2023国庆特别精彩病例(一)|阵发性刺激性咳嗽,咳少量白色粘液痰1周|结果已公布
呱呱叫了 等 2 位达人已点赞患者性别:男
患者年龄:34岁
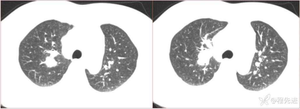
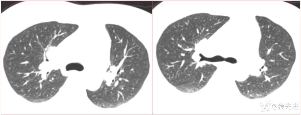
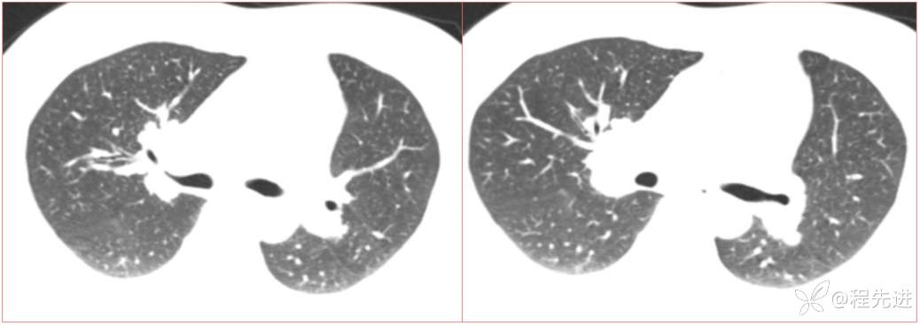
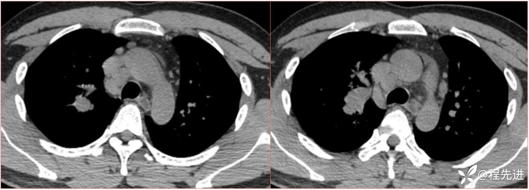
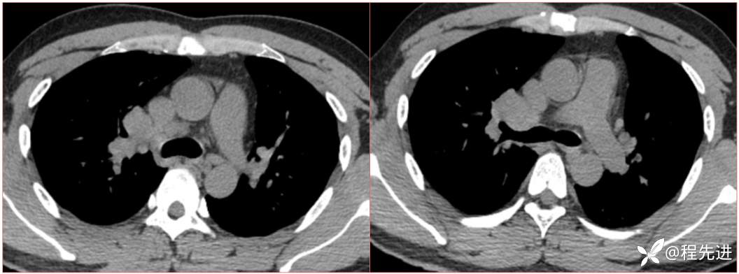
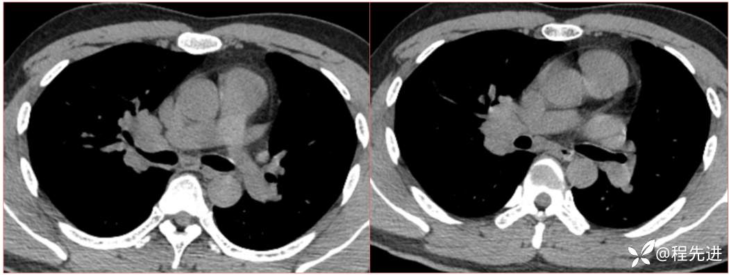
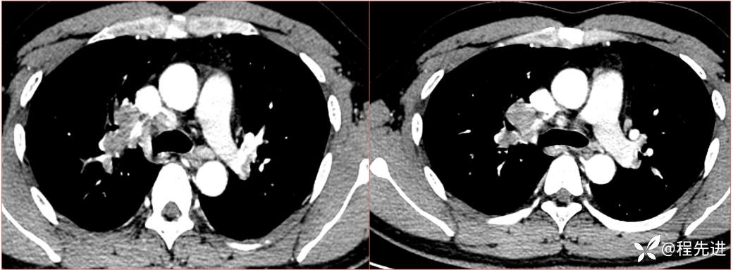
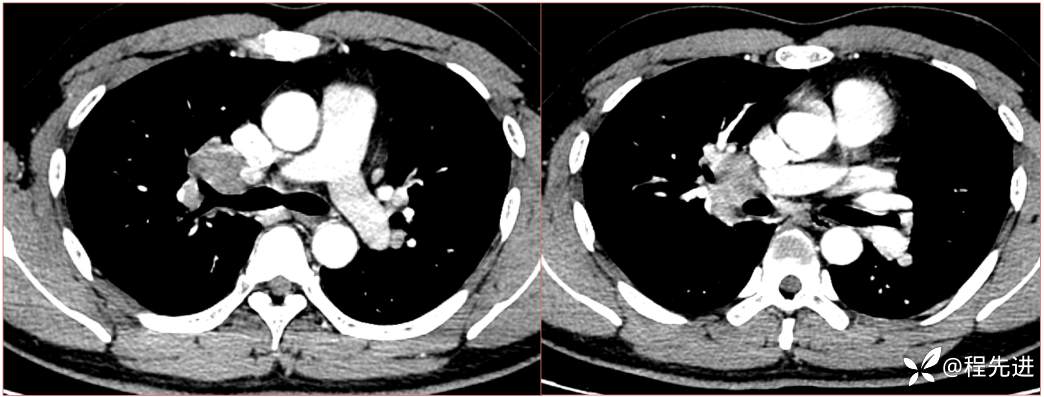
