(原创)隐秘的感染
“曾多少次的擦身而过,才换来一次的回眸。一次的回眸,才发现答案在那初次的相遇地方。”
在急诊抢救室上班,遇到过很多感染又急又重,患者快速死亡,但是却找不到感染灶。每次都感觉距离找到感染灶很近,但就是下不了最终的诊断。这例病例,解决了我很长时间的疑惑!
监护室白班,刚接完班,电话响起,“有没有床?”
“有个自动出院的,可能要中午了!”
“嗯”
挂断电话!约10分钟后电话再次响起,“我能不能先把住院证开上?”
“可以!”,再次挂断电话!
约10分钟,电话再次响起,“你能不能先收到普通病房,监护室有了床在转过去?”
“病人如果很重,家属积极,在抢救室要比在普通病房安全很多,我去看看吧!”,快速挂断电话!
我起身和一起值班的医生说,“你帮我处理着,感觉抢救室医生慌了,我去看看。”
快步走到抢救室,打开门,笑着说,“咋了呀,哪个病人?”
护士说,“16床,快收走吧!”
走到病人床旁,患者,男,62岁,全身大汗,抖动着身体抱着被子蜷曲在床上,心电监护,心率130,血压60/40(多巴胺180mg泵到了12),呼吸20次/分,全身皮肤无花斑。
我问,“怎么不舒服?”
病人能喊醒,睁开眼看我,不回答!
我继续大喊,“有没有糖尿病?”
病人回答,“有!”
“平时吃什么药控制?”
“二甲双胍和……………”
“和什么?安达唐?”
“是!”
转身离开,转身的时候看了下尿袋子,满满的尿,颜色不深。
快步走到电脑旁!我问,“咋了?”
“昨晚10点看急诊门诊,一下寒颤,不行了,转来了抢救室,他们怀疑肺栓塞,做了肺动脉CTA,没事!现在血压多巴胺维持不住。”
“嗯,我给你弄这个,你处理其他病人吧!来,复查个血气!”
抢救室医生脸上瞬间有了笑容,“谢谢…”
患者因“发热伴腹痛3天”入院!
具体检查结果如下:









最新的血气如下:

看完这些结果,你感觉该如何抢救?
1、在分析之前首先处理最棘手的,患者血气血糖3.0,低血糖了,全身大汗,心率130,也是低血糖的症状,立即给予50%的葡萄糖40ml静推,10%的糖静滴,患者全身大汗快速消失!
2、患者怎么了?患者血钠109,无恶心、头痛、昏迷,低钠是慢性的,安达唐渗透性利尿导致的结果,临床很常见。这么严重的休克表现,小时尿量如此多,感染性休克的血小板下降、pt延长都不明显,明显的低渗性脱水,休克应该是与安达唐有关!
“我说,把滴的那瓶胶体液扔了,开两路,一组10的糖,把血糖提到14以上,能多高就多高,一组滴3%的氯化钠,快滴,滴完复查血气!”
3、这么年轻,能正常进食,出现这种情况,一般会有诱因,最常见的诱因就是感染。腹痛、发热寒颤,进展如此快,最常见的是胆总管出事了!看CT,血检胆红素、转氨酶、淀粉酶全正常,电话肝胆外科,直接排除!但是胆囊周围确实有液体!
“把PCT、血常规+CRP、肝功、肾功、凝血、心标+BNP再复查一遍!”
电话联系药房,“抢救室有个很重的,能不能把美平权限打开?”
“可以!”
“给予美平1g静滴!给予万古1g静滴!”
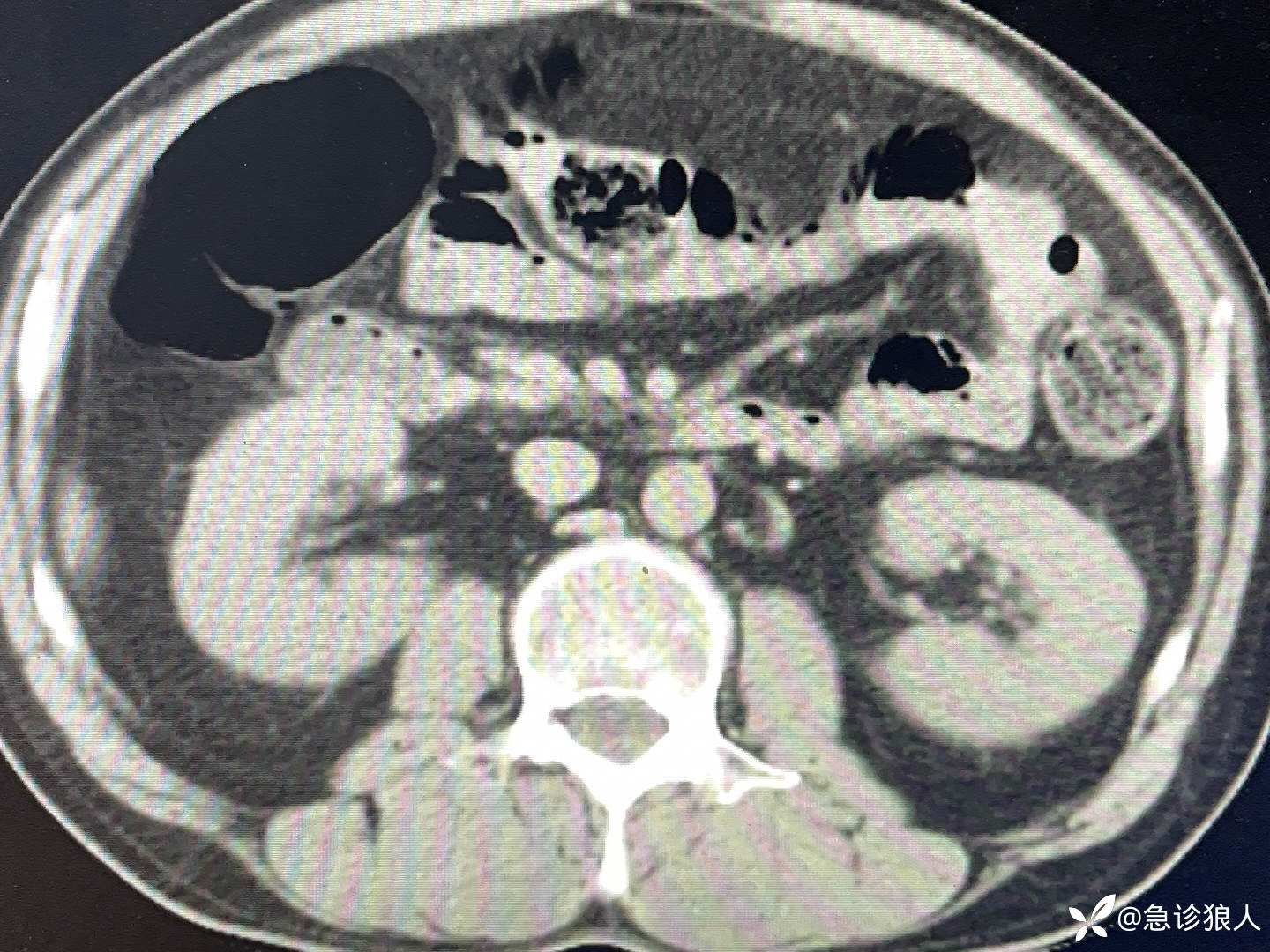
4、在等复查血结果的时候,反复的看患者的CT!感觉这个ct太熟了!曾经好多不眠夜看到过!细看CT!双肾周都有渗出,合情合理怀疑肾脏出事了!再细看,肾无低密度灶,排除肾脏感染!肾盂、舒尿管不扩张,没有结石感染!膀胱里没有高密度灶,不存在排石感染!更可气的!尿常规虽然白细胞3个+,但不至于出现这个情况!
这个影像真的太熟了!我曾经还写过!
5、复查血快速出来,如下:







