62岁女性反复咳嗽、喘息,为什么治疗效果不理想?
患者是一名62岁女性,主诉:反复咳嗽,间断性喘息,呼吸短促5年余。
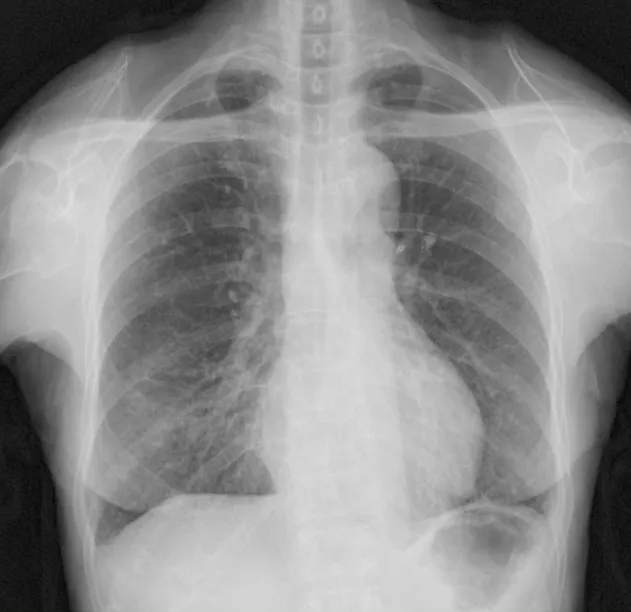
现病史:5年余前开始出现反复咳嗽、伴有间断喘息、呼吸短促,在过去的5年里,她接受了一系列的检查,肺功能检查结果显示支气管舒张试验呈阳性;胸片显性示肺气肿;诊断“慢性哮喘”,她接受了吸入支气管舒张剂和皮质类固醇、抗组胺药和茶碱类药物的维持治疗,并在急性发作期间接受了抗生素和口服皮质类固醇治疗。但是患者病情反复,随着气候变化或上呼吸道感染症状恶化。尽管患者否认意识到任何吸入性肺炎事件,但她仍诊断”吸入性肺炎“住院四次。在过去的一年里,她的咳嗽和呼吸困难的症状加重,肺功能检查显示FVC和FEV1明显下降。

既往史:26年前曾接受鼻咽癌放射治疗,导致轻度口干、声音嘶哑、鼻息肉和慢性鼻窦炎。然而,没有进行进一步的研究来评估她的吞咽功能。回顾她的病史,她偶尔会在喝酒时呛到,但并没有注意到。
个人史:她不吸烟,也没有接触过化学物质或灰尘的历史。
体格检查:患者身高1.53米,体重43公斤,生命体征平稳,耳鼻喉科检查显示左侧声带麻痹。颈软,颈静脉无充盈。双肺基底部吸气相湿罗音。没有外周水肿、杵状指和紫绀。
实验室检查:
- 血常规:白细胞11.5*109/L,中性比例87.5%,红细胞和血小板正常;
- 痰培养:金黄色葡萄球菌和产气肠杆菌
- 痰找抗酸:阴性;
肺功能:FVC0.89L(39.3%预计值),FEV1 0.75L(39.8%预计值),FEV1/FVC=0.84,呼气中期流速0.76L/s(26%预计值),一氧化碳弥散量是12.1ml/mmHg/分(61%预计值)。
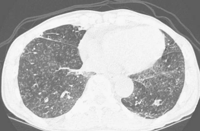
胸部CT示两下肺弥漫分布细胞粟粒样小结节影。

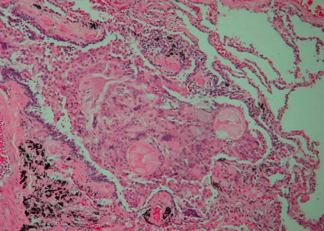
胸腔镜下肺活检病理如下:

