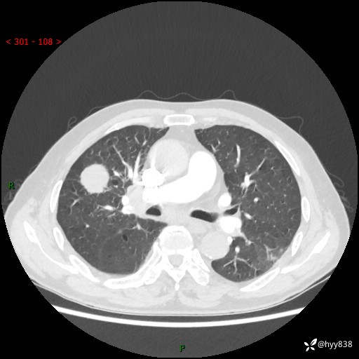
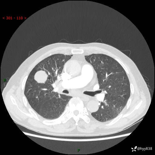
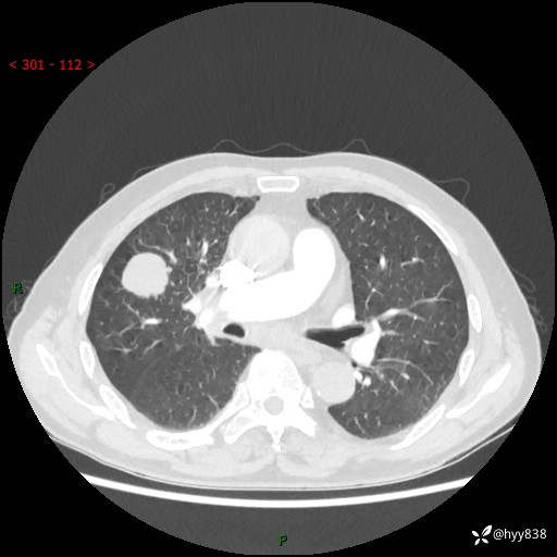
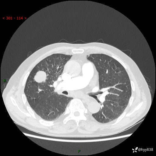
69岁/男,间断咳嗽伴气促、下肢水肿。临床拟诊肺栓,偶发肺均质强化结节--结果公布
胡志勇HZY 达人已点赞病例信息
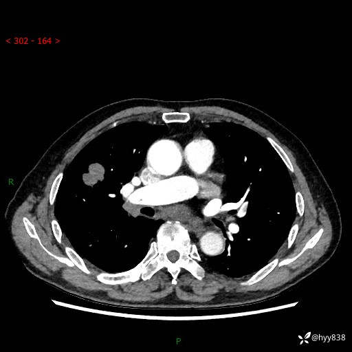
【患者信息】:69岁/男
【主诉】:间断咳嗽伴气促、下肢水肿2周
【现病史及既往史】:患者2周来无明显诱因出现咳嗽,咳少量白痰,不易咳出,伴有气促,呈间断发作,症状与活动费力相关,以夜间为甚,不能平躺入睡,偶有憋醒,无胸闷胸痛、无发热、无头晕、头痛等不适,伴有双下肢中度水肿,就诊于当地县人民医院门诊,完善相关检查提示:左下肢深静脉血栓形成,未予以特殊处理,今患者为求进一步诊治来我院就诊,拟“心衰”收入我科。 起病以来,患者精神、饮食、睡眠可,大小便如常,体力明显下降,体重未见明显减轻。
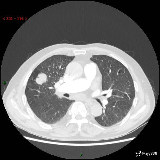
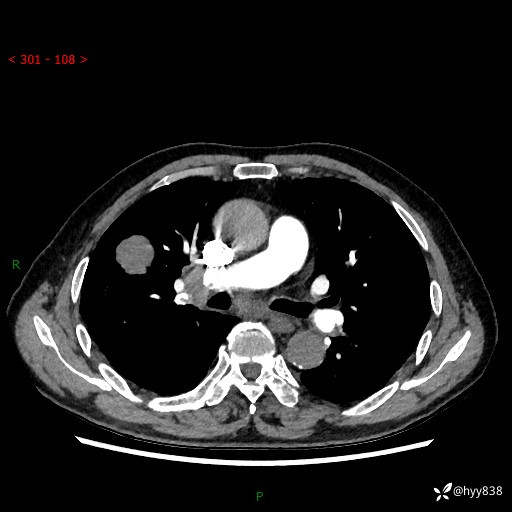
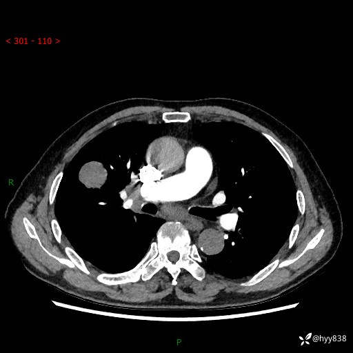
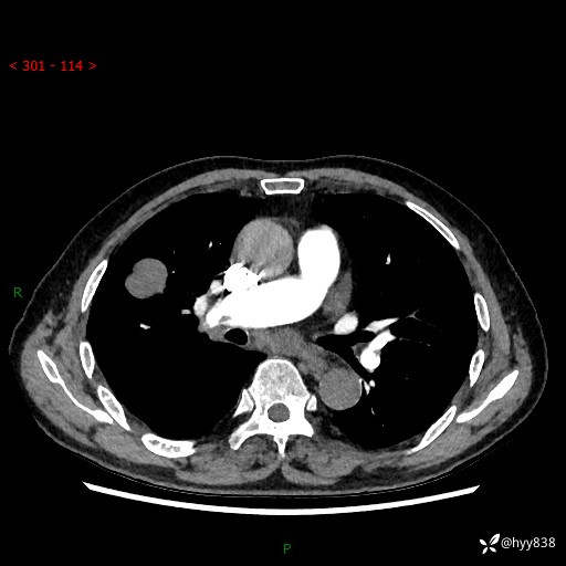
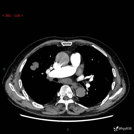
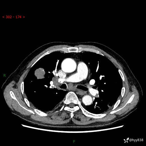
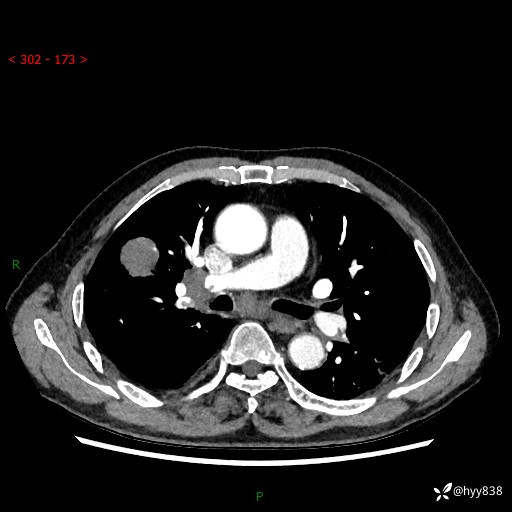
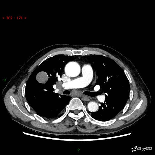
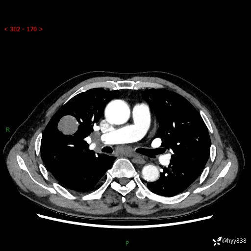
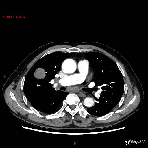
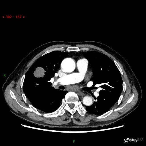
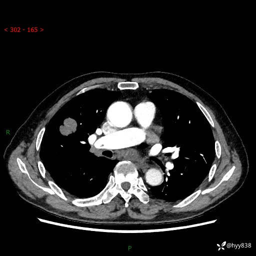
【检查】:胸部CT增强



















【临床诊断】:
【治疗经过及结果】:















































