早癌诊疗笔记之食管篇
病例信息
转眼间已到从事内镜行业的入行之年,从懵懂到热爱,从迷茫到有所获,从无知到有所得。经历过无数个日日夜夜,从如何做,到为何做,历经春寒夏暑。做为一名基层内镜医生,时常陷入沉思和焦虑,受制于内镜设备和诊疗平台,何处是方向,何处是归途,前行的路总是充满荆棘和磨砺。相比于区域内镜中心的大牛超高难度的内镜手术和精美的早癌案例,展现在脑海里的不只是仰望和膜拜,但做为一名基层内镜医生,熟练掌握基础的早癌诊疗体系,虽然有时候处理不了这个案例,但寻找病例,发现病例,也是我们日常工作最具意义的事。正如北大医院戎龙教授所言,每天抱着发现早癌的心去工作,每天都是非常有意义的一天,也映射了李兆申院士的那句名言,发现一例早癌,挽救一条生命,幸福一个家庭。每个受检者的幸福甚至生命,都可能决定在你的一瞬间的凝视,做为内镜工作者,我们肩上的责任是重大的。认真对待每一名受检者,也是我们对内镜最起码的尊重!
处理分析
言归正传,要想发现病变,要从认识病变开识,要想认识病变,就要认清内镜下的表现。但内镜下的肉眼形态复杂多样,内镜的镜下表现是病变的肉眼形态演变的过程,实质则是病理推演所导致的。正如一听大师讲课中提到的,内镜是表相,病理才是揭露病变的真相。梳里清病理的演变过程,那么病变的肉眼形态表现,处于什么阶段才能了然于胸。
进入正题,先从食管的解剖结构说起

食管分颈段、胸段和腹段,胸段又分上、中、下三段。
(一)颈段 :自食管入口(环状软骨水平)至胸廓入口处(胸骨上切迹下缘)。
(二)胸上段 自胸廓入口至气管分叉平面
(三)胸中段 自气管分叉平面至胃食管交界处全长的上1/2。
(四)胸下段 自气管分叉平面至胃食管交界处全长的下1/2。
(五)腹段 为食管裂孔至贲门。

三处狭窄
第一狭窄 食管的起始处,相当于第六颈椎体下缘水平,距中切牙约15cm;第二狭窄 食管在左主支气管的后方与其交叉处,相当于第4、5胸椎体之间水平,距中切牙约25cm;第三狭窄 食管通过膈的食管裂孔处 相当于第十胸椎水平,距中切牙约40cm。
其中第二处狭窄为食管异物的好发位置。食管壁好发于食管中段,其次为下段。
接下来简单了解食管的组织学
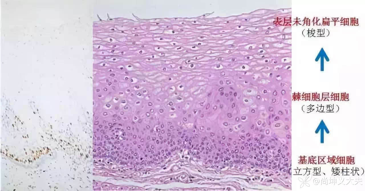
食管的组织学可分为:黏膜层,黏膜下层,固有肌层,外膜层。

食管黏膜层为非角化的复层扁平上皮,由20-25层细胞构成,按照细胞形态及分化成熟度由浅到深可分为上皮表层,棘细胞层和基底层。
上皮表层:由梭形的扁平细胞构成,糖原含量较少。
棘细胞层:上皮层的中间区域,细胞呈多边形,应用PAS染色可发现细胞内含有较丰富的糖原。
基底层:细胞较小,呈立方形,排列紧密,具有分化增殖功能,由1-4个细胞厚度,产生部分子细胞,向浅层移动,该区域也是细胞发生异形增生的始发位置。
固有层:位于黏膜肌的上方


上皮层和固有层交界区域能看到乳头结构,乳头是固有层的突起,以较规则的方式向鳞状上皮延伸;当发生炎症或异型增生时,乳头会被拉长至上皮表层。

重点知识:相较于胃上皮层与固有层相互融合,层次不清,食管基底层与固有层之间有层清晰的分界,我们称之为基底膜。上皮层没有血管的,上皮组织通过基底膜跟固有层发生物质交换。
食管癌异型增生病理表现

