老年男性,后背疼痛4月,2年前胸部CT正常,“典型”前可否加个形容词---(有结果)
华夏览雄 等 2 位达人已点赞患者性别:男
患者年龄:67岁
主诉:后背疼痛4月余
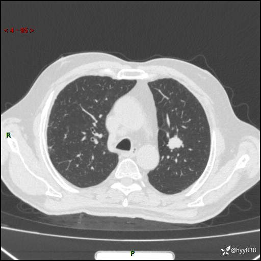
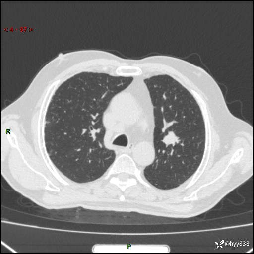
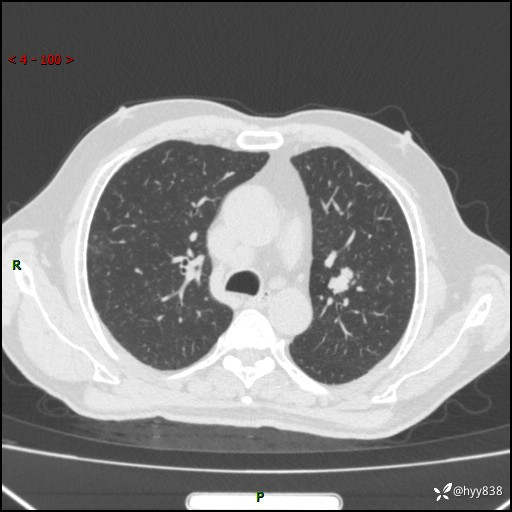
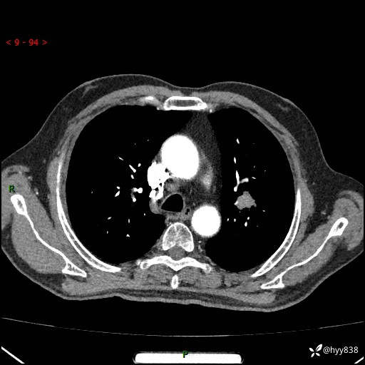
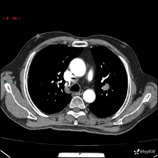
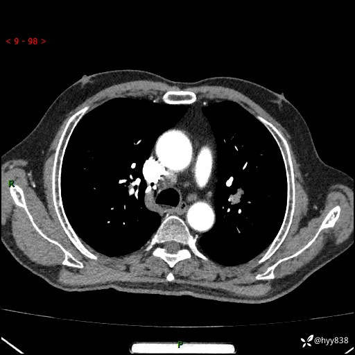
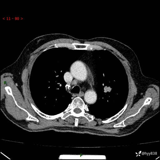
简要病史:患者4月前无明显诱因后背正中间疼痛,间断阵痛,无低热、咳嗽,盗汗、咯血、胸痛、喘气等不适,2024-2-25当地第二人民医院胸部CT提示“1.双肺感染病变;2.左肺上叶及右肺中叶结节灶;3.双肺肺气肿并肺大泡4.纵膈淋巴结肿大5.主动脉及冠脉硬化,今为求明显结节性质遂来我院门诊就诊,门诊以“肺占位”收治入院。 起病以来,患者精神饮食睡眠一般,大小便正常,体力体重无明细变化。
体格检查:(-)
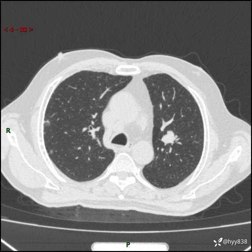
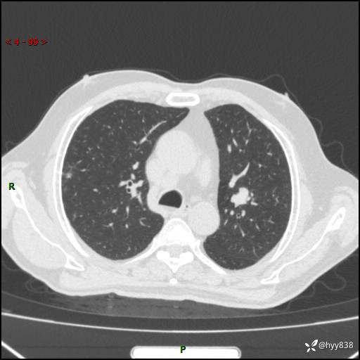
辅助检查:CT
临床诊断:肺占位
治疗经过:---
讨论:病变性质?
胸部CT平扫













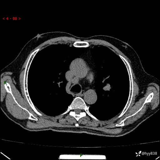
增强























































