又遇恼人的肺结节,囊腔 VS 空洞 VS 空泡,欢迎讨论---结果公布~
胡志勇HZY 等 2 位达人已点赞患者性别:男
患者年龄:61岁
主诉:发现左肺结节半月
简要病史:患者半月前因双眼翼状胬肉于我院眼科就诊行手术治疗,完善胸部CT发现左肺结节,未行特殊处理,偶有刺激性干咳,每于受凉后及饮冷水后发作,休息后可自行缓解,无发热、恶心呕吐、胸痛咯血,现为求进一步诊治,于我院就诊,门诊以“左肺结节”收入我科。 起病以来,患者食欲尚可,大小便正常,睡眠、精神可,体力、体重无明显变化。
体格检查:(-)
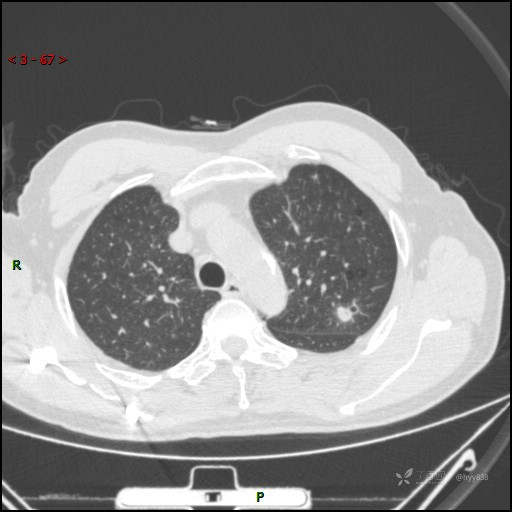
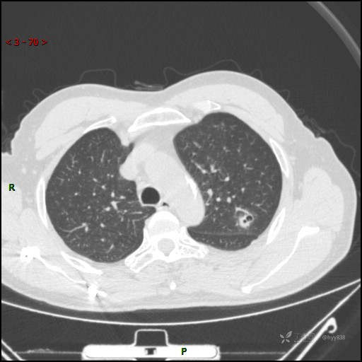
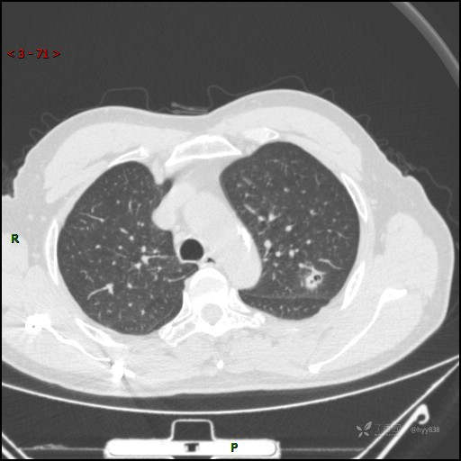
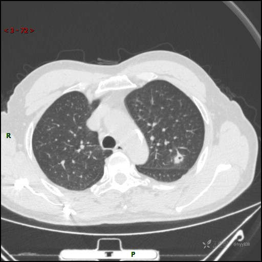
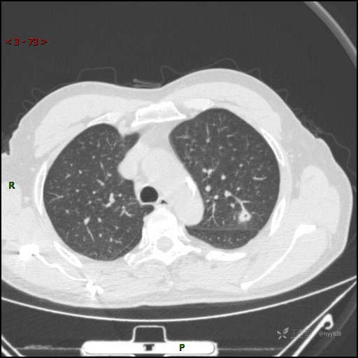
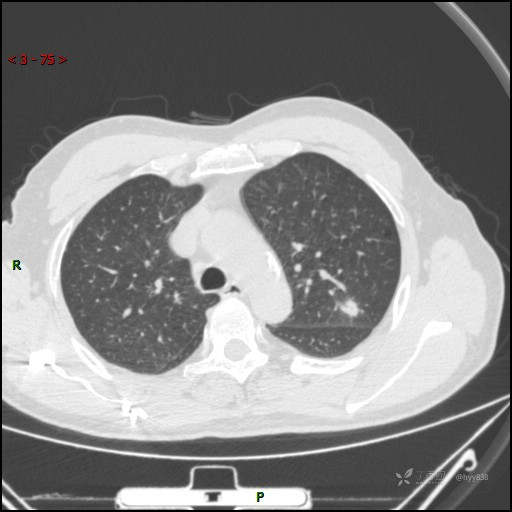
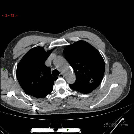
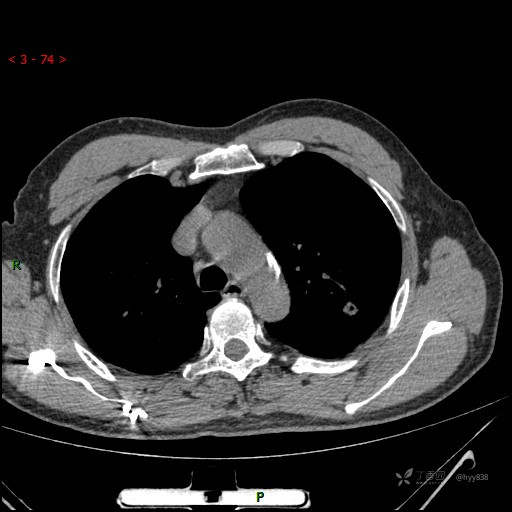
辅助检查:CT
临床诊断:肺结节
治疗经过:---
讨论:病变性质?
胸部CT平扫



























