出现大小不一,形态不一,密度不均的异常细胞。
延伸知识:在食管表浅癌中,上皮内瘤变按累及上皮层的程度可分为低级别上皮内瘤变和高级别上皮内瘤变,低级别上皮内瘤变,是指异型细胞局限在上皮下1/2以内;高级别上皮内瘤变,是指异型细胞累及上皮下1/2 及以上

细胞核型紊乱,呈现不对称性改变。

那么简单了解完食管的基础病理知识后,进入到食管表浅癌的内镜观察。
食管表浅癌:肿瘤局限于黏膜层者称为M期癌,浸润至黏膜下层未达固有肌层者称为SM期癌。
常见缩写
EP:局限在黏膜上皮层
LPM:侵润至固有层
肉眼形态又分为:
食管表浅癌:0-IIa高度不超过1mm;0-I型高度在1mm以上。
延伸知识:0-III型与0-IIC的界限为按照,深度达0.5mm。
巴黎分型

那么了解到肉眼形态,怎么判断病变的大小呢?
内镜下寻找参照物,以常规南微活检钳为例,头端在未张开状态,直径大约为2.3mm。张开后一半单片活检钳的直径约为1.2左右,那么单片活检钳的一半约为0.6mm。可作为0-IIa-0-I和为0-IIc-0-III的分界参考。

血管分型
上文提到表层显露的LPCL为起源于固有层的乳头所包绕形成的。根据AB分型,A型多为炎症引起,B型多为病态演变所致。
TypeB,又分为B1、B2和B3型血管。
B1:扩张蛇形弯曲,口径大小不一,形状不规则的形成回路的异常血管
B2:不形成回路的异常血管.
B3:高度扩张增粗不规则的血管大约是B2血管的3倍以上血管直径超过60um(也是我们非放大白光内镜看的比较清晰的血管)

观察结合肉眼形态及病理演化推演,评测侵润深度
白光内镜观察要点:
色泽的改变:发红或发白等色调改变;树枝状血管网中断;异常角化改变,隆起或凹陷等
根据血管及肉眼形态推测侵润深度:
肉眼形态推测:
0-I型和0-Ⅲ型,90%以上是是SM 浸润癌。
0-II型约85%是M癌。
血管形态推测:Type B1→T T1a-EP/T1a-LPM。 Type B2→TГ1a-MM/T1b-SM1。 Tpe B3 → T1b-SM2 及更深。
内镜回馈表现推测:通过吸收充气观察病变得延展性来推测病变侵及的深度,在病变的四个象限,活检钳轻推(避免直接触碰病变),观察病变黏膜边界的改变来推测侵犯的深度。
碘染:稍吸气观察榻榻米症是否出现中断,从而判断侵润深度。
延伸点:AVA:被TypeB血管所包绕的无血管区域或者血管稀疏的区域,来诊断浸润深度。
AVA分型:AVAs(AVA-small):小于 0.5mm。
AVAm(AVA-middle):0.5mm以上,小于3mm AVAI(AVA-large):3mm 以上。
AVA浸润深度推测
AVA typeB1不管多大,它的浸润深度都是T1a-EP/T1a-LPM。
Type B2、B3 血管包围:AVA-small →T1a-EP/T1a-LPM。 AVA-middle →T1a-MM/T1b-SM1。 AVA-large →T1b-SM2及更深。
延伸知识点:使用复方碘染色是利用碘遇到糖原变色的原理而做出判断的,肿瘤细胞不含糖原,会出现不染区。

总结与讨论
做为基层内镜医生,我们熟悉病变得演变过程以及所处阶段就有更为合理准确的治疗建议给到患者,而不是这个结果的诊断来源于随机,来源于一念之间。这篇笔记摘自网络各位老师讲课的知识点及黄皮书知识和一些个人总结(如有侵权请联系删除)希望对您有所帮助,才疏学浅,未免有遗漏错误之处,希望各位老师多斧正,感谢内镜前行帮助的各位老师,特别鸣谢马老师,达达老师等各位老师对于内镜知识的帮助!
















































