老年男性,后背疼痛4月余。诊断很棘手,半年变化很大---结果公布~
胡志勇HZY 等 2 位达人已点赞病例信息
性别:男
年龄:67岁
主诉:后背疼痛4月余
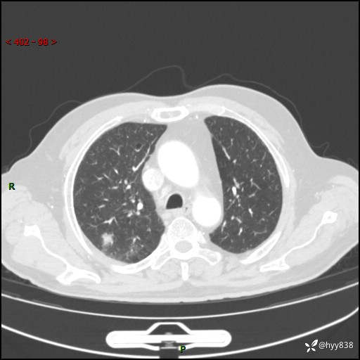
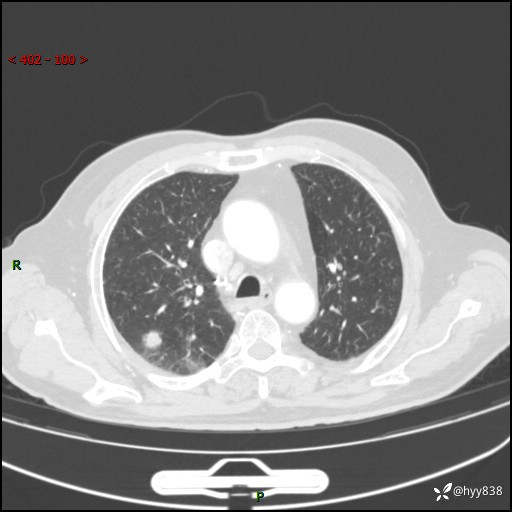
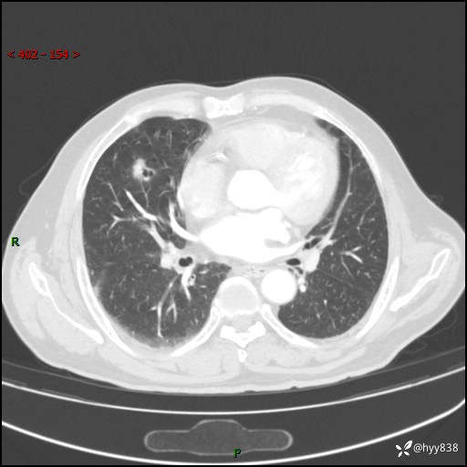
现病史:患者4月前无明显诱因后背正中间疼痛,间断阵痛,无低热、咳嗽,盗汗、咯血、胸痛、喘气等不适,2024-2-25当地市第二人民医院胸部CT提示“1.双肺感染病变;2.右肺中叶结节灶;3.双肺肺气肿并肺大泡4.主动脉及冠脉硬化,今为求明显结节性质遂来我院门诊就诊,门诊以“肺占位”收治入院。 起病以来,患者精神饮食睡眠一般,大小便正常,体力体重无明细变化。
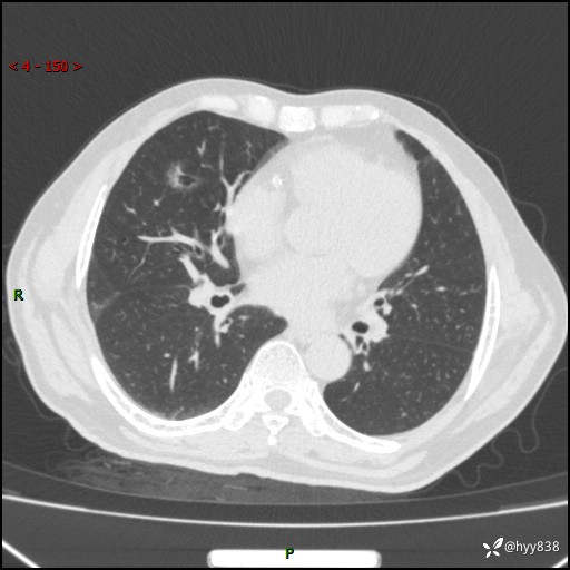
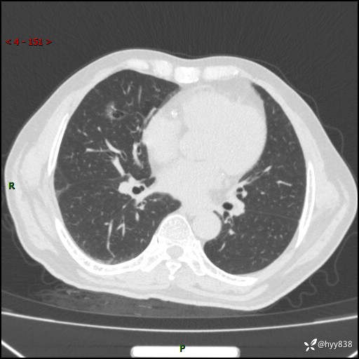
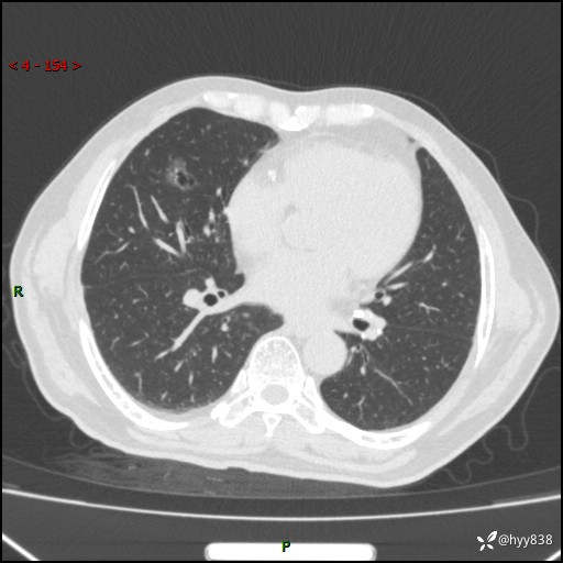
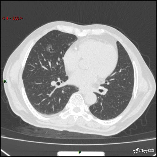
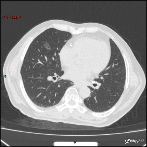
