腹部结核|影像图例
结核性腹膜炎
TUBERCULOUS PERITONITIS

结核性腹膜炎。大网膜增厚,腹水,肠袢外移

结核性腹膜炎。小肠轻度扩张并肠环间距增加

结核性腹膜炎。大网膜增厚,腹水

结核性腹膜炎累及肠系膜,肠管固定,粘膜增厚。
结核性淋巴结炎
TUBERCULAR LYMPHADENITIS


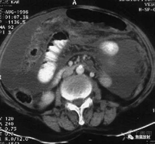
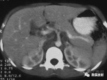
肝门区及腹膜后多发肿大淋巴结,部分融合,密度较低,环形强化。


中腹部小肠袢移位,MR冠状T1WI及T2WI可见肠系膜区多发增大淋巴结,其中心呈相对较低及较高信号。


吞钡可见食管狭窄伴溃疡和食管周围漏,CT显示食管壁环形厚伴食管周围漏,纵隔增大淋巴结。
胃结核
GASTRIC TUBERCULOSIS

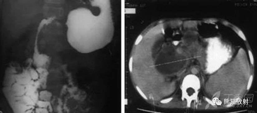
胃流出道梗阻,胃窦幽门狭窄,伴十二指肠狭窄,部分空肠袢轻度扩张。
十二指肠结核
DUODENAL TUBERCULOSIS

十二指肠结核。肠腔狭窄与扩张并存,CT显示胰周肿大淋巴结。
结核性肠炎
TUBERCULOSIS ENTERITIS

小肠钡剂通过迅速,部分小肠形态固定。

早期肠结核可见粘膜不规则和毛刺样改变。

多发性小肠狭窄伴部分扩张

小肠狭窄与扩张并存,形态固定,小肠粘膜增厚。
回盲部结核
ILEOCAECAL TUBERCULOSIS

Fleischner征:回盲瓣增厚伴回肠末端狭窄;CT示回肠末端狭窄伴瓣膜区增厚。
回盲部的早期受累是明显的痉挛和运动亢进伴瓣膜水肿。回盲瓣唇增厚和/或张开瓣膜,末端回肠 ( Fleischner或“倒置伞”征) 被认为是结核的特点。

回盲部肠腔持续性狭窄

盲肠短缩伴末端回肠悬吊

回盲部环形缩窄

CT显示回肠末端和盲肠壁增厚伴肠石,周围间隙混浊

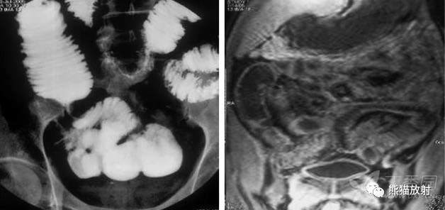
肠灌肠 (A) MRI肠灌肠 (B) 显示回肠局部狭窄,近侧肠腔扩张,局部肠壁增厚(>3mm为异常),明显强化。

盲肠壁增厚伴周围炎性改变
结肠结核
COLONIC TUBERCULOSIS

横结肠中段结核并肠腔缩窄
肛门直肠结核
ANORECTAL TUBERCULOSIS

肛周多发小通道,即瘘管形成
内脏结核
VISCERAL TUBERCULOSIS

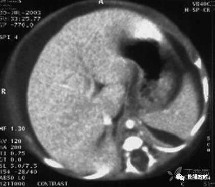
肝和脾实质内弥漫性针尖状低密度灶伴腹膜炎、腹水

肝内多发低密度小结节

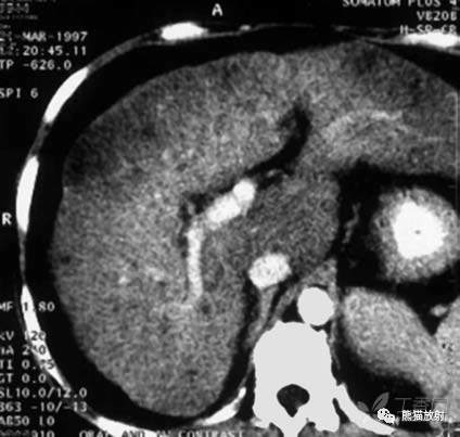
胰腺头、体部近段多发低密度小结节,胰头点状钙化
注:本文内容为转载,如侵权,请联系删除。
















































