答案已公布|从食管入口一直到贲门下,这是什么东西
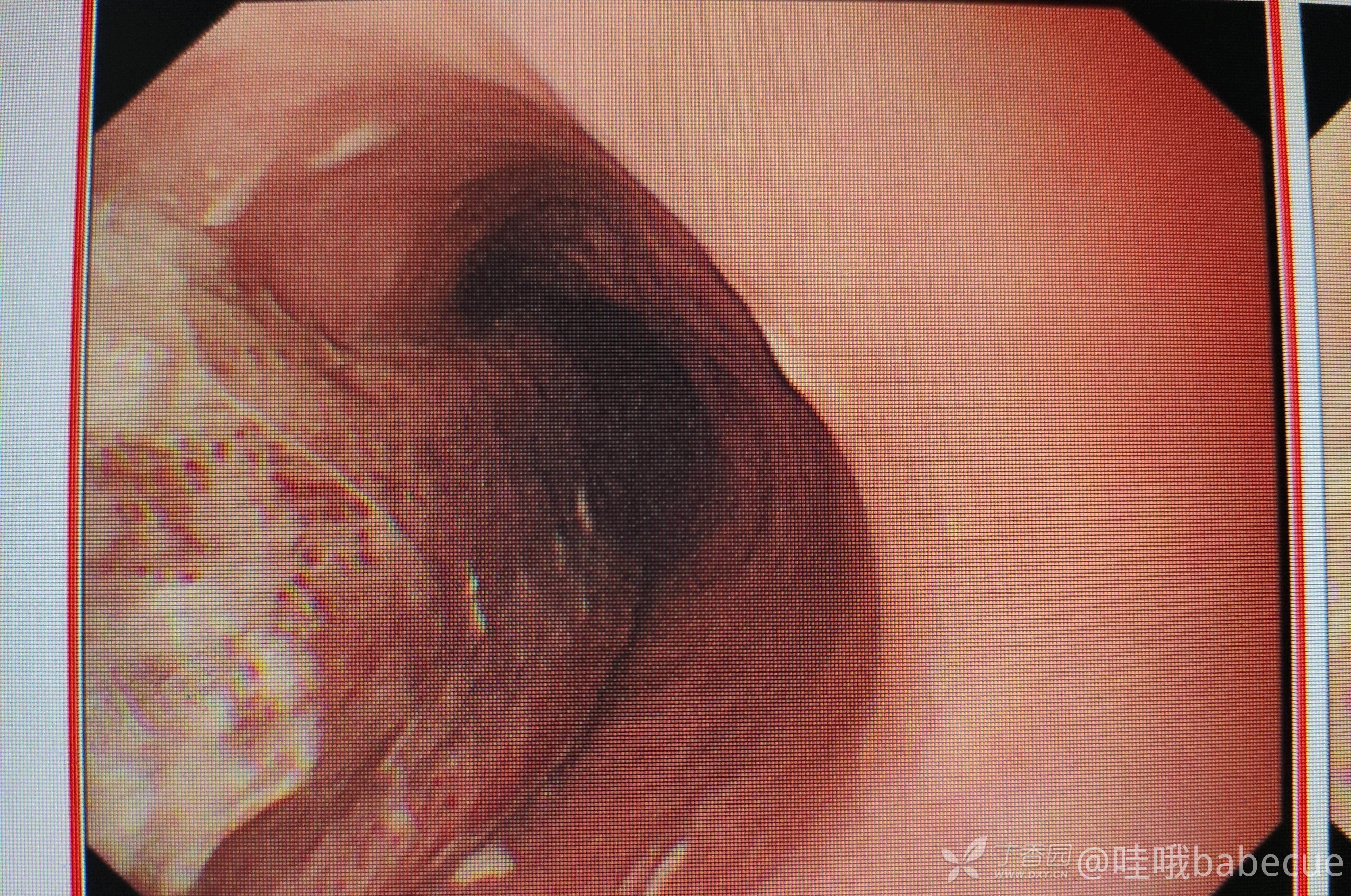
三鑫二燚 达人已点赞中年女性,胃镜检查见从食管入口延伸至贲门下一条索状隆起,请教各位老师考虑什么?
病史如下:半天前无明显诱因出现恶心呕吐,初始为胃内容物,后出现呕吐鲜红色血性液体,共约15ml左右,伴有血凝块,胸部CT平扫提示食管壁增厚,增强CT提示食管腔内异常强化灶:部分食管走形区见局限性凸起,增强扫描层不均匀强化,食管周围未见明显肿大淋巴结。


三鑫二燚 达人已点赞中年女性,胃镜检查见从食管入口延伸至贲门下一条索状隆起,请教各位老师考虑什么?
病史如下:半天前无明显诱因出现恶心呕吐,初始为胃内容物,后出现呕吐鲜红色血性液体,共约15ml左右,伴有血凝块,胸部CT平扫提示食管壁增厚,增强CT提示食管腔内异常强化灶:部分食管走形区见局限性凸起,增强扫描层不均匀强化,食管周围未见明显肿大淋巴结。


