dxy logo
首页丁香园病例库全部版块
搜索
登录

大年初四特别精彩病例|易误诊的肺结节【病理已公布】

影像核医学版版主 · 最后编辑于 2023-02-08 · IP 浙江浙江
4397 浏览
icon呱呱叫了 等 3 位达人已点赞
这个帖子发布于 2 年零 257 天前,其中的信息可能已发生改变或有所发展。

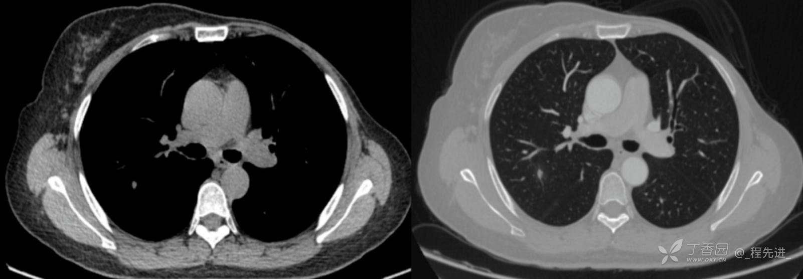
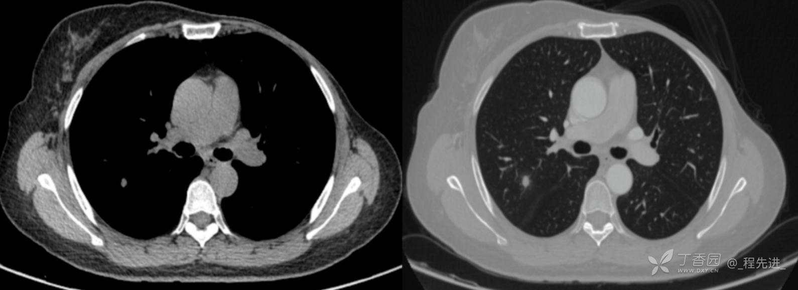
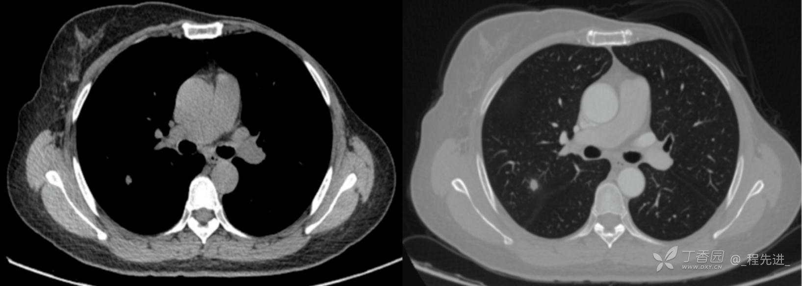
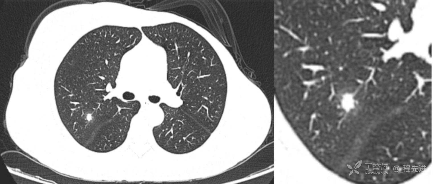
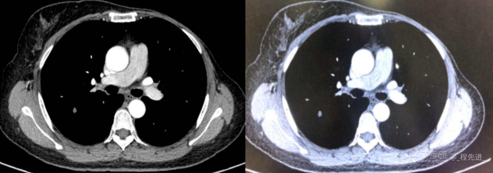
患者性别:女

患者年龄:52岁

简要病史:体检发现右肺上叶结节

既往史:左乳腺癌术后,化疗后

辅助检查、个人史、婚育史:无特殊


img
img
img
img
img
img
img
机化性肺炎 (42)
肺结核 (246)
纠错
73 8 12
同行评议(0)
已评议
不开通精选
开通精选
精选已授权,待上线
评议结果暂未公布
参与评议
去邀请
NaN
病例完整NaN
临床实用NaN
诊疗科学NaN
学术价值NaN

全部讨论(0)

默认最新
avatar
73
分享帖子
share-weibo分享到微博
share-weibo分享到微信
认证
返回顶部