2023国庆特别精彩病例(三)|体检发现肺结节2周,没有增强,但结合病史再开脑洞可秒
患者性别:女
患者年龄:53岁
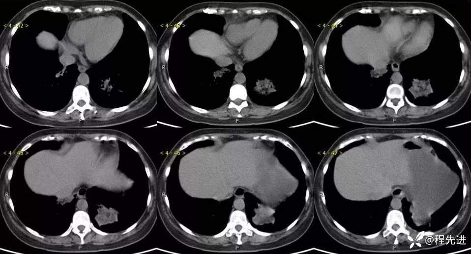
主诉:体检发现肺结节2周
现病史:患者2周前体检时发现两肺多发高密度影。无咳嗽、咳痰,无咯血、呼吸困难,无胸闷、胸痛,无发热、潮热盗汗。
既往史:否认“肝炎、结核”等传染病史,曾因“会厌部疤疹”手术治疗
实验室检查:查肿瘤标志物6项:神经元特异性烯醇化酶17.60ng/mL↑,余正常;
肺真菌检查阴性;结核感染T细胞检测阴性



患者性别:女
患者年龄:53岁
主诉:体检发现肺结节2周
现病史:患者2周前体检时发现两肺多发高密度影。无咳嗽、咳痰,无咯血、呼吸困难,无胸闷、胸痛,无发热、潮热盗汗。
既往史:否认“肝炎、结核”等传染病史,曾因“会厌部疤疹”手术治疗
实验室检查:查肿瘤标志物6项:神经元特异性烯醇化酶17.60ng/mL↑,余正常;
肺真菌检查阴性;结核感染T细胞检测阴性



