肺结节入院,CT却发现肺部弥漫性病变,what happened---(有结果)
胡志勇HZY 等 2 位达人已点赞患者性别:男
患者年龄:67岁
主诉:检查发现左上肺结节4天
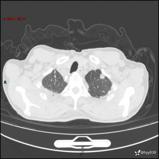
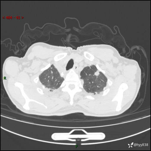
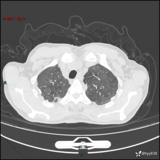
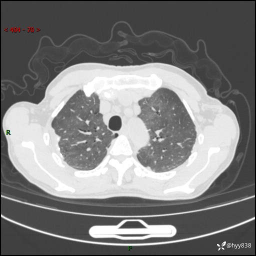
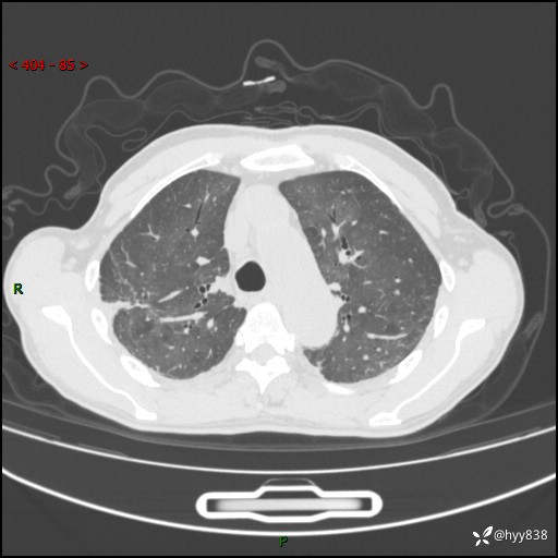
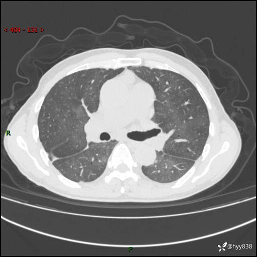
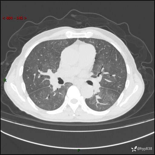
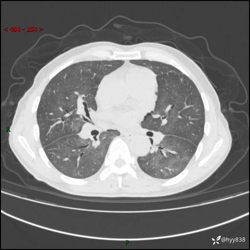
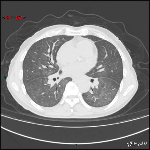
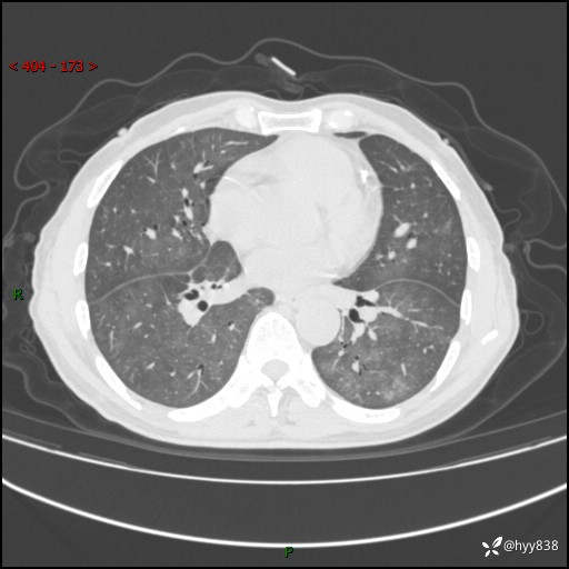
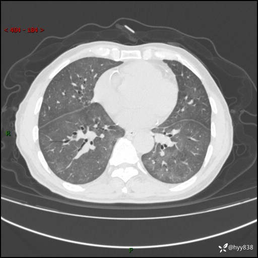
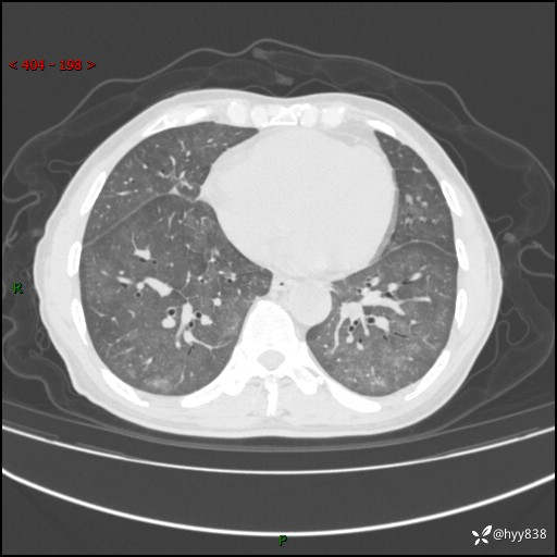
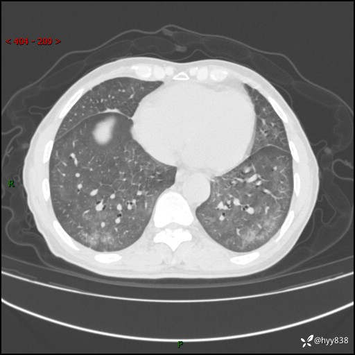
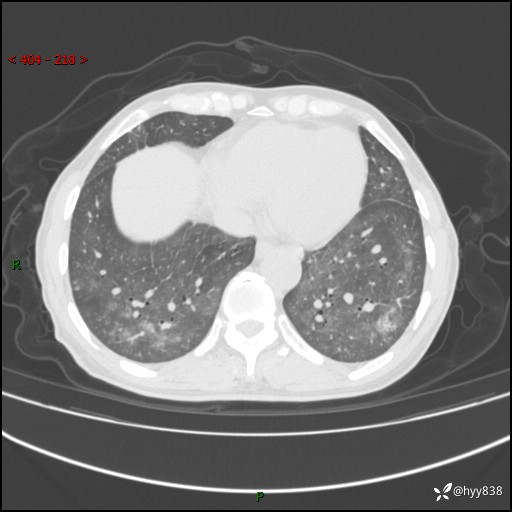
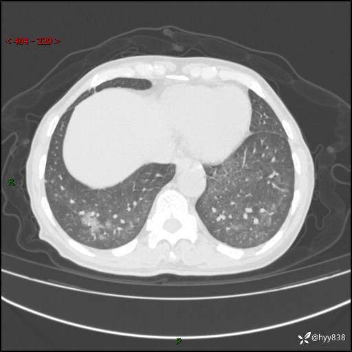
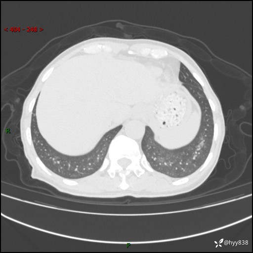
简要病史:患者于2024-01-15当地市人民医院胸部CT提示:左肺上叶(69)结节,最大截面约1.0 x 1.2cm,肿瘤病变待排。现患者活动后呼吸困难,自述平地行走200m后胸闷气喘,不伴咳嗽咳痰、头晕、恶心、呕吐等不适,未行特殊处理。现患者为求进一步治疗,于我院就诊,门诊拟“左上肺结节”收入院。 自患病以来患者食欲差,精神、睡眠尚可,大小便正常,体重近1月来下降5kg左右,体力明显减轻。
体格检查:(-)
辅助检查:CT
临床诊断:肺结节
治疗经过:---
讨论:病变性质?
胸部CT平扫



















不是讨论肺部结节















































