体检发现肺结节2年。“据说”当时蛮小,现复查呈“哑铃状或葫芦状---结果公布(意外)
患者性别:女
患者年龄:48岁
主诉:体检发现肺结节2年
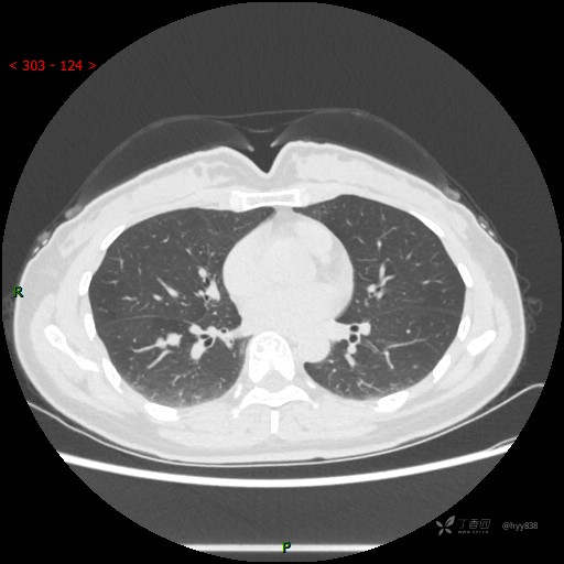
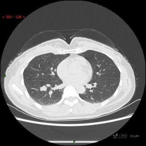
简要病史:患者2年前体检行胸部CT提示:右肺结节,当时结节较小,建议其定期复查,患者未在意。近期患者自觉呼气不畅,无畏寒发热,无咳嗽咳痰,无心慌胸闷胸痛,无头晕头痛,无腹痛腹泻,无四肢肌肉酸痛等不适,于当地医院行胸部CT提示:右肺下叶结节灶(18*10mm),现为求进一步诊治来我院就诊,门诊以“肺结节”收入我科。 自起病以来,患者精神、饮食、睡眠可,大小便正常,体力、体重未见明显异常。
体格检查:(-)
辅助检查:CT
临床诊断:肺结节
治疗经过:----
讨论:病变性质?
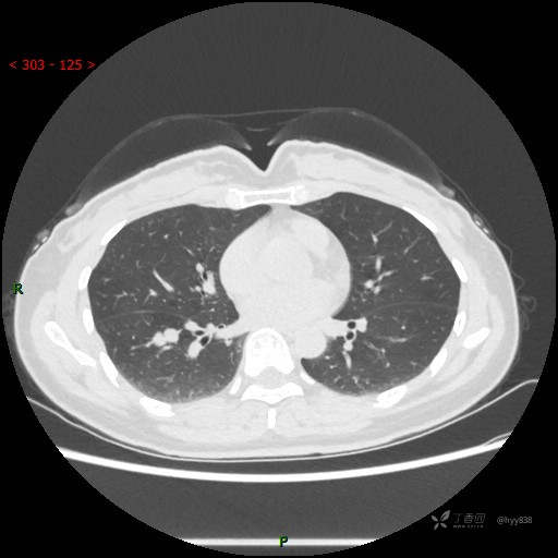
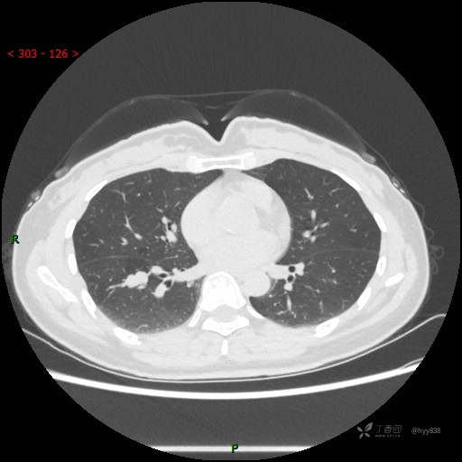
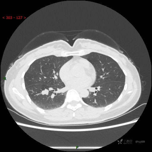
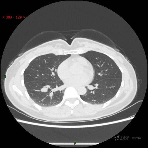
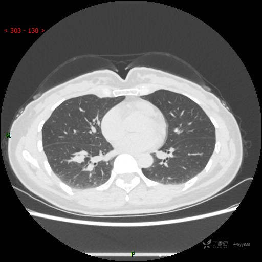
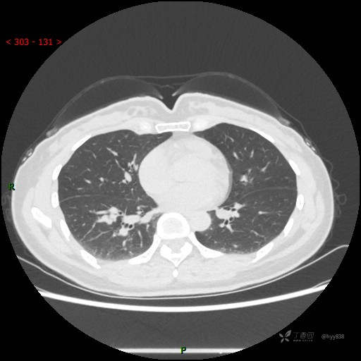
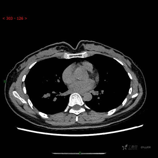
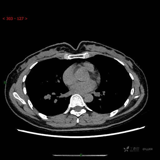
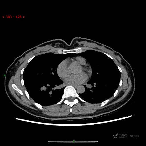
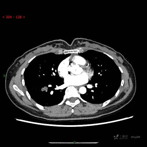
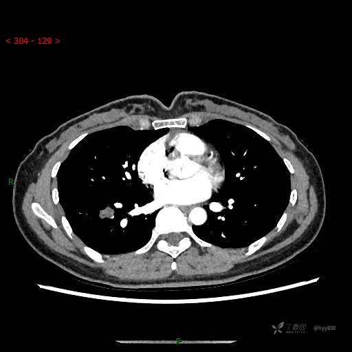
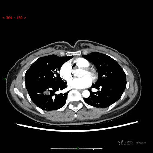
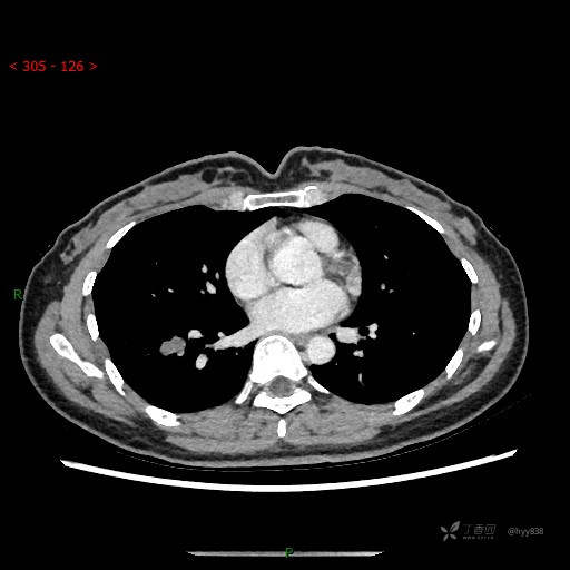
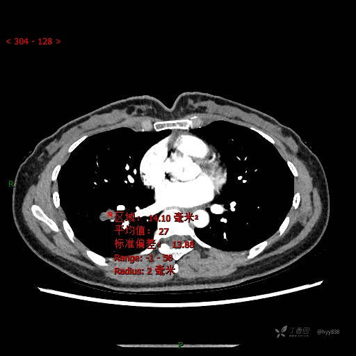
胸部CT平扫











