儿童骨折的强大塑型能力之锁骨+肱骨干骨折
关于儿童骨折塑型,分享一例锁骨中段骨折伴肱骨干骨折完全(重叠)移位病例,移位明显,6个月塑型良好。
患儿女,4岁,蹦蹦床摔伤致左肩及左上臂肿痛畸形伴活动受限1小时。
查体:左肩及左上臂畸形,肿痛,肩肘关节活动受限,左上肢皮肤感觉可,末梢血运可,左手各指活动可。
诊断:左锁骨骨折、左肱骨干骨折
治疗:锁骨骨折予8字绷带固定
肱骨干骨折予天医正骨拔伸牵引:顺上臂力线纵向牵引;折顶回旋:顺骨成角畸方向加大成角后折顶纠正肱骨重叠移位,儿童肱骨干夹板固定上臂,超肘石膏加固,患肢前臂悬吊胸前。

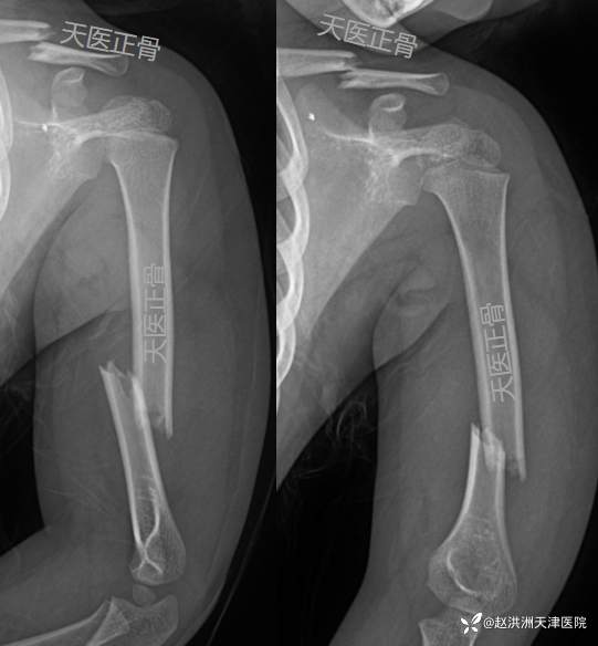
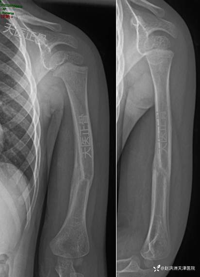
首诊X线片:左锁骨骨折+肱骨干骨折,重叠移位

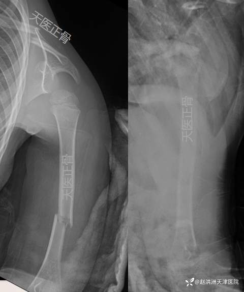
复位后:肱骨对位可,残余轻度向外成角,锁骨重叠移位

1周肱骨正位+穿胸位对位、对线同前

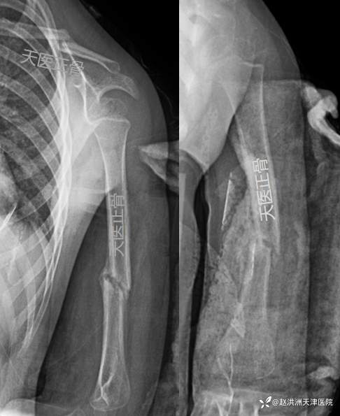
3周肱骨正位+穿胸位对位、对线可;断端可见骨痂,去除绷带

6周临床愈合良好,去除固定,肩肘关节功能锻炼

8周影像:锁骨、肱骨骨痂开始塑型

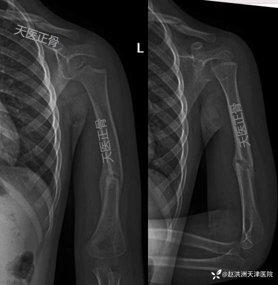
12周力线矫正良好

伤后6个月,骨折痕迹几乎消失
讨论:
1. 儿童和青少年锁骨骨折的主要治疗方法为非手术治疗,即便存在明显的移位,非手术治疗也可使骨折在原位形成骨痂并愈合,且功能预后良好。
2. 绝大多数儿童肱骨干骨折可采用保守治疗方法,因上肢骨骼是非负重的,其功能恢复不需要严格解剖复位,此外肩、肘关节的活动及前臂旋转都可以代偿轻度到中度的肱骨畸形。对于骨骼未发育成熟的儿童患者,肱骨有着很强的畸形塑型能力。一般≤30°内翻畸形,≤20°后成角,≤15°内旋畸形及1-2cm的短缩移位都是可以接受的畸形(选自第八版《洛克伍德·威尔金斯 儿童骨折》)。
















































