有趣病例~~~血象正常、B超未见右下腹包块及条索状物就能排除急性阑尾炎?
病例信息
患者性别:男
患者年龄:70岁
主诉:右下腹部疼痛不适12小时。
今天1:20到单位上班,把车停好,把包放进宿舍准备上班,出宿舍门看见B超室门口坐着一老年男性和一中年男性,老人家用手捂住肚子,身体前屈位,急性痛苦面容,心想这强迫体位肯定有问题,赶紧跑过去看,超声科医生还差几分钟才上班,打电话叫来,在做B超的同时采集病史。
简要病史:患者12小时前睡眠中出现右下腹疼痛,阵发性痛,疼痛剧烈伴解稀便2次,呕吐一次,呕吐物为胃内容物,呕吐后症状稍缓解,无放射痛,病后自行吃止痛药(具体不详),效果欠佳,今日卫生院门诊就诊。首诊医生给予开阑尾及腹部B超检查。在等待检查过程中被我看到患者强迫体位,追踪查看患者,首诊医生报告:腹部平软右下腹部轻压痛无反跳痛,但是看表情很痛苦,还是给他行阑尾B超检查一下。1年前疼过一次当时考虑阑尾炎后面又不疼了,没有做手术。继往体健,否认高血压及糖尿病。
体格检查:强迫弯腰前屈位,表情痛苦,生命体征平稳,心肺未见明显异常,腹平软,右下腹压痛反跳痛,肠鸣音活跃,余腹部查体阴性。
辅助检查:


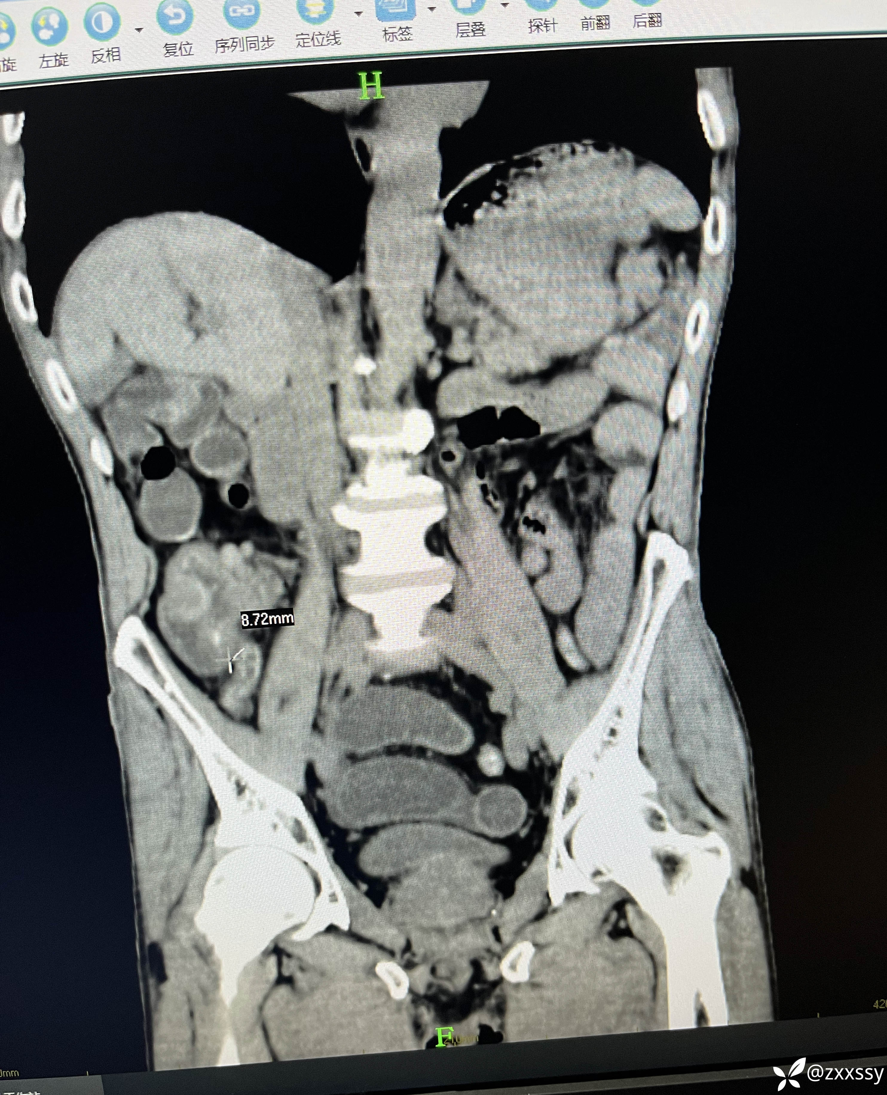
阑尾B超未见:右下腹明显包块,腹部B超提示:右下腹积液较多,我当时说加做一张腹部平片(卫生院无CT),B超医生(和影像医生是同一人)信誓旦旦的说没有肠梗阻。好吧不做就不做吧!首诊医生考虑:急性肠胃炎,建议输液观察治疗。我觉得症征不相符合,需考虑:1.急性阑尾炎,2.肠系膜栓塞引起肠梗,3.腹腔肿瘤?(老年人、腹腔积液需要考虑肿瘤可能)。当着家属和患者的面讨论一会后,B超医生对患者家属说听临床医生的建议,B超没有看见肿大阑尾不带表没有炎症。
让其患者到一家三级医院行CT检查(我老东家)。




阑尾尖端粪石


临床诊断:1.急性阑尾炎并粪石形成;2.小肠梗阻;3,回盲部管璧不规则增后,周围淋巴结多发(回盲部肿瘤?);4.盆腹腔积液。
处理分析




更踪和术者交流:回盲部肿瘤合并急性阑尾炎,术前影像检查已经发现有回盲部肠壁增厚了,但是阑尾的炎症同样很明显,术中可见回盲部明显质硬包块,将回盲部肠壁向内牵拉,形成明显的环形带,但尚未造成明显肠梗阻!考虑到患者已经70岁的年纪,如果要做右半结肠切除的话是完全可以做的,但是手术风险会高很多,于是在跟家属沟通交流、跟手术组人员讨论后决定暂不行肿瘤根治术,待本次手术后患者机体康复到一定程度再进行肿瘤根治术!
问题讨论
1.血象正常、B超未见右下腹包块及条索状物就能排除急性阑尾炎?
















