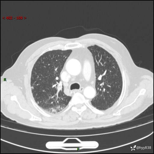
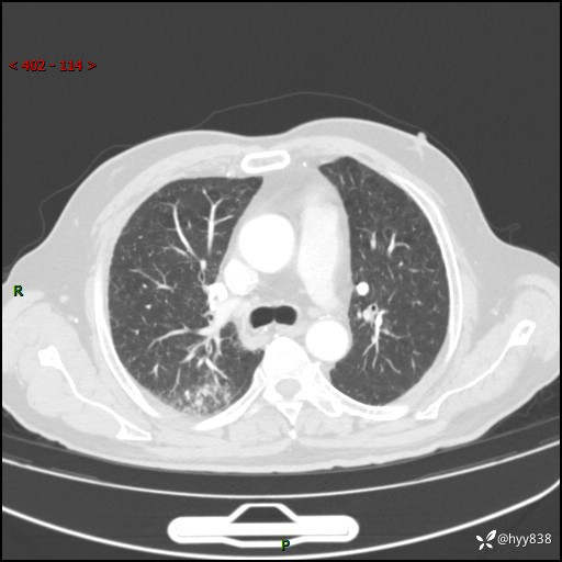
胸部CT平扫(2024.2)








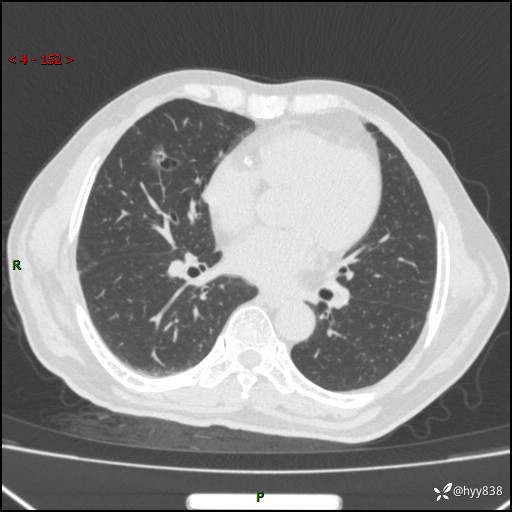
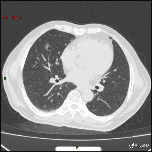
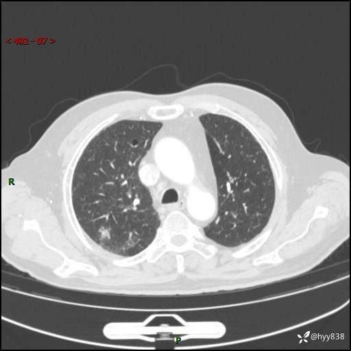
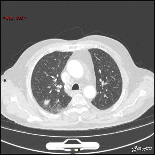
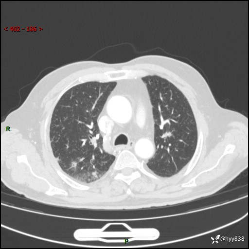
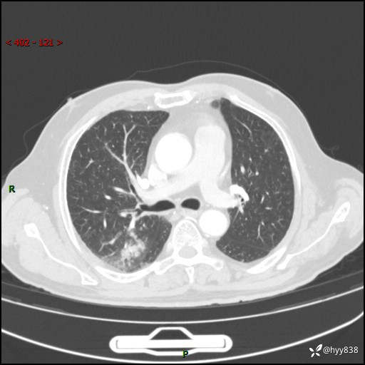
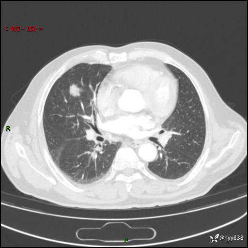
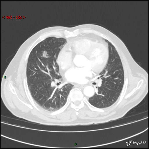
胸部CT复查(2024.7)












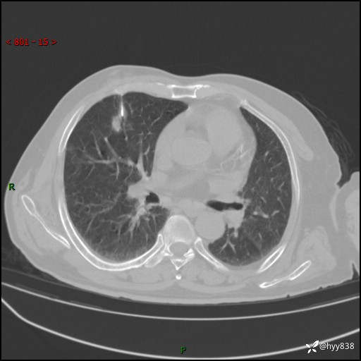
CT导向穿刺(靶点---2个结节)

















































