老年男性,气促5月,胸背痛2月。发现肺尖较大肿块,摧枯拉朽之势---结果公布~
华夏览雄 达人已点赞病例信息
性别:男
年龄:65岁
主诉:气促5月,胸背痛2月
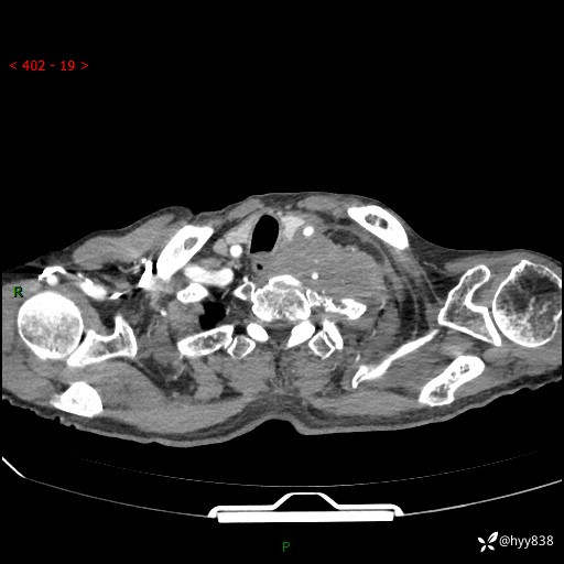
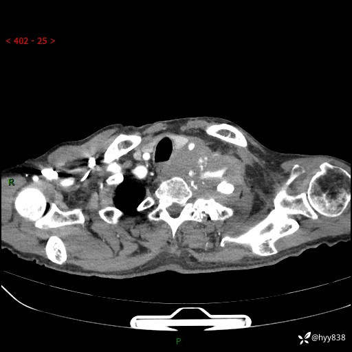
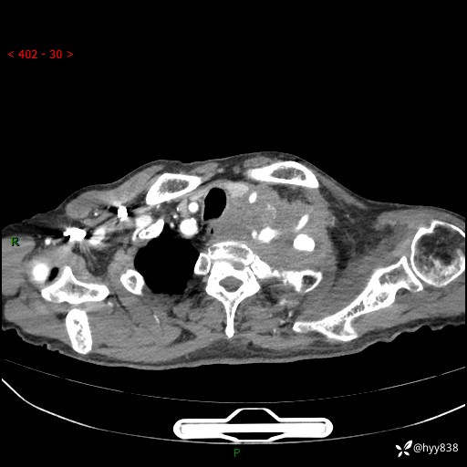
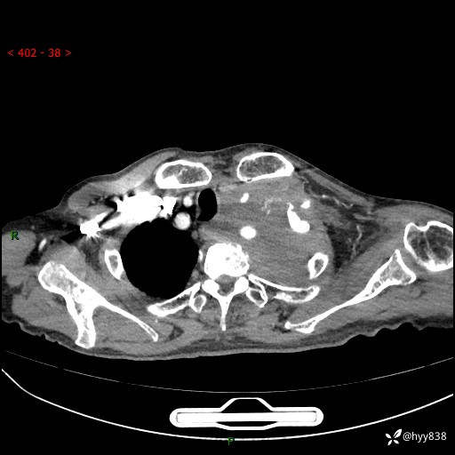
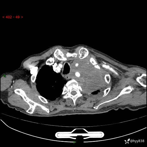
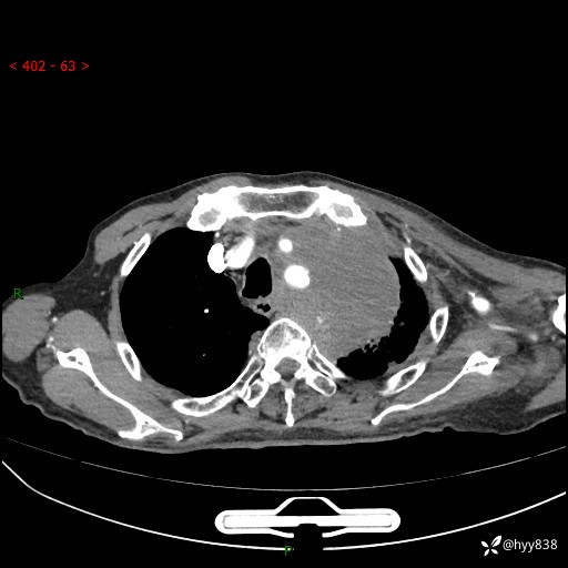
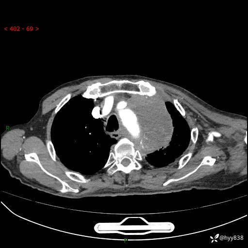
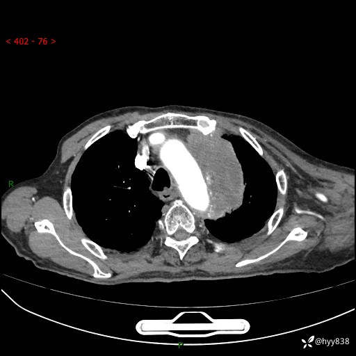
现病史:患者于5月前饮酒后突发静息状态下气促不适,无胸闷、胸痛、发热、咳嗽、咳痰等不适,于当地第五人民医院及我院就诊,输液治疗后(具体不详)后气促稍缓解,遂出院后自行口服中草药治疗。近2月出现胸背痛,伴左上肢疼痛、乏力、感觉异常,稍有咳嗽、咳痰,咳黄痰、痰液粘稠,无咳血。为进一步诊治来我院。
