51岁/F,体检发现肺结节,又见“鬼脸”,增强也有特点,请分析---结果公布~
华夏览雄 等 4 位达人已点赞患者性别:女
患者年龄:51岁
简要病史:体检发现右下肺结节,来我院行进一步增强检查并手术
体格检查:(-)
辅助检查:CT
临床诊断:肺结节
治疗经过:手术
讨论:结节影像特点和性质?
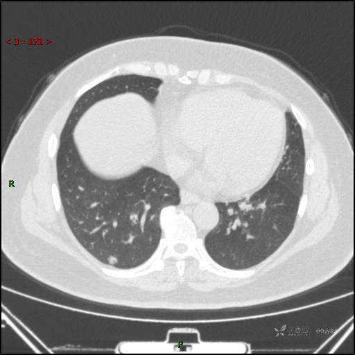
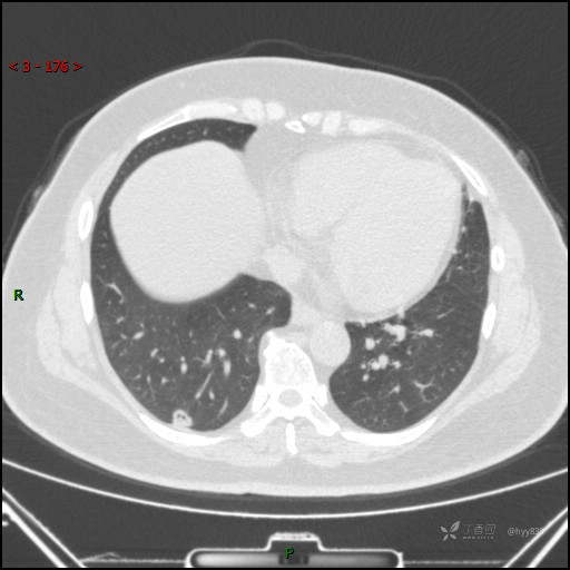
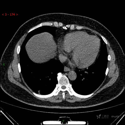
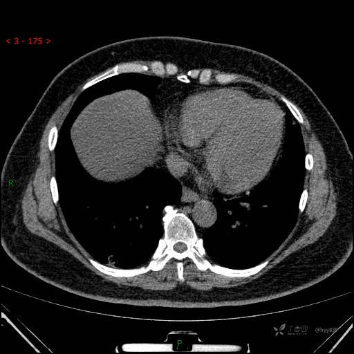
胸部CT平扫












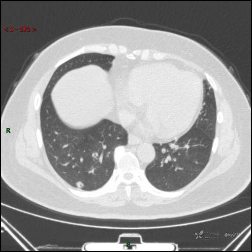
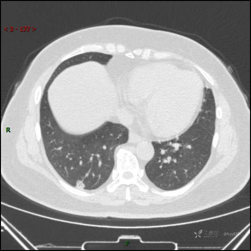
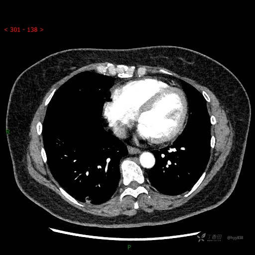
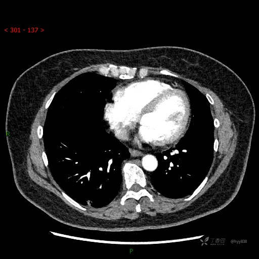
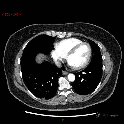
胸部CT增强--动脉期




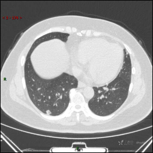
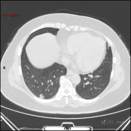
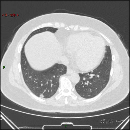
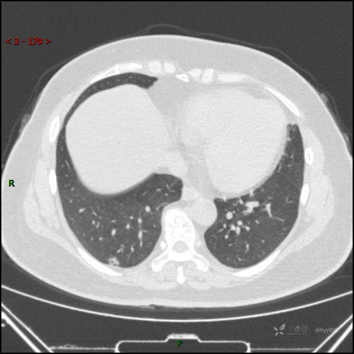
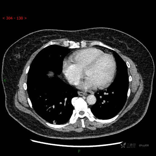
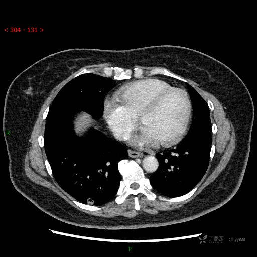
静脉期



华夏览雄 等 4 位达人已点赞患者性别:女
患者年龄:51岁
简要病史:体检发现右下肺结节,来我院行进一步增强检查并手术
体格检查:(-)
辅助检查:CT
临床诊断:肺结节
治疗经过:手术
讨论:结节影像特点和性质?
胸部CT平扫












胸部CT增强--动脉期




静脉期



