71岁/男,咳嗽伴气促半月。一年前肺手术史,又见两个结节,穿刺结果意外---结果公布~
胡志勇HZY 等 2 位达人已点赞病例信息
【患者信息】:71岁/男
【主诉】:咳嗽、咳痰伴气促半月
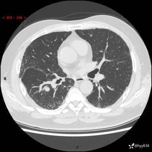
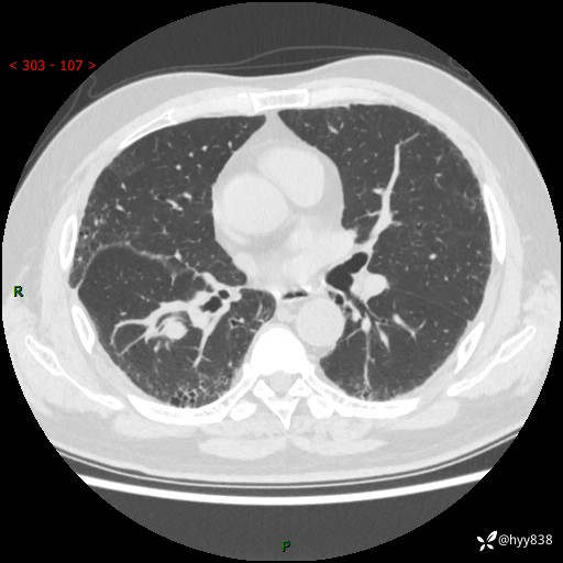
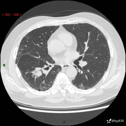
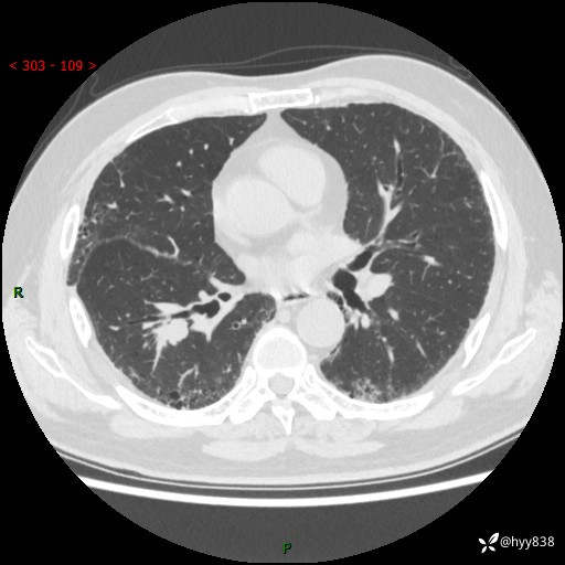
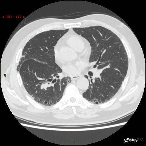
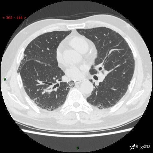
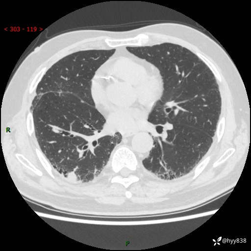
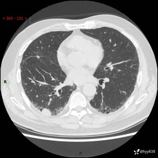
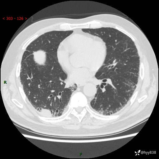
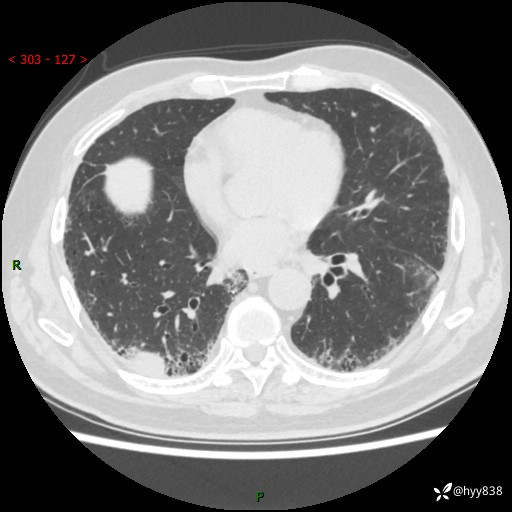
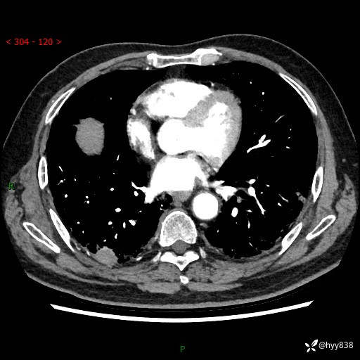
