【心胸】特别精彩病例|体检发现肺结节10余天,NSE增高,期待您精彩解读
胡志勇HZY 等 2 位达人已点赞病例信息
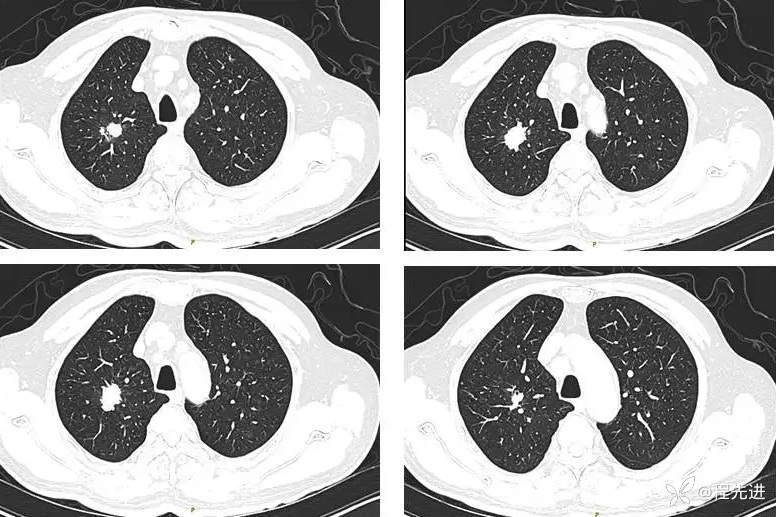
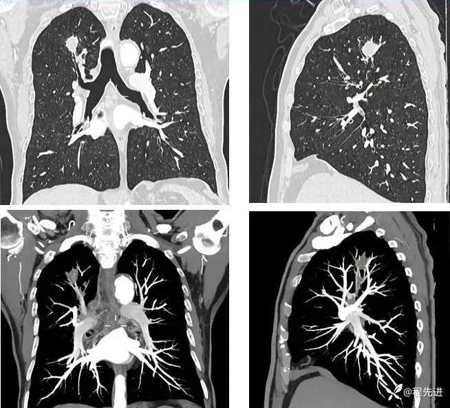
患者性别:男
患者年龄:70岁
简要病史:因“体检发现肺结节10余天”入院,患者平时无明显咳嗽、咳痰,胸闷胸痛咯血、呼吸困难
既往史:吸烟40年,平均每天30支;戒烟10年。高血压、糖尿病。
指脉氧 97% 一般情况可,其他阴性,实验室检查:NSE:20.56 ng/ml↑




期待您的点赞支持!
期待您的精彩解读!
胡志勇HZY 等 2 位达人已点赞病例信息
患者性别:男
患者年龄:70岁
简要病史:因“体检发现肺结节10余天”入院,患者平时无明显咳嗽、咳痰,胸闷胸痛咯血、呼吸困难
既往史:吸烟40年,平均每天30支;戒烟10年。高血压、糖尿病。
指脉氧 97% 一般情况可,其他阴性,实验室检查:NSE:20.56 ng/ml↑




期待您的点赞支持!
期待您的精彩解读!
