中年男性,体检发现肺占位2天。节段性实变,蜂窝样改变---结果公布~
胡志勇HZY 达人已点赞病例信息
性别:男
年龄:47岁
主诉:体检发现肺占位2天
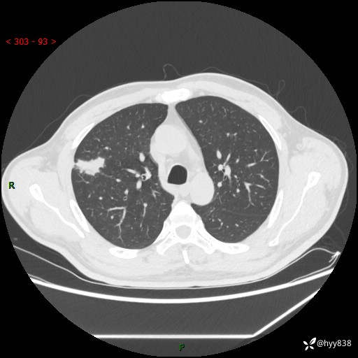
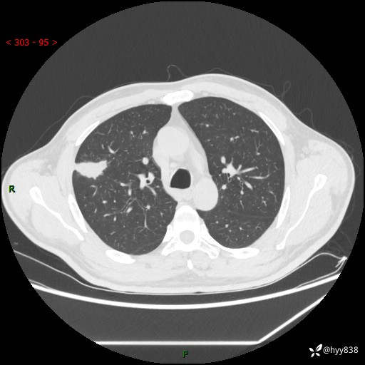
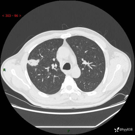
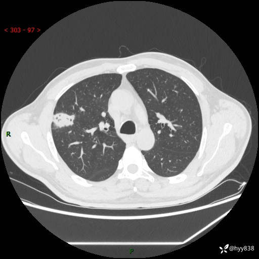
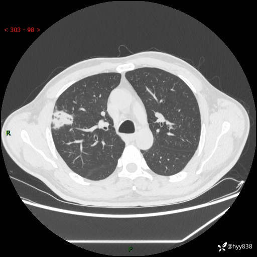
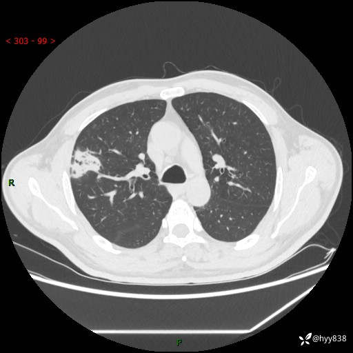
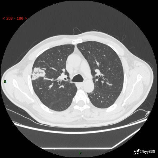
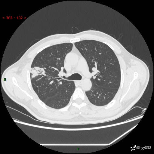
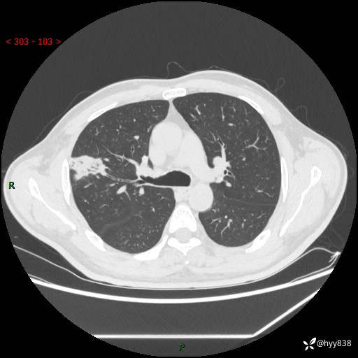
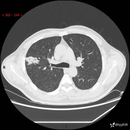
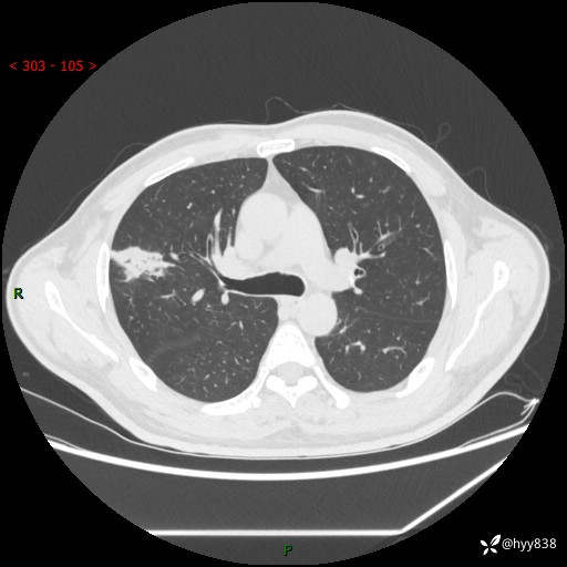
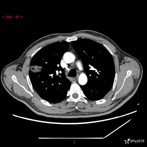
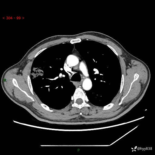
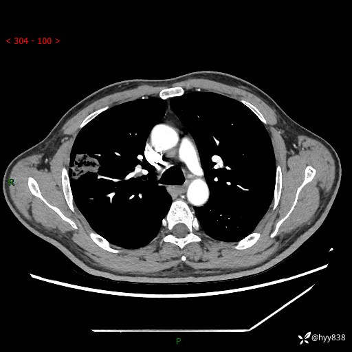