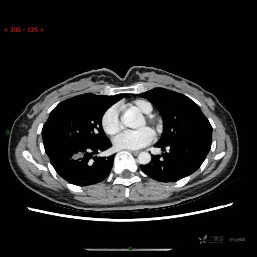
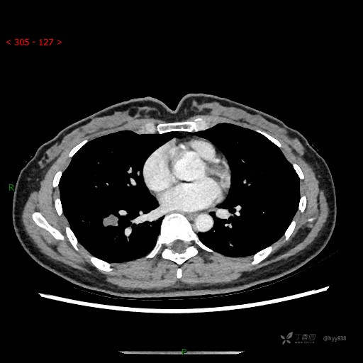
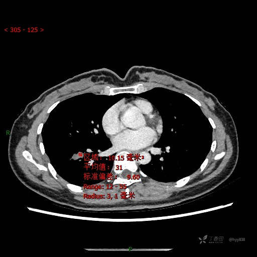
增强动脉期




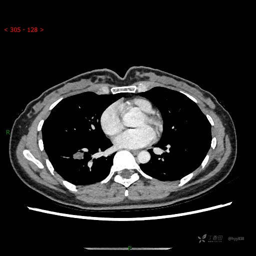
静脉期




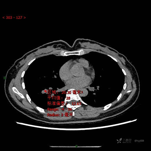
CT值


















