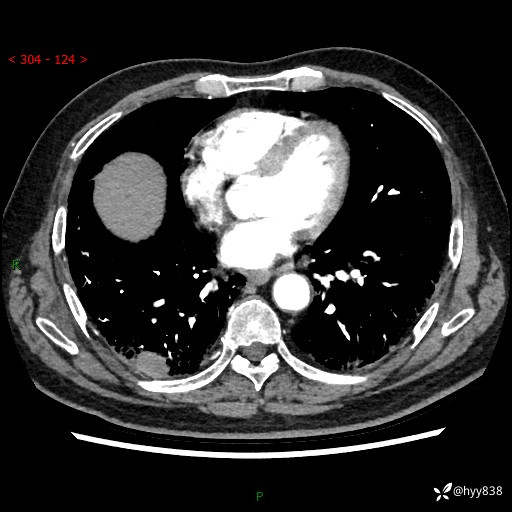
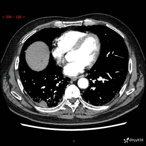
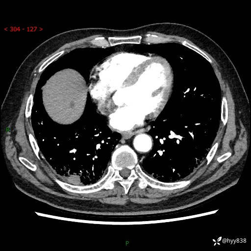
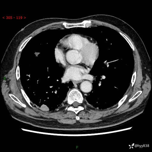
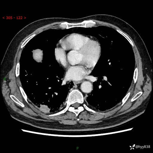
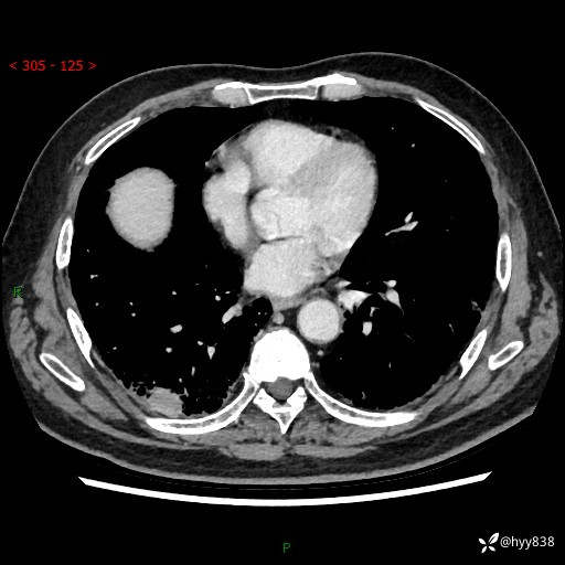
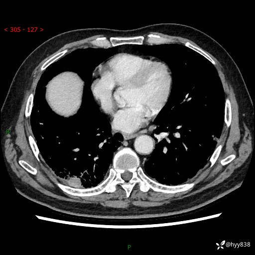
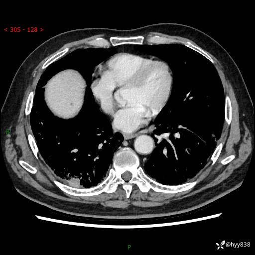
【现病史】:患者半月前无明显诱因出现咳嗽、咳痰,为白色粘痰,无明显加重与缓解因素,伴气促,无发热,无大量脓痰,无胸痛、咯血,无哮鸣音,到我院就诊,胸部CT示右肺结节增大,并口服药物治疗无明显好转,具体用药不详,为求进一步治疗随来我院,经门诊以“孤立性肺结节”收入我科。 病程中患者精神、饮食可,睡眠不佳,大小便正常,体力下降,体重未见明显下降。
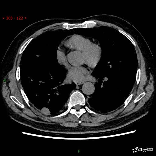
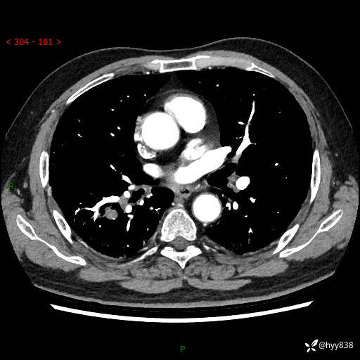
