1月特别精彩病例|阵发性刺激性咳嗽,咳少量白色粘液痰1周,期待你的挑战【结果公布】
呱呱叫了 等 3 位达人已点赞患者性别:男
患者年龄:34岁
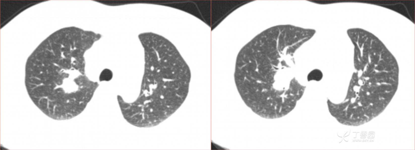
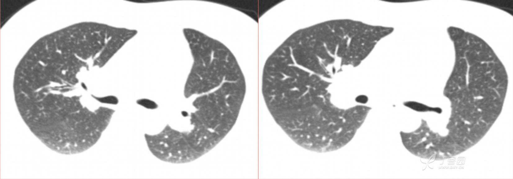
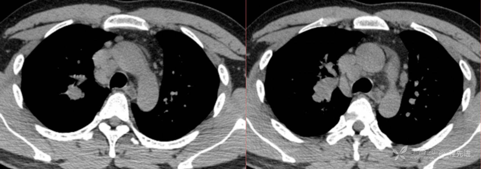
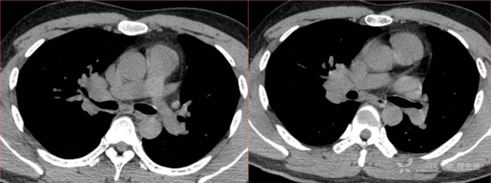
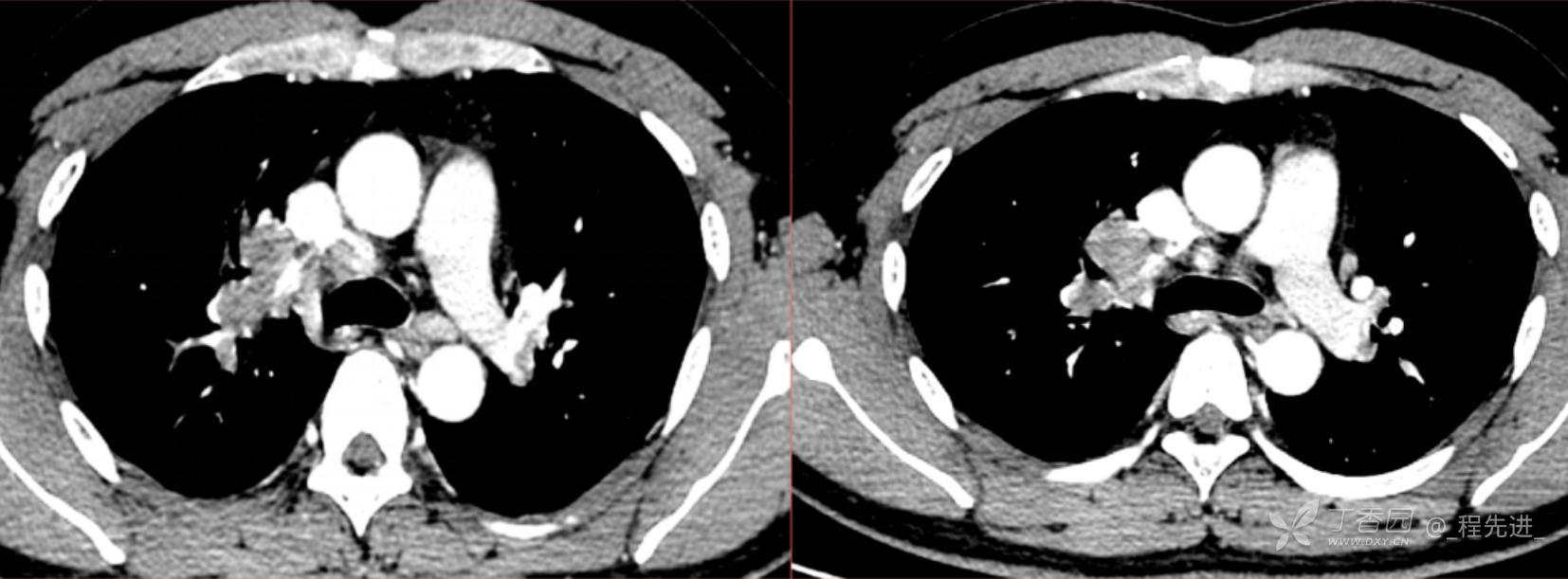
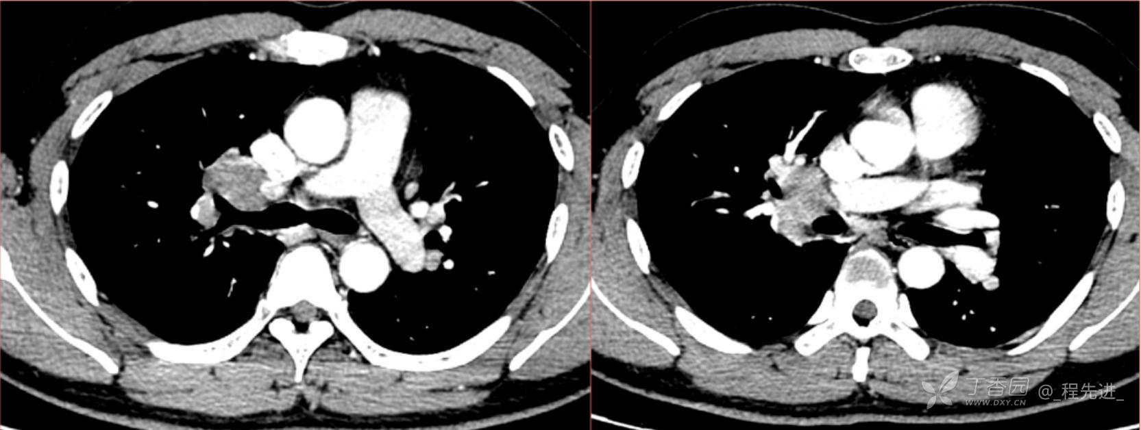
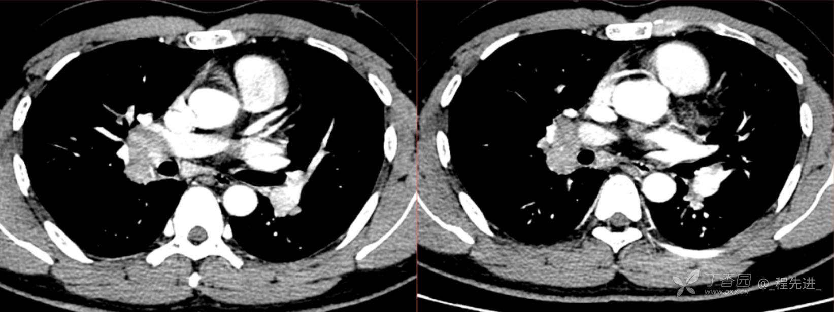
简要病史:患者一周前无明显诱因出现阵发性刺激性咳嗽,咳少量白色粘液痰,咳嗽无明显昼夜节律性,无发热、畏冷、寒战,无头痛、胸闷、胸痛,自行服药后 (具体不详) 症状无缓解,3天前当地医院胸片检查示右上病变
辅助检查:肺肿瘤标志物: 神经元特异性烯醇化酶(NSE): 35.72ng/ml(参考值0-16.3);非小细胞肺癌相关抗原211、癌胚抗原、糖类抗原125、铁蛋白、鳞状细胞癌抗原未见异常
























