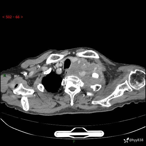
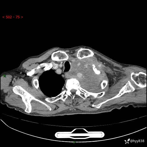
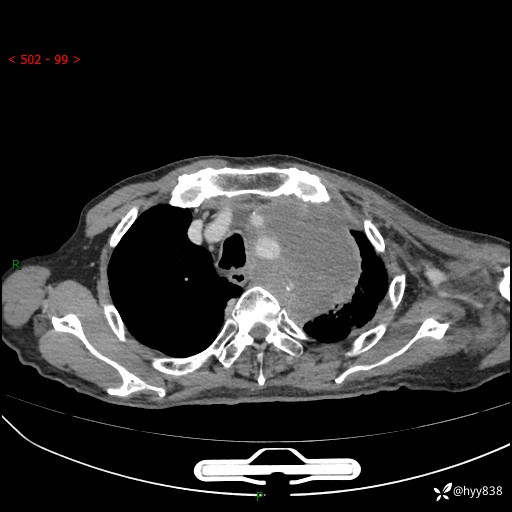
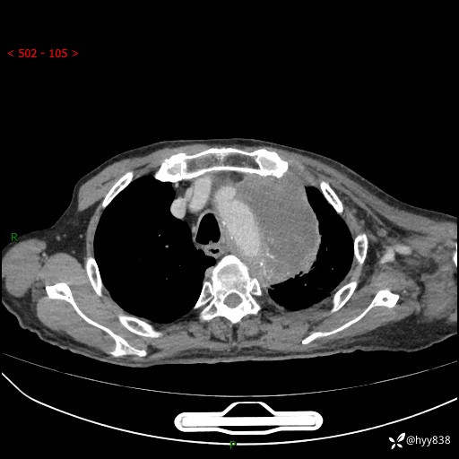
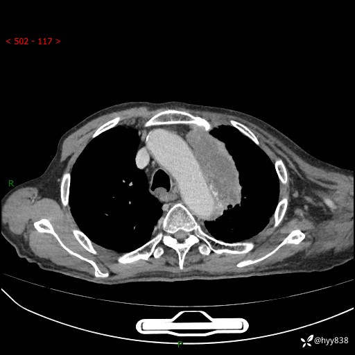
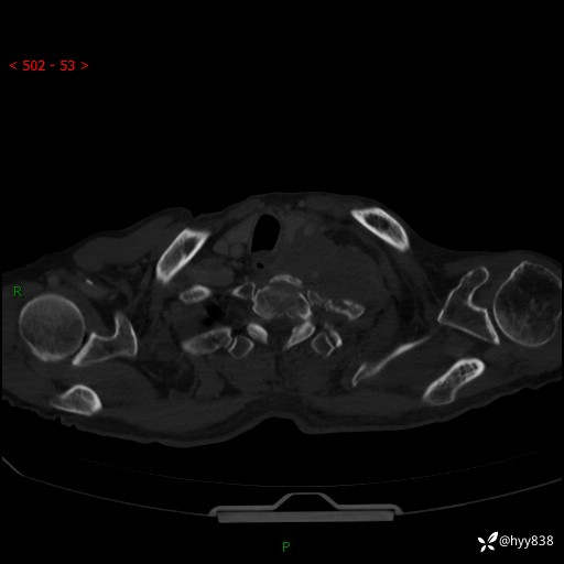
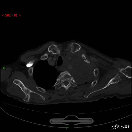
胸部CT增强扫描(外院平扫)





















华夏览雄 达人已点赞病例信息
性别:男
年龄:65岁
主诉:气促5月,胸背痛2月
现病史:患者于5月前饮酒后突发静息状态下气促不适,无胸闷、胸痛、发热、咳嗽、咳痰等不适,于当地第五人民医院及我院就诊,输液治疗后(具体不详)后气促稍缓解,遂出院后自行口服中草药治疗。近2月出现胸背痛,伴左上肢疼痛、乏力、感觉异常,稍有咳嗽、咳痰,咳黄痰、痰液粘稠,无咳血。为进一步诊治来我院。
胸部CT增强扫描(外院平扫)





















