫:




动脉期:




静脉期:






延迟期:




典型的”****“特征!你能秒杀吗?
