2023国庆特别精彩病例(二)|发现右下肺占位20余天,重点讨论C3-T10椎体|结果已公布
呱呱叫了 等 3 位达人已点赞患者性别:男
患者年龄:63岁
主诉:发现右下肺占位20余天
现病史:患者20余天前因胃肠炎外院就诊查胸片时发现右下肺野类圆形高密度影,进一步查胸部CT示:右下肺占位性病变。患者为求手术治疗收住我院。病程中患者少许咳嗽,少量咳痰,痰白色,无血丝,稍胸闷,后背部稍有不适,无胸痛、返酸、暖气,无发热、头痛、头昏、腹胀、肌肉酸痛等不适,精神及食纳尚可,二便正常,近期体重减轻3kg
既往史:既往体健,否认“高血压、冠心病、糖尿病”、“肝炎、结核伤寒”等病史,否认外伤史及输血史
个人史:否认工业毒物及放射性物质接触史,吸烟20年,一天20支
CT
肺窗

平扫纵隔窗

增强
动脉期

冠状位MPR+MIP

平扫骨窗

增强动脉期骨窗

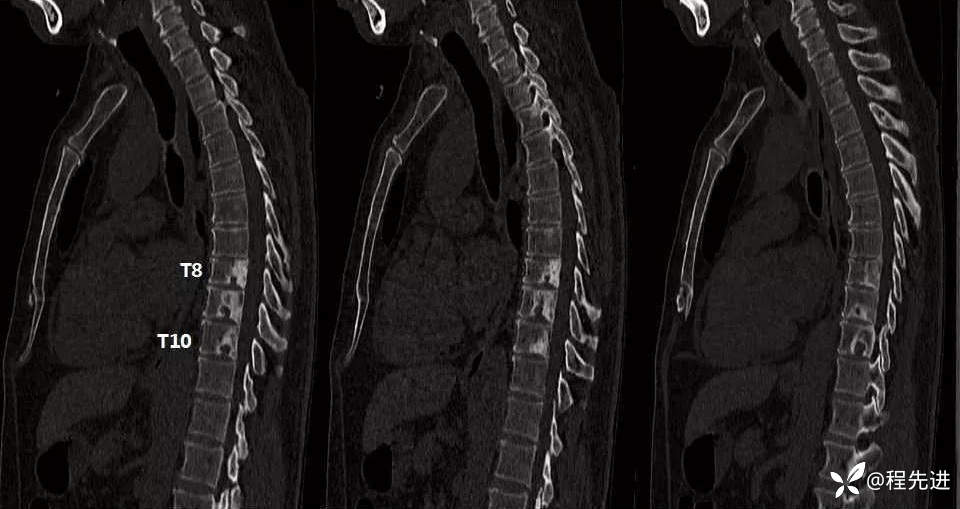
平扫骨窗矢状位

增强动脉期骨窗矢状位(注意与上面平扫对比,并重点讨论!)

提问:
- C7-T3椎体病灶最可能的诊断是?
- T8-T10椎体病灶最可能的诊断是?















































