趁着假期向食管病理动手了-食管早癌的病理
食管早癌是指癌仅局限于食管黏膜层,无论有无淋巴结转移。因为食管在粘膜固有层就具有丰富的脉管系统,更容易转移。而胃和结直肠的脉管系统存在于粘膜肌层附近。
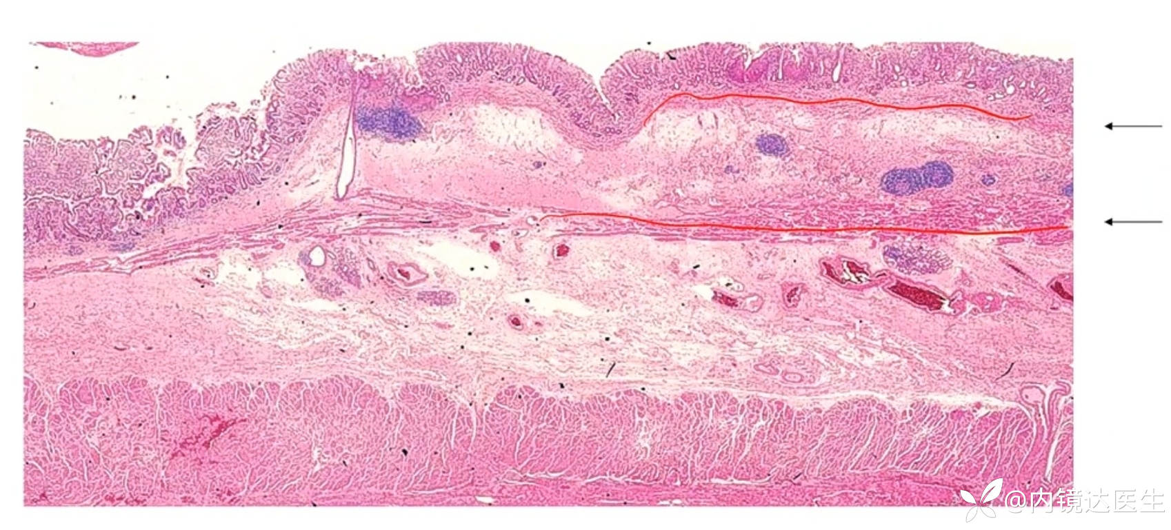
食管表浅癌是指癌局限于粘膜层或粘膜下层,无论有无淋巴结转移。根据肿瘤侵及的深度将其分为局限于黏膜层的M 癌和浸润至黏膜下层的SM 癌。

(上图来自一听大师内镜诊断图谱第二版)
M 癌根据肿瘤浸润深度的不同又可分为侵及食管黏膜上皮层的M1癌(即原位癌),侵及黏膜固有层的M2癌和侵及黏膜肌层者M3癌;在 Barrett食管腺癌中,肿瘤侵及新生黏膜肌层者为M2期癌,侵及原有黏膜固有层者为M3期癌,侵及原有黏膜肌层者为M4期癌。
SM 癌根据肿瘤浸润深度将浸润至黏膜下层的上、中、下1/3者分别称为SM1癌,SM2癌以及SM3癌,其中SM1为浸润至距黏膜肌层<200um。

(上图来自一听大师内镜诊断图谱第二版)
食管的正常结构包括

1.黏膜层M(如下图)
M1 覆层扁平上皮,从下往上包括基底层、棘层及表面细胞层。基底细胞层约占上皮细胞的5%~15%,约1~3层细胞厚,但在食管远端3cm范围内,基底层可稍微增厚达15%以上。
M2 固有层
M3 一层纵行平滑肌 厚
2.黏膜下层SM 含食管腺(以粘液腺为主的混合腺,通过腺导管与食管内腔相通)
3.肌层 内环外纵 上段骨骼肌;中段骨骼肌+平滑肌;下段平滑肌
4.外膜 纤维膜








食管病变包括上皮性肿瘤和间叶源性肿瘤,如下图

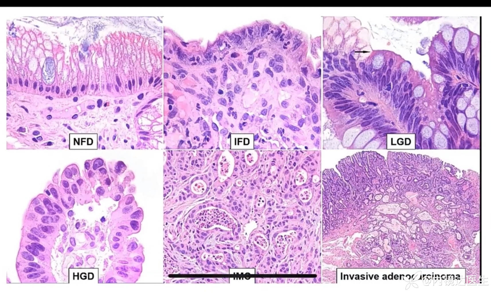
食管癌的发展路径














下图为鳞状细胞癌,可见炎性浸润、角化珠形成及增生的不典型上皮。




免疫组化D2-40可以提示基底膜的完整性,在正常的鳞状上皮和LGD时D2-40呈连续的一条线提示基底膜完整,在HGD、食管早癌及进展期癌中D2-40染色断裂,提示基底膜不完整。

















以上内容大部分来自友谊医院病理科徐瑞老师,侵删。

(上图来自一听大师内镜诊断图谱第二版)
















