最后诊断:
弥漫性吸入性细支气管炎。
讨论:
通过对一系列衰弱和长期卧床的神经系统异常老年死亡患者的尸检,弥漫性吸入性细支气管炎(DAB)这个概论是在1996年被首次定义的。最初的报告认为DAB是未被识别出的老年人微量误吸的一个并发症。随后的报道确定了4例年轻的DAB患者,这4个年轻患者既没有神经功能缺陷,也没有吞咽困难或慢性误吸的临床症状。因此,DAB的确切机理尚不完全清楚。
DAB的通常是隐匿发病,大多数患者表现出咳嗽、喘息和呼吸短促等症状,与其他慢性气道炎症相似。
慢性咳嗽是一种常见且令人烦恼的症状,在临床工作中很具有挑战,仔细回顾临床病史是确定诊断和治疗的关键。在没有服用血管紧张素转换酶抑制剂的非吸烟者中,哮喘和鼻窦炎是慢性咳嗽的两个最常见原因。但是,如同这位患者一样,如果给予哮喘和鼻窦炎治疗无效的情况下,应该考虑未被认识的潜在原因,包括胃食管返流疾病、慢性误吸、支气管扩张、慢性呼吸道感染。
口咽分泌物或胃内容物被吸入喉部和下呼吸道时发生误吸;其严重程度取决于误吸的频率、数量和性质以及宿主对误吸的反应。因误吸或吸入性肺炎引起的急性肺损伤常发生在因脑血管意外、癫痫发作、药物过量或麻醉而出现明显意识障碍的患者中。吸入性肺炎是由于吸入定植口咽物质而继发感染所致。
其实,误吸发生的概率非常之高,在所有健康成年人中,约有一半会在深度睡眠中吸入微量的口咽分泌物,只不过绝大多数不会经历任何后遗症。
任何增加口咽分泌物的体积或细菌负荷或损害防御机制的情况都可能导致吸入性肺炎。高危因素包括吞咽困难、胃食管反流和上消化道解剖异常,常见致病源为金黄色葡萄球菌、铜绿假单胞菌和肠杆菌科。
正如这个病例中患者有鼻咽癌,也接受过放疗,吞咽困难是头颈部癌症放射治疗中常见的的并发症。高剂量的辐射可减少唾液分泌,导致吞咽肌过度萎缩。这些副作用可以导致吞咽功能进行性恶化,甚至放射治疗多年后仍然会发生。
最初,这类患者会忍受并忽略这些异常,但是它们最终可能会发生危及生命的吸入性肺炎。然而,误吸的临床表现可能隐藏很深,不容易为人所发觉,这是因为在这样的情况下咳嗽反射很受到抑制。
纤维支气管镜可用于评估咽收缩异常和上食管括约肌功能的异常,但无法评估完整的吞咽过程。要想评估吞咽过程,内镜下吞咽检查(VFSS)可能是有帮助的。使用VFSS的研究已经证明超过60%的接受放疗的鼻咽癌患者在放疗后1年会有误吸症状,而这个比例会随时间增加而增加,说明鼻咽癌患者吞咽困难的严重程度与放疗后的时间相关。
DAB的胸片表现包括弥漫性小结节影和非特异性间质浸润,实变相对少见,这是吸入性肺炎的常见表现。高分辨率CT扫描显示弥漫性小叶中心性结节,呈现树芽征,这与其他弥漫性细支气管疾病相似,如弥漫性泛细支气管炎(DPB)、支原体肺炎,人类嗜T淋巴病毒1型感染,变态反应性支气管肺曲霉菌病,分枝杆菌感染,滤泡性细支气管炎,囊性纤维化。
特别是,DAB应该与DPB区分,因为它们有太多临床和影像学表现相似之处。DPB是一种发生在细支气管和邻近小叶中央区域的特发性慢性炎症性疾病,主要发生亚洲人。DPB常伴有鼻窦炎,而DAB不是。
当然,由于DAB和DPB临床和影像学很类似,有时难以区分,必要时就需要外科肺活检。
DAB的组织学表现与慢性吸入一致,包括伴有异物的多灶性细支气管中心性炎症,以及细支气管管腔内可见的包涵有异物的巨大细胞。在DAB的肺泡导管和肺泡内也可以发现异物,有些细支气管可能是被密密麻麻的疤痕组织覆盖。在这个案例中,肺活检病理证实细支气管内存在食物样颗粒和炎症图像与误吸相符合。
治疗性干预措施应该尽量减少误吸发生频率和误吸的量,包括进行吞咽康复训练,注意口腔卫生,给予促进胃肠蠕动的药物,给予鼻饲或者小肠管植入。
本病例表明,仅通过临床评估和影像学检查,很难正确诊断与慢性误吸相关的细支气管炎。因此,对于有误吸高风险的患者,在有慢性支气管炎和支气管痉挛症状、以及持续影像学异常的情况下,特别是对常规治疗效果不理想的时候,应考虑DAB的可能。
在这个案例中,病人接受了食管胃十二指肠镜检查,但没有发现胃酸反流障碍的证据。接下来我们使用了VFSS,发现病人有严重的舌头运动、喉部抬高以及声门闭合的缺陷,特别是在吞咽量大的时候会发生。但是由于患者没有咳嗽表现,我们称之为“安静的误吸”。
















































