【心胸】特别精彩病例|胸闷、气促、进行性呼吸困难5年,双下肢浮肿、恶心呕吐1周
呱呱叫了 等 2 位达人已点赞病例信息
患者性别:女
患者年龄:51岁
简要病史:胸闷、气促、进行性呼吸困难5年,双下肢浮肿、恶心呕吐1周
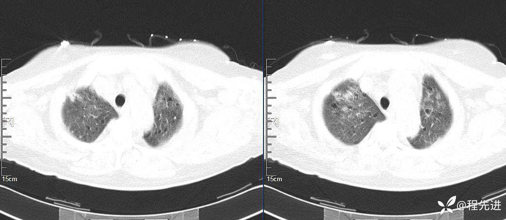
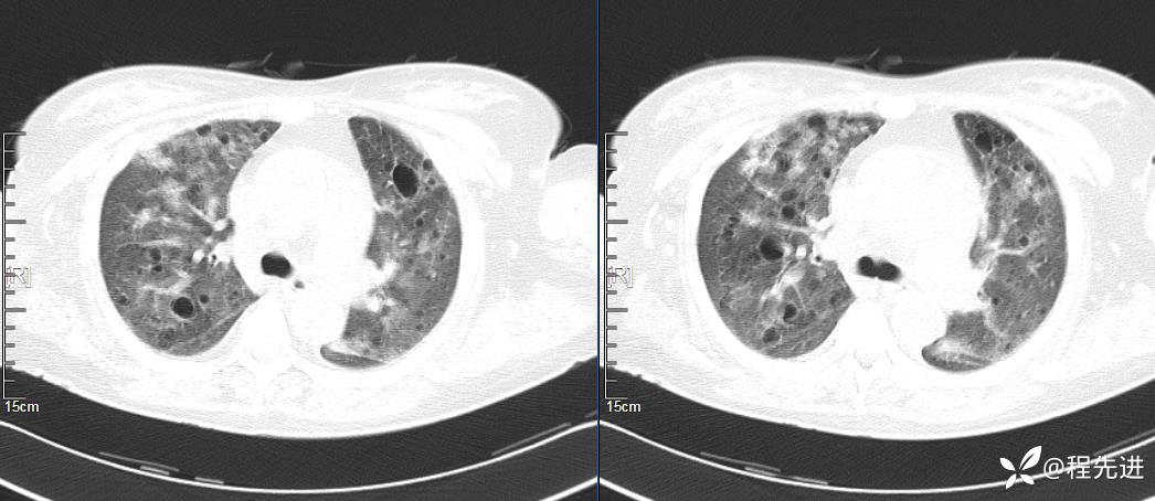
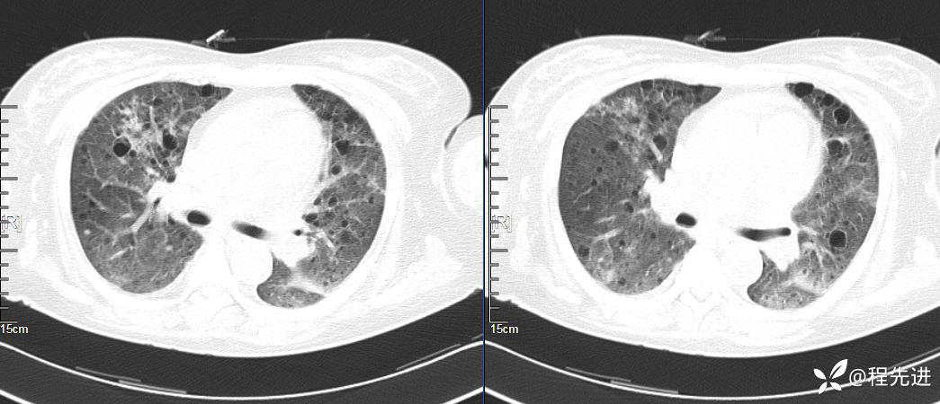
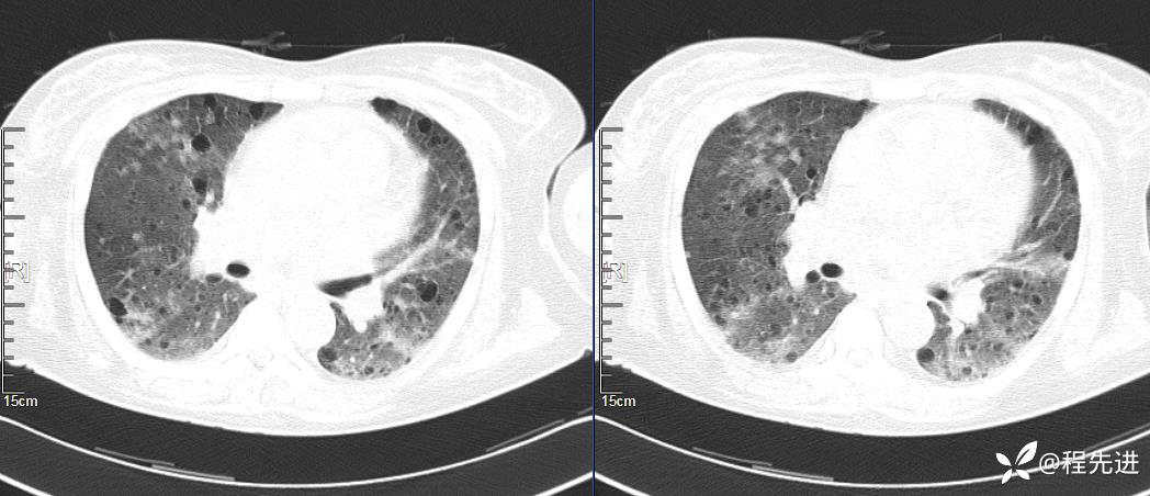
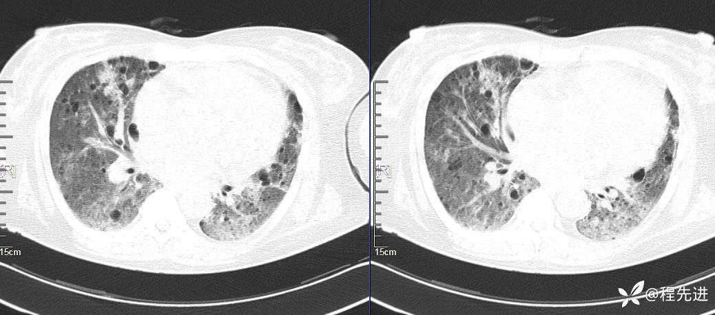
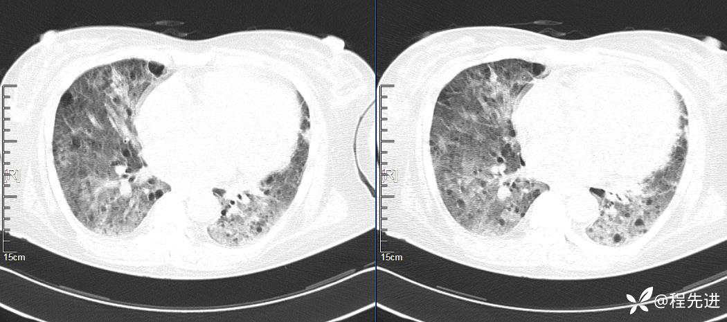
