【心胸】特别精彩病例|检查发现肺占位病变10月余,左肺下叶占位良性?恶性?
呱呱叫了 等 3 位达人已点赞患者性别:男
患者年龄:50岁
主诉:检查发现肺占位病变10月余
简要病史:患者于10月前在外院体检发现肺占位病变,不伴咳嗽咳痰、呼吸困难、胸闷、气短、咯血、胸痛、下肢水肿、发热等不适,未明显影响日常生活工作,未做特殊处理。患者自发病以来精神、食欲、睡眠好,大小便无异常,体重未见明显改变
体格检查:无特殊
辅助检查:无特殊
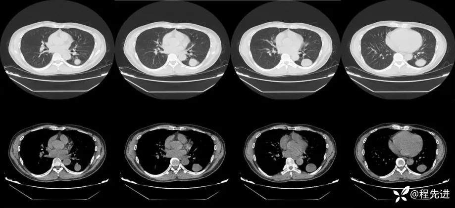
CT平扫:

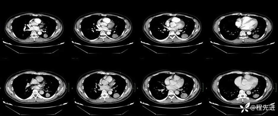
CT增强,上排动脉期,下排静脉期:

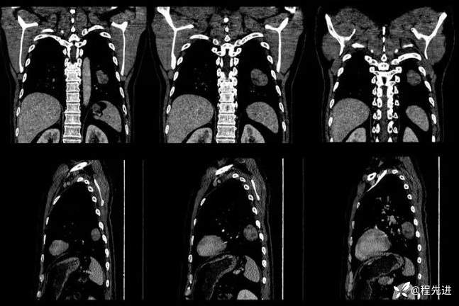
冠、矢状位重建:

期待您的精彩解读!















