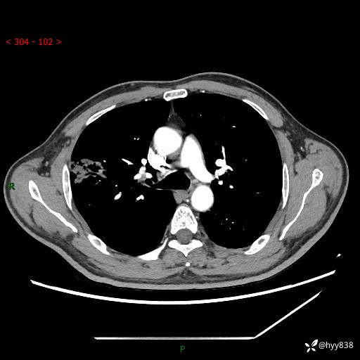
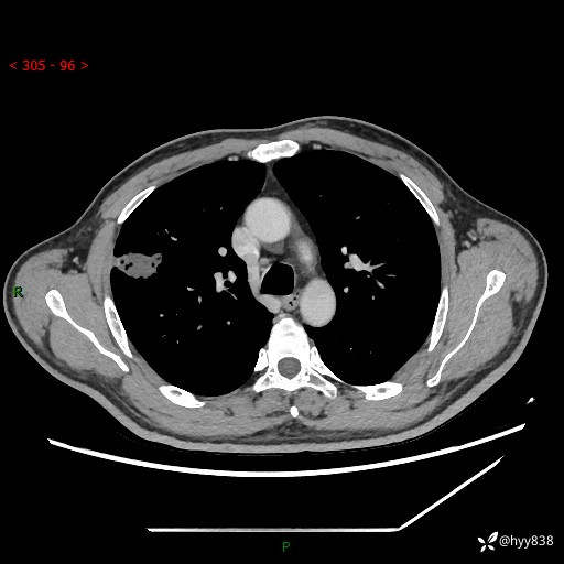
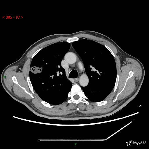
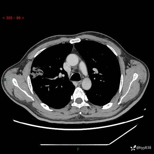
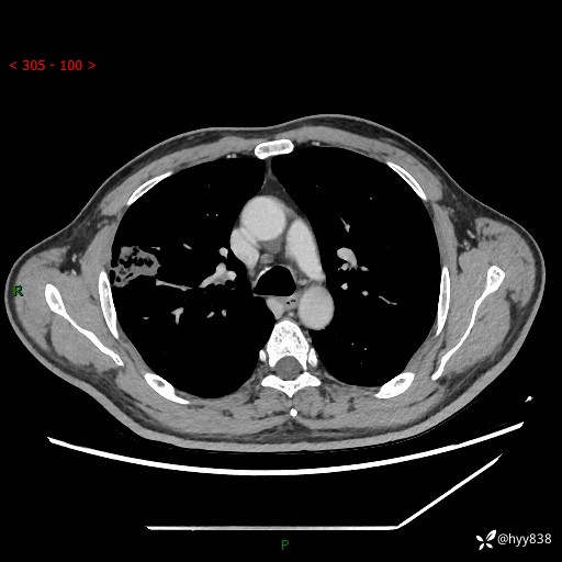
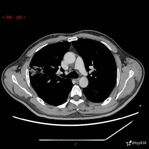
现病史:患者2天前体检完善胸部CT提示:右上肺团块影,炎症可能,肿瘤性病变不除外,冠状动脉钙化,无咳嗽、咳痰,无寒战发热,无恶心、呕吐等其他特殊不适,未予以特殊治疗,现为明确病变性质来我院就诊,门诊以“肺肿物性质待查”收入我科。 起病以来,患者精神、饮食、睡眠可,大小便正常,体力体重较前无明显变化。
胸部CT平扫+增强

























胡志勇HZY 达人已点赞病例信息
性别:男
年龄:47岁
主诉:体检发现肺占位2天
现病史:患者2天前体检完善胸部CT提示:右上肺团块影,炎症可能,肿瘤性病变不除外,冠状动脉钙化,无咳嗽、咳痰,无寒战发热,无恶心、呕吐等其他特殊不适,未予以特殊治疗,现为明确病变性质来我院就诊,门诊以“肺肿物性质待查”收入我科。 起病以来,患者精神、饮食、睡眠可,大小便正常,体力体重较前无明显变化。
胸部CT平扫+增强

