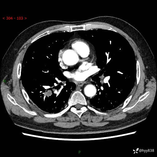
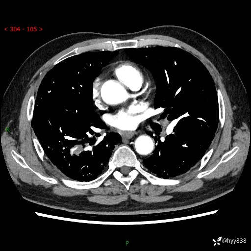
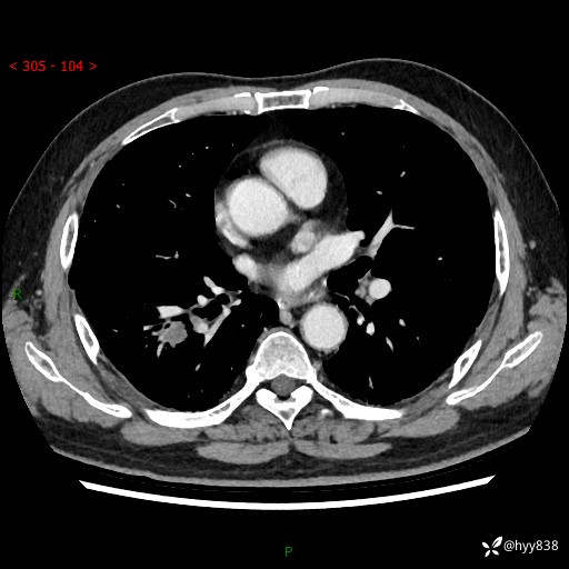
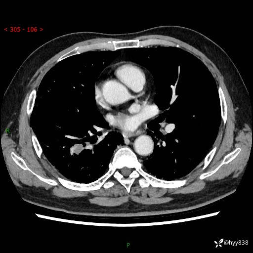
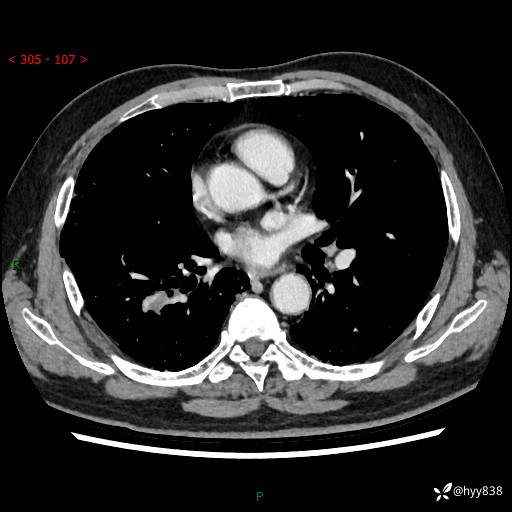
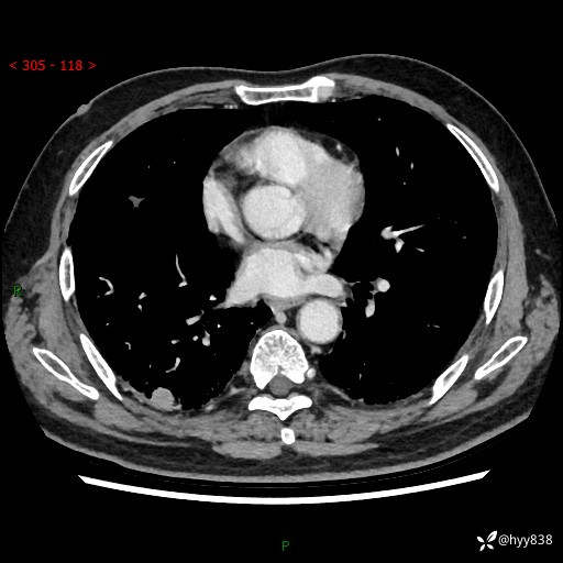
[既往史]:2022-06于当地第一人民医院确诊慢阻肺,现规律使用杰润(1次/日);2023-04-06于当地市第一人民医院行胸腔镜右肺上叶楔形切除术+右肺上叶切除术+淋巴结清扫术+胸膜黏连松解术,确诊为右肺鳞癌 pT2aN0M0 Ib期
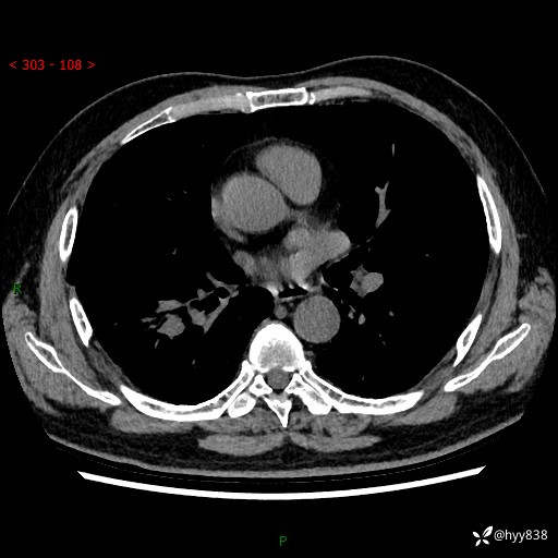
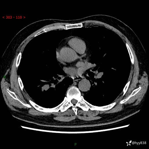
【检查】:胸部CT平扫+增强



































【临床诊断】:
【治疗经过及结果】:















































