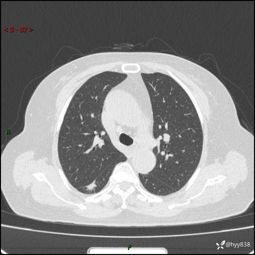
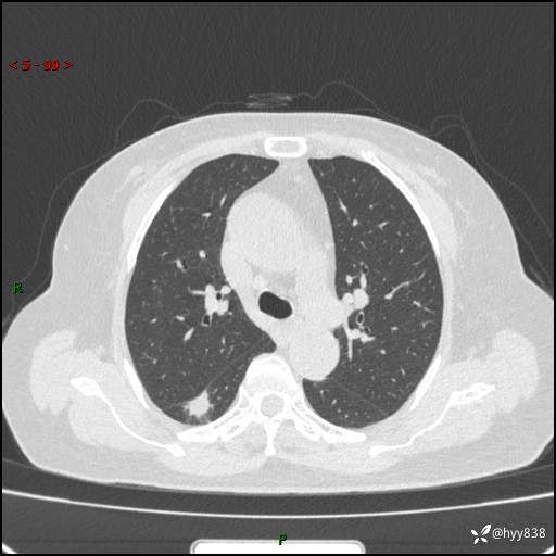
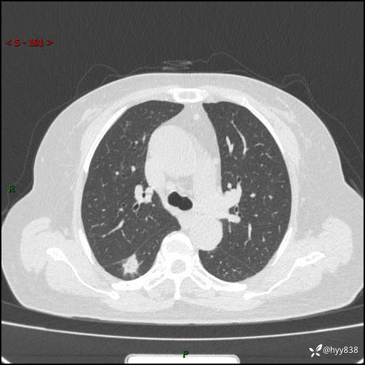
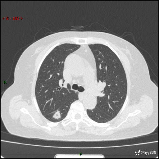
71岁/女,发现肺结节1月。偶然发现孤立肺结节,邻近叶间裂凹陷---结果公布(再回首)
华夏览雄 达人已点赞病例信息
【患者信息】:71岁/女
【主诉】:发现肺结节1月
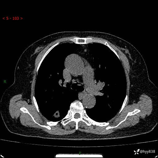
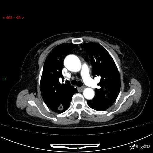
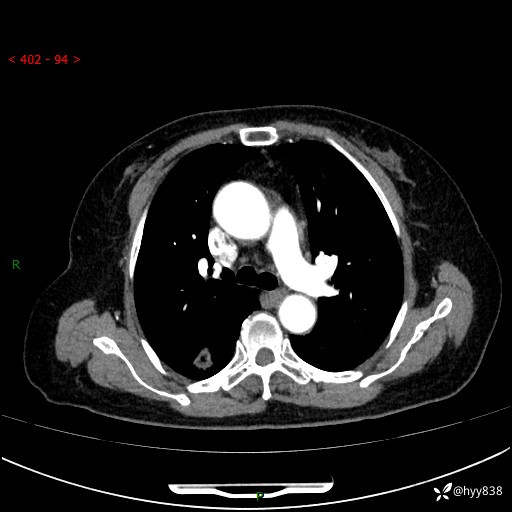
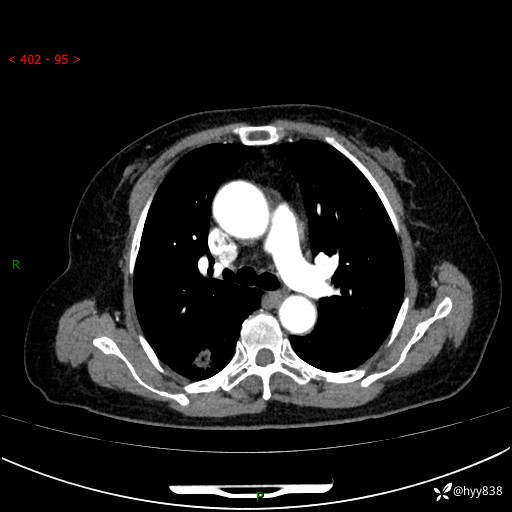
【现病史及既往史】:2024年9月患者因“胆囊结石”于我院肝胆外科住院,期间完善胸部CT提示:右下肺结节灶,高危结节?感染?,病程中无畏寒发热,无咳嗽、咳痰,无活动后气短,无心慌胸闷,无胸痛、咯血,无头晕头痛,无腹痛腹泻,无四肢肌肉酸痛等不适,当时建议其择期复查。今日患者为求进一步复查就诊于我院,完善胸部CT提示:右肺结节,较前一致,遂门诊“肺部结节”收入我科。 自本次起病以来,患者精神、饮食、睡眠可,大小便正常,体力、体重未见明显异常。
【检查】:胸部CT平扫+增强
























【临床诊断】:
【治疗经过及结果】:















































