dxy logo
首页丁香园病例库全部版块
搜索
登录

如此肺结节,看到了特征,你也可以秒杀!(病理结果已公布)

影像科医师 · 发布于 2023-06-10 · 来自 微信 · IP 广东广东
1504 浏览
推荐、达人点赞 2 项荣誉
这个帖子发布于 2 年零 167 天前,其中的信息可能已发生改变或有所发展。

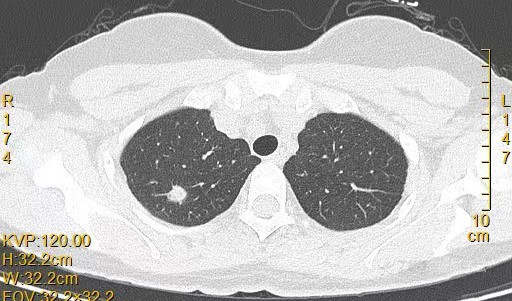
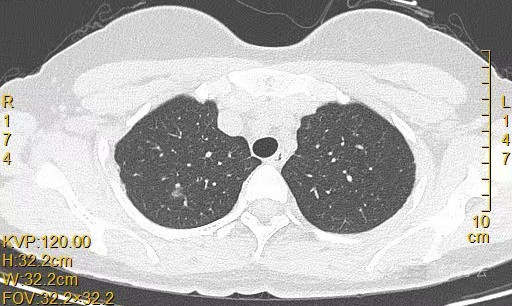
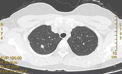
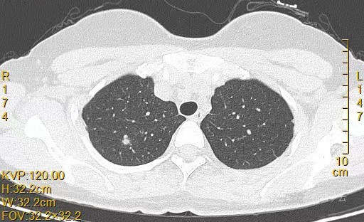
患者女,44岁,无特殊症状,做体检时发现右肺结节。查到1年前的体检CT片,右上肺当时就有一个直径约3mm的微小结节。两次检查检查图片如下:

以下三张为1年前CT片:

img
img
img

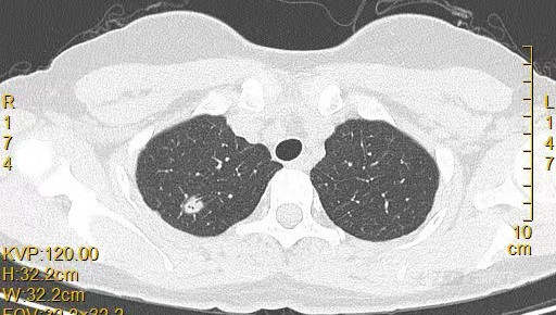
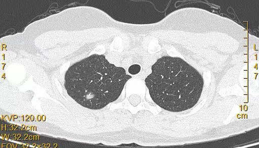
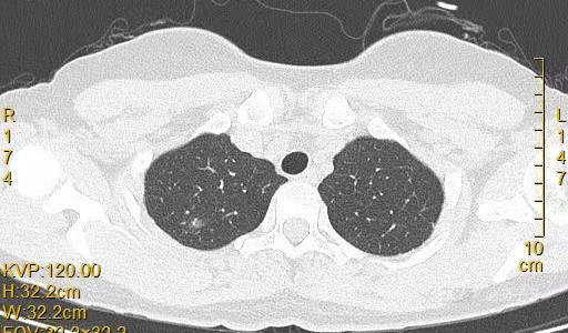
以下9张为今年5.10的CT图片:

img
img
img
img
img
img
img
img
img
腺癌 (183)
纠错
16 8 5
同行评议(0)
已评议
不开通精选
开通精选
精选已授权,待上线
评议结果暂未公布
参与评议
去邀请
NaN
病例完整NaN
临床实用NaN
诊疗科学NaN
学术价值NaN

全部讨论(0)

默认最新
avatar
16
分享帖子
share-weibo分享到微博
share-weibo分享到微信
认证
返回顶部