2023国庆特别精彩病例(四)|发现肺占位1月余,恶性可定,但病理类型挑战呢?
呱呱叫了 等 4 位达人已点赞患者性别:男
患者年龄:56岁
主诉:发现肺占位1月余
现病史:患者1月前因咳嗽在外院行胸部CT检查提示右肺上叶占位,为求进一步治疗入院。病程中患者无畏寒发热,无心悸胸闷呼吸困难,无胸背部痛,无声嘶呛咳
辅助检查:肿瘤标志物(-)
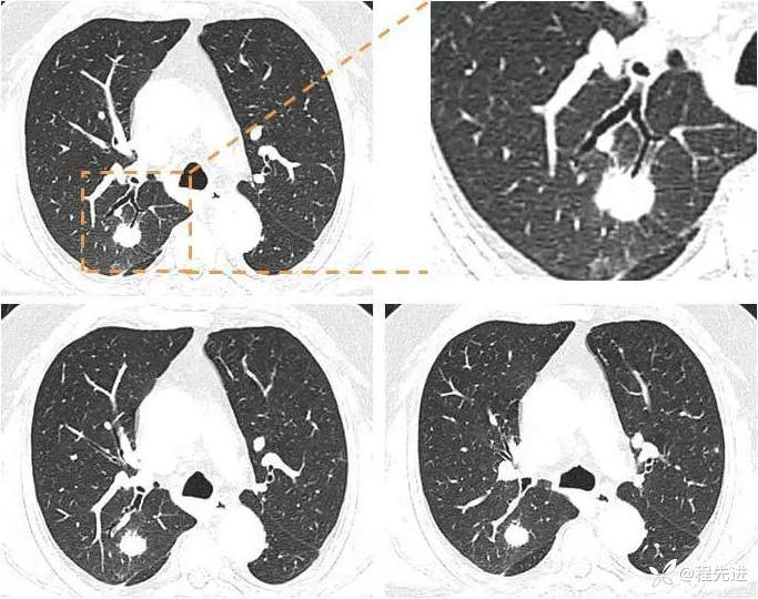
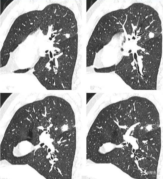
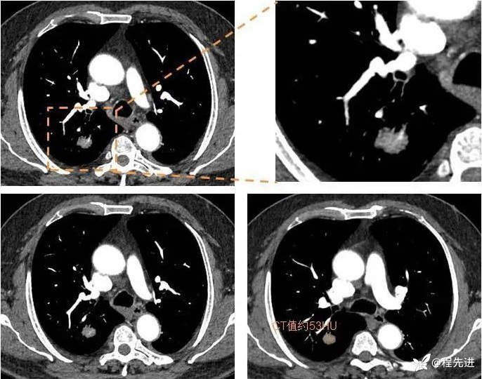
直接CT增强,没有平扫
肺窗



动脉期

静脉期

来个特写

呱呱叫了 等 4 位达人已点赞患者性别:男
患者年龄:56岁
主诉:发现肺占位1月余
现病史:患者1月前因咳嗽在外院行胸部CT检查提示右肺上叶占位,为求进一步治疗入院。病程中患者无畏寒发热,无心悸胸闷呼吸困难,无胸背部痛,无声嘶呛咳
辅助检查:肿瘤标志物(-)
直接CT增强,没有平扫
肺窗



动脉期

静脉期

来个特写