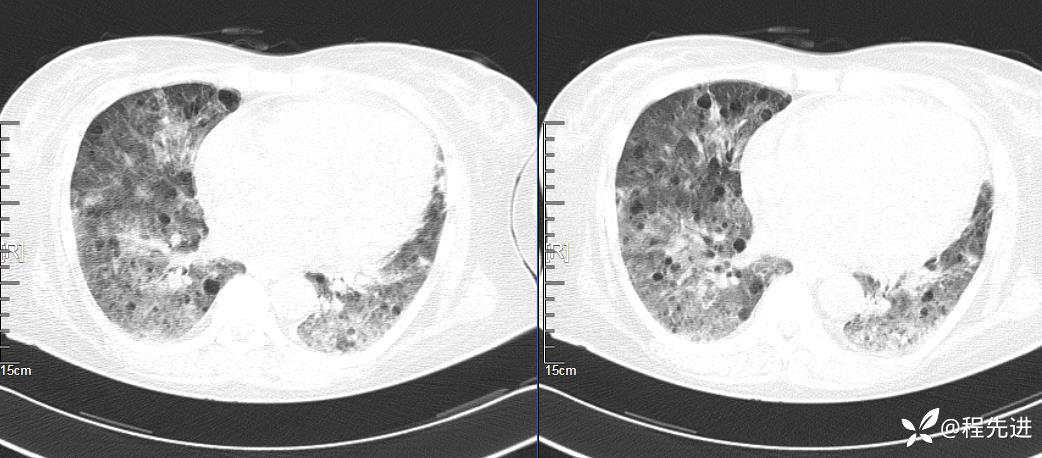
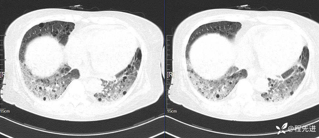
CT平扫(纵隔窗无特殊,就不上传了):

















问题与讨论
1、两肺弥漫性肺气囊的鉴别诊断有哪些?
没有思路的老师可参考@mg3488 马哥版主的讲座:【讲座】肺部囊性病变的逐步放射诊断流程(马哥系列讲座之十七)
2、本例肺气囊分布有什么特点?肺气囊有无小叶核心?有没有间质纤维化及伴发结节?
3、穿刺活检前还需要做哪些检查?
期待您的点赞支持!
期待您的精彩解读!















