pct长到26!
找不到感染灶人是快死了!
出来急查血后,监护室打电话说床好了,我说,“把全腹部强化CT做完,直接收进去!”转身回到监护室!
很快病人做完腹部强化,转入监护室!
入监护室,立即再给予美平1g微量泵泵入,给予颈内静脉置管改去甲肾上腺素泵入,继续补充糖和盐!
打开患者的强化CT!具体如下:


看了好几遍,打通CT阅片室电话,“老师,帮忙看个强化CT,名字叫…”
电话那头传来熟悉又烦躁的声音,故意提高音量说,“病人咋了?”
我提高语速,“重症感染,没找到感染灶,我能看出来的就两个事,胆囊周围渗出增多,但不像胆囊,双肾周围渗出增多,但我顺着看了好几遍,泌尿系我没看到问题!”
几乎在我说完的瞬间,那边传来声音,“你看他的前列腺,低密度灶很多。”
我瞬间把影像停在了患者的前列腺上,我说,“谢谢,老师!”
电话那边传来笑声,“解决了?”
“是的老师,我给你磕个!”,挂断电话!
一位退休返聘的老师正好路过我电脑旁,指着电脑说,“前列腺脓肿!请个泌尿外科会诊!”
我问,“这个没法穿刺或者手术吧?”
“前列腺血供丰富,不能穿刺!抗生素也不好到达!”
我笑着说,“3个小时用了2g美平!”
“够了!”转身走了!
很快泌尿外科医生到达监护室,他走进来,有两个护士就尴尬的笑,我问“咋了!”
那两个护士不回答我!
我快速汇报完病人情况,泌尿外科医生看着病人的强化CT说,“这不可能是前列腺炎!”
我问,“为什么?”
“他疼吗?”
“剧烈的疼,下腹部按压更明显!”
“尿常规没事,可以排除。”
“尿常规白细胞3+,第二次1+,确实没事,这就能排除?”
“嗯,建议做个磁共振!”
转身离开!
他走后,护士笑着说,“你请他会诊?”
“咋了?”
护士还是笑不说了!
电话突然响起,“刚会诊的那个病人,就是前列腺炎,很重,也没啥特别的处理,等稳定了做个磁共振!”
挂断电话!
“这都是啥,就这一会,就变了?”
都笑!
护士说,“回去请示主任了!”
全场笑!
患者经过补液、去甲肾上腺素,血压稳定!
安稳下班!
第二天,肿瘤标志物出来,验证患者前列腺炎!

诊断应该是没问题!
PCT下降至12.21,crp上升至336


患者快速好转,尿培养、血培养全阴性!
第三天转出监护室
今晚夜班!安静的回忆了整个抢救过程,为什么在抢救室碰到这种病人就是死,在监护室碰到就可以这么快的好转!
1、血压的维持,入监护室立即给予了去甲肾上腺素!
2、液体给予了糖和盐,把血糖控制在了更高的水平,保证了低钠血症患者的有效渗透压!
3、在抢救室给予1g美平的基础上,入监护室又给予1g美平泵入,延长了用药时间!
4、最后这个血常规白细胞这么高可能是因为我给了患者200mg氢化可的松(这个效果待评价)
前列腺感染导致的脓毒症我还是第一次诊断!希望对各位老师有帮助!
















