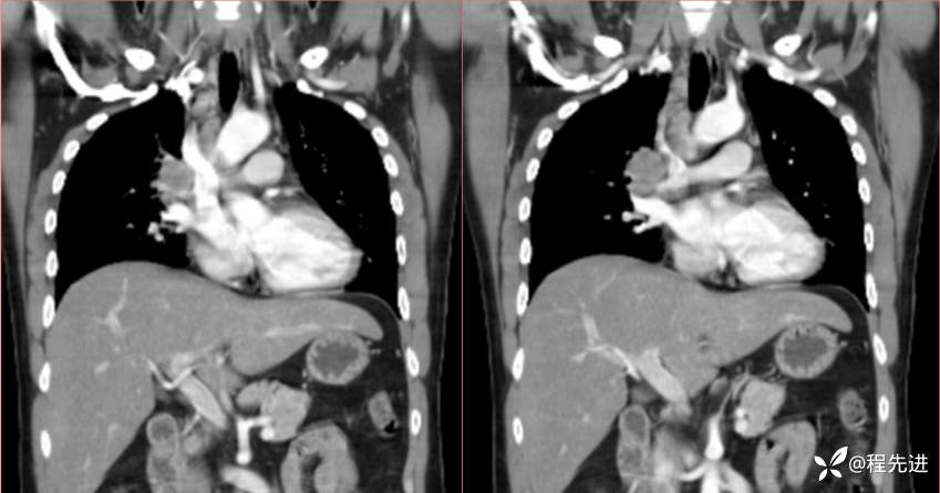
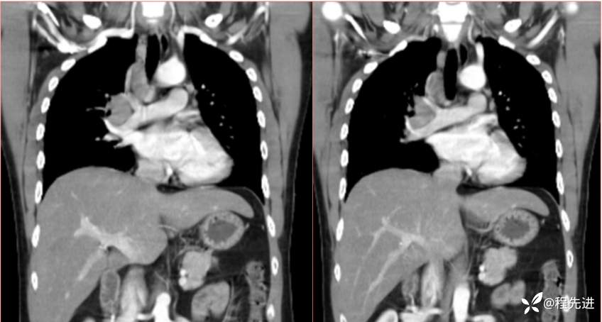
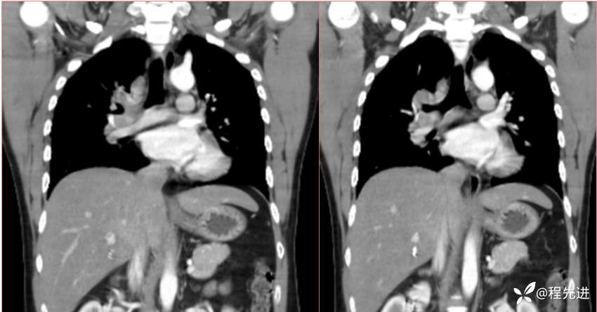
简要病史:患者一周前无明显诱因出现阵发性刺激性咳嗽,咳少量白色粘液痰,咳嗽无明显昼夜节律性,无发热、畏冷、寒战,无头痛、胸闷、胸痛,自行服药后 (具体不详) 症状无缓解,3天前外院胸片检查示右上病变
辅助检查:肺肿瘤标志物:神经元特异性烯醇化酶(NSE):35.72ng/ml(参考值0-16.3);非小细胞肺癌相关抗原211、胚抗原糖类抗原125、铁蛋白、鳞状细胞癌抗原未见异常



























































